Servicios Personalizados
Revista
Articulo
Indicadores
Links relacionados
-
Citado por Google -
Similares en Google
Compartir
African Journal of Laboratory Medicine
versión On-line ISSN 2225-2010versión impresa ISSN 2225-2002
Afr. J. Lab. Med. vol.13 no.1 Cape Town 2024
https://doi.org/10.4102/ajlm.v13i1.2384
CASE STUDY
Maternally inherited diabetes and deafness with a variable presentation across three generations within a pedigree, South Africa
Herbert MakgopaI, II; Tanja KempIII; Surita MeldauIV, V; Engela M. HoneyVI; Bettina Chale-MatsauI, II
IDepartment of Chemical Pathology, Faculty of Health Sciences, University of Pretoria, Pretoria, South Africa
IIDepartment of Chemical Pathology, National Health Laboratory Service, Pretoria, South Africa
IIIDivision of Endocrinology, Department of Internal Medicine, Faculty of Health Sciences, University of Pretoria, Pretoria, South Africa
IVDivision of Chemical Pathology, Department of Pathology, University of Cape Town, Cape Town, South Africa
VDepartment of Chemical Pathology, National Health Laboratory Service, Cape Town, South Africa
VIDivision of Human Genetics, Department of Biochemistry, Genetics and Microbiology, University of Pretoria, Pretoria, South Africa
ABSTRACT
INTRODUCTION: Maternally inherited diabetes and deafness (MIDD) is caused by the m.3243A>G pathogenic variant in maternally inherited mitochondrial DNA. Diabetes is prevalent in our setting; however, MIDD is rarely diagnosed. This study, undertaken in Pretoria, South Africa, highlights the variable presentation of MIDD in different patients within the same family
CASE PRESENTATION: A 45-year-old man (proband) with hearing impairment was referred to the endocrine unit in July 2015 due to poor glycaemic control (HbA1c = 13%). His clinical and biochemical features were in keeping with MIDD. A genetic study of accessible maternal relatives was pursued. His mother had difficulty hearing and reportedly died from an unspecified cardiovascular cause. Two sisters with diabetes and deafness died of cardiac-related conditions. One nephew had diabetes (HbA1c = 7.7%), hearing loss and tested positive for m.3243A>G. A third sister tested positive for m3243A>G, but aside from bilateral mild hearing loss in higher frequencies, showed no other signs of target organ damage. Her daughter developed end-stage kidney failure necessitating a transplant, while her son had no biochemical abnormalities and was negative for m.3243A>G
MANAGEMENT AND OUTCOME: A multidisciplinary team managed and screened for complications of the patient and his maternal relatives. Proband died prior to genetic testing
CONCLUSION: Most MIDD patients initially present with symptoms of diabetes only, and it is probable that many cases remain undiagnosed. A high index of suspicion is necessary when encountering a family history of both diabetes and impaired hearing, and screening should be offered to the patient's maternal relatives
WHAT THE STUDY ADDS: This study demonstrates the importance of proper assessment when evaluating a patient with diabetes and a family history of hearing loss
Keywords: diabetes; mitochondrial DNA; maternally inherited diabetes and deafness; heteroplasmy; hearing loss.
Introduction
Primary mitochondrial disease is a heterogeneous group of disorders resulting from inherited defects in mitochondrial energy production.1 Maternally inherited diabetes and deafness (MIDD) is a form of primary mitochondrial disease, characterised by diabetes and progressive sensorineural hearing impairment.2 It is linked to various pathogenic variants in mitochondrial DNA (mtDNA), including the m.3243A>G point mutation in the MT-TL1 gene, which has emerged as the most common cause of MIDD, accounting for nearly 85% of all cases.3 Other features associated with the m.3243A>G pathogenic variant are myopathy, gastrointestinal tract symptoms, nephropathy, cardiomyopathy, and neuropsychiatric features with heterogeneous manifestation even in individuals within the same family due to varying mtDNA heteroplasmy levels between different tissues, thus developing different phenotypes.
The estimated prevalence of MIDD is between 0.5% and 5.9% among patients with diabetes mellitus.4 Diagnosis of MIDD is important to ensure appropriate treatment, continuous monitoring and that maternal relatives are identified and managed in a timeous manner. Diabetes in MIDD, unlike in type 1, initially responds to secretagogues, but may later progress to require insulin for management. Metformin is not suitable in these patients as it may cause or exacerbate lactic acidosis, which is a typical finding in many patients with primary mitochondrial disease.5 Maternally inherited diabetes and deafness is rarely diagnosed in clinical practice, and it may be missed due to its complex genetic and phenotypic heterogeneity.6
While many studies have been conducted in Europe, Australia, Asia, and North America, MIDD remains severely underdiagnosed on the African continent, with only limited studies available.7,8,9 In this context, we describe three generations of South African patients with MIDD within the same pedigree.
Ethical considerations
Written consent was obtained from the family and ethics approval obtained from the Research and Ethics Committee at the University of Pretoria (No. 496/2023). Confidentiality was ensured by avoiding any use of names, initials, pictures or personal identification numbers in the preparation of this case study.
Case presentation
The proband, a 45-year-old man, was referred to the endocrine unit of a tertiary hospital in Pretoria, South Africa, in July 2015 due to poor glycaemic control (glycated haemoglobin [HbA1c] = 13%; abnormal > 6.5%). Glycated haemoglobin was assessed using the National Glycohaemoglobin Standardization Program-certified high performance liquid chromatography (Bio-Rad, Hercules, California, United States) method. He was diagnosed with diabetes (presumed type 2), at age 37 years, and hearing impairment was noted a year later. He had a previous admission for congestive cardiac failure and an echocardiogram revealed an ejection fraction of 13% - 15%. At age 42 years, he developed proximal myopathy, leading to reliance on a wheelchair for mobility. He was grossly underweight, with a body mass index of 14.48 kg/m2. The patient had established renal impairment (urea = 18.8 mmol/L, reference interval = 2.1-7.1; creatinine = 139 µmol/L, reference interval = 64-104), and an estimated glomerular filtration rate of 47 mL/min per 1.73 m2 (chronic kidney disease, stage 3)10 with frank proteinuria. Urea was analysed using the urease enzyme assay, creatinine the alkaline picrate while urine protein was tested with the turbidimetric method that utilises benzethonium chloride (Abbott Laboratories, Chicago, Illinois, United States) (Table 1). Type 1 diabetes mellitus was excluded (anti-glutamic acid decarboxylase and islets tyrosine phosphatase 2 antibodies were negative), and C-peptide levels were normal (2.6 µg/L; reference interval = 0.9-7.1), suggesting residual insulin secretion. As C-peptide levels may be decreased in patients with kidney failure, looking for features of monogenic diabetes can assist to reduce misclassification.11 He had not experienced any episodes of diabetic ketoacidosis. His clinical and biochemical features were in keeping with MIDD.
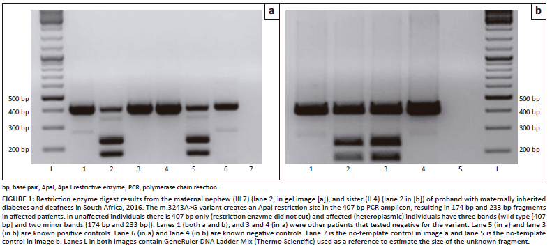
Genetic investigations were pursued for some of his maternal relatives. Genetic investigation of the proband was not done as the patient demised prior to testing. Only one of his siblings and two of their children were available for testing. The presence of the m.3243A>G variant was investigated using polymerase chain reaction (PCR) followed by the restriction fragment length polymorphism method with ApaI (Thermo Scientific, Waltham, Massachusetts, United States) in DNA extracted from urine samples. Generated fragments were compared against a GeneRuler DNA Ladder Mix (Thermo Scientific, Waltham, Massachusetts, United States) (Figure 1).
The family pedigree (Figure 2) and characteristics (Table 2) indicated variable presentations across three generations. The proband's mother had hearing difficulties and died from a suspected cardiovascular cause at age 43 years. Among his three sisters, two were diagnosed with diabetes and deafness, and died prematurely, one at age 46 (II 5) due to congestive cardiac failure, and the other at 54 years (II 6) due to acute myocardial infarction. A son of one of these sisters (III 7) was diagnosed with diabetes (HbA1c = 7.7%), hearing loss and had the m.3243A>G variant. The third sister (II 4) also tested positive for the m.3243A>G variant; however, apart from a recent decline in hearing, she had no features of target organ damage. In contrast, her daughter (III 3) developed end-stage kidney failure requiring transplant in her 20s. Her other child, a son (III 4), tested negative for the m.3243A>G variant and has remained free of any related symptoms. Heteroplasmy levels were not determined for any of these cases.
Management and outcome
A multidisciplinary team was involved in the management of the patients discussed in this study. Insulin secretagogues were considered for the treatment of diabetes. The proband had severe myopathy requiring a wheelchair. The patient was mostly managed in primary care, and was referred very late to a specialist when he had already developed severe complications, including cardiovascular issues. He sustained a femur fracture with presumptive pulmonary embolism and died before genetic confirmation could be obtained. His maternal relatives were offered genetic counselling and screening for diagnosis and management of complications.
Discussion
The pathogenic variant m.3243A>G of the MT-TL1 gene is one of the identified causes of mtDNA-related primary mitochondrial disease worldwide. It was initially identified in patients with mitochondrial encephalopathy, lactic acidosis and stroke-like episodes in 1990 and a couple of years later in a large pedigree with maternally transmitted diabetes mellitus and deafness.12
The exact mechanism by which the m.3243A>G variant causes disease is still incompletely understood. However, decreases of pancreatic beta cell mass and declines in glucose-stimulated insulin secretion have been implicated in the development of diabetes in affected patients.13 Maternally inherited diabetes and deafness is exclusively inherited through the maternal line, as the paternal contribution of sperm mitochondria to the fertilised egg is minimal, about 1000-fold less than that of the oocyte, and there are selective mechanisms targeting paternal mtDNA for destruction, further reinforcing the maternal inheritance pattern.14
Patients with MIDD range in age from 12 years to 67 years when they present with diabetes, and diabetes is often the presenting problem, although in some patients, onset of sensorineural deafness may precede presentation of diabetes.13 A definitive diagnosis is only possible through genetic confirmation. Screening for the common m.3243A>G variant is best performed using DNA from epithelial cells in urine or muscle, as heteroplasmy levels tend to decrease with age in actively dividing cells in blood.15 In the case of the proband, the MIDD diagnosis was inferred from a combination of clinical and laboratory features, a strong family history, and the positive identification of the m.3243A>G variant in some of his maternal relatives.
The clinical spectrum of MIDD exhibits heterogeneity, encompassing variation in terms of age of onset, clinical manifestation and severity.5 As observed in this study, the proband's sister tested positive for the m.3243A>G pathogenic variant but remained asymptomatic throughout most of her adult life. She only developed decreased hearing after reaching age 60 years.
Complications in patients with MIDD follow a distinct pathophysiology compared to complications in patients with type 1 and type 2 diabetes. Proteinuria arises as a consequence of the mitochondrial dysfunction.2,5 The renal impairment is frequently misdiagnosed as diabetic kidney disease; however, in some patients, kidney failure may even develop before the onset of diabetes. As shown with the proband's niece, end-stage kidney disease necessitating kidney transplantation can develop at a young age.
Pathogenic mtDNA variants, such as the m.3243A>G variant, tend to be heteroplasmic in all affected individuals. One of the proband's nephews tested negative for this variant, but had no features of end-organ damage. These diverse patterns of heteroplasmy underscore the complex nature of mitochondrial genetics and their impact on phenotypic expression.
In this study, the PCR-restriction fragment length polymorphism method employed is still used in clinical laboratories for detection of the m.3243A>G variant. However, it is unable to detect heteroplasmy levels below approximately 5% and is not quantitative.15 In contrast, methods such as next generation sequencing, pyrosequencing, real-time PCR and ligation-mediated PCR have the advantage of accurately detecting much lower heteroplasmy levels,16 although due to their higher costs, these techniques are not routinely available in most public clinical laboratories.
There is no cure for MIDD, and treatment mainly focuses on managing disease progression and minimising severity of complications in order to enhance the quality of life for affected individuals.13 As is evident from this study, cardiac abnormalities are common in patients with MIDD and can contribute to premature death. Thus, echocardiography and regular electrocardiography should form part of the standard evaluation for MIDD.
Optimal patient management in MIDD requires a multidisciplinary approach, including supportive therapy and genetic counselling. These should be offered to all available maternal relatives to provide information on the mode of inheritance and enable informed choices and considerations for family planning.17
Considering that symptoms of diabetes are often the reason for the initial health-seeking behaviour in most MIDD patients, it is probable that many cases remain undiagnosed in our local setting. A high index of suspicion should be maintained when encountering a family history of diabetes and impaired hearing. All maternal offspring and relatives of an individual with MIDD are potential carriers of a pathological variant and should be offered screening.
Acknowledgements
Competing interests
The authors declare that they have no financial or personal relationship(s) that may have inappropriately influenced them in writing this article.
Authors' contributions
H.M. drafted the original article. T.K. performed clinical examinations and investigations of patients, and editing of the article. S.M. was responsible for the genetic studies, interpretation of genetic results, and editing of the article. E.M.H. performed genetic counselling and investigations of patients, and editing of the article. B.C.-M. conceptualised, edited the article and supervised the study.
Sources of support
This research received no specific grant from any funding agency in the public, commercial, or not-for-profit sectors.
Data availability
The authors confirm that the data supporting the findings of this study are available within the article.
Disclaimer
The views and opinions expressed in this article are those of the authors and do not necessarily reflect the official policy or position of any affiliated institutions or organisations of the authors and the publisher.
References
1. Schlieben LD, Prokisch H. The dimensions of primary mitochondrial disorders. Front Cell Dev Biol. 2020;8:600079. https://doi.org/10.3389/fcell.2020.600079 [ Links ]
2. Ali AS, Ekinci EI, Pyrlis F. Maternally inherited diabetes and deafness (MIDD): An uncommon but important cause of diabetes. Endocr Metab Sci. 2021;2:100074. https://doi.org/10.1016/j.endmts.2020.100074 [ Links ]
3. Wang M, Liu H, Zheng J, et al. A deafness-and diabetes-associated tRNA mutation causes deficient pseudouridinylation at position 55 in tRNAGlu and mitochondrial dysfunction. J Biol Chem. 2016;291(40):21029-21041. https://doi.org/10.1074/jbc.M116.739482 [ Links ]
4. Iwasaki N, Babazono T, Tsuchiya K, et al. Prevalence of A-to-G mutation at nucleotide 3243 of the mitochondrial tRNA Leu (UUR) gene in Japanese patients with diabetes mellitus and end stage renal disease. J Hum Genet. 2001;46: 330-334. https://doi.org/10.1007/s100380170068 [ Links ]
5. Yang M, Xu L, Xu C, et al. The mutations and clinical variability in maternally inherited diabetes and deafness: An analysis of 161 patients. Front Endocrinol. 2021;12:728043. https://doi.org/10.3389/fendo.2021.728043 [ Links ]
6. Ahmed ST. Understanding the molecular mechanisms of mitochondrial muscle disease using a quantitative, quadruple immunofluorescent assay. Newcastle University, Newcastle upon Tyne; 2020. [ Links ]
7. Meldau S, Owen EP, Khan K, Riordan GT. Mitochondrial molecular genetic results in a South African cohort: Divergent mitochondrial and nuclear DNA findings. J Clin Pathol. 2022;75(1):34-38. https://doi.org/10.1136/jclinpath-2020-207026 [ Links ]
8. Ameh J, Godwin I, Obi I, Puepet F, Aminu B, Suleiman T. The search for mitochondrial tRNALeu (UUR) A3243G mutation among type 2 diabetes mellitus patients in the Nigerian population. Afr J Biotechnol. 2011;10(62):13383-13389. https://doi.org/10.5897/AJB11.1556 [ Links ]
9. Mkaouar-Rebai E, Tlili A, Masmoudi S, et al. Mutational analysis of the mitochondrial tRNALeu (UUR) gene in Tunisian patients with mitochondrial diseases. Biochem Biophys Res Commun. 2007;355(4):1031-1037. https://doi.org/10.1016/j.bbrc.2007.02.083 [ Links ]
10. Meyers A. Significance, definition, classification and risk factors of chronic kidney disease in South Africa. S Afr Med J. 2015;105(3):233-236. https://doi.org/10.7196/SAMJ.9412 [ Links ]
11. American Diabetes Assocciation Professional Practice Committee. Diagnosis and classification of diabetes: Standards of care in diabetes - 2024. Diabetes Care. 2024;47(Supplement_1):S20-S42. https://doi.org/10.2337/dc24-S002 [ Links ]
12. Van den Ouveland J, Lemkes H, Ruitembeck W, et al. Mutation in mitochondrial tRNA LEU (UUR) gene in a large tRNA pedigree with maternally transmitted type II diabetes mellitus and deafness. Nat Genet. 1992;1:368-371. https://doi.org/10.1038/ng0892-368 [ Links ]
13. Ng YS, Lim AZ, Panagiotou G, Turnbull DM, Walker M. Endocrine manifestations and new developments in mitochondrial disease. Endocr Rev. 2022;43(3): 583-609. https://doi.org/10.1210/endrev/bnab036 [ Links ]
14. Rius R, Cowley MJ, Riley L, Puttick C, Thorburn DR, Christodoulou J. Biparental inheritance of mitochondrial DNA in humans is not a common phenomenon. Genet Med. 2019;21(12):2823-2826. https://doi.org/10.1038/s41436-019-0568-0 [ Links ]
15. Laloi-Michelin M, Meas T, Ambonville C, et al. The clinical variability of maternally inherited diabetes and deafness is associated with the degree of heteroplasmy in blood leukocytes. J Clin Endocrinol Metab. 2009;94(8):3025-3030. https://doi.org/10.1210/jc.2008-2680 [ Links ]
16. Urata M, Wakiyama M, Iwase M, et al. New sensitive method for the detection of the A3243G mutation of human mitochondrial deoxyribonucleic acid in diabetes mellitus patients by ligation-mediated polymerase chain reaction. Clin Chem. 1998;44(10):2088-2093. https://doi.org/10.1093/clinchem/44.10.2088 [ Links ]
17. Müller PL, Treis T, Pfau M, et al. Progression of retinopathy secondary to maternally inherited diabetes and deafness - Evaluation of predicting parameters. Am J Ophthalmol. 2020;213:134-144. https://doi.org/10.1016/j.ajo.2020.01.013 [ Links ]
Correspondence:
Bettina Chale-Matsau
cmatsau@webmail.co.za
Received: 05 Dec. 2023
Accepted: 20 Mar. 2024
Published: 29 May 2024












