Servicios Personalizados
Revista
Articulo
Indicadores
Links relacionados
-
Citado por Google -
Similares en Google
Compartir
Water SA
versión On-line ISSN 1816-7950versión impresa ISSN 0378-4738
Water SA vol.50 no.2 Pretoria abr. 2024
https://doi.org/10.17159/wsa/2024.v50.i2.4013
RESEARCH PAPER
Antimicrobial susceptibility patterns of Listeria monocytogenes isolated from fresh produce in KwaZulu-Natal Province, South Africa
F TshabuseI; NK CeieI; AR OpokuI; A BassonI; MS MthembuI; MF SwalahaII
IDepartment of Biochemistry and Microbiology, University of Zululand, Private Bag X1001, kwaDlangezwa 3886, South Africa
IIDepartment of Biotechnology and Food Science, Durban University of Technology, PO Box 1334, Durban 4000, South Africa
ABSTRACT
Fresh, ready-to-eat produce is frequently irrigated with untreated water, making it a leading cause of food-borne illness outbreaks worldwide. This study investigated the presence of Listeria monocytogenes in fresh produce that was grown using river water. Standard biochemical tests were used for the identification of L. monocytogenes isolated from river water used for irrigation, and from fresh produce including lettuce, spinach, and pumpkin. The inlA gene of L. monocytogenes was molecularly identified using PCR amplification. The susceptibility of L. monocytogenes isolates to antimicrobial agents was assessed using the Kirby-Bauer disc diffusion method. The presence of the amplified inlA gene (800 bp) indicated that all of the fresh produce and river water samples were contaminated with virulent L. monocytogenes. Lettuce and spinach exhibited higher quantities of L. monocytogenes, with lettuce recording 87 CFU/g and spinach recording 71 CFU/g. The L. monocytogenes isolates from spinach and lettuce sources showed significant resistance to colistin (56.2% and 53.3%, respectively) as well as ampicillin (68.8% and 53.3%, respectively). Moreover, lettuce (40%) and spinach (31%) exhibited a common resistance pattern of AMP-CHL-CT-KAN-PIP-ERY-TET, with a maximum MAR index value of 0.54. Our research demonstrates the transmission of multidrug-resistant L. monocytogenes from irrigation river water to fresh produce. Hence, the ingestion of ready-to-eat fresh produce carries the potential for human listeriosis, particularly among individuals with compromised immune systems.
Keywords: inlA gene, internalin, Listeria spp., L. monocytogenes, virulence genes
INTRODUCTION
Foodborne diseases (FBD), which mainly arise from the consumption of unsafe foods and water, have threatened the public health and economic status of human populations around the world (WHO, 2015; Jaffee et al., 2020). Furthermore, microorganisms (bacteria, viruses, and fungi) account for approximately 80% of the food-borne illness outbreaks recorded globally (Bintsis, 2017; Jaffee et al., 2018). Every year there are approximately 600 million reported cases of food-related illnesses globally, resulting in approximately 420 000 deaths. This is particularly true for individuals with weakened immune systems, the elderly, and children under the age of 5 (WHO, 2015). In Africa, about 135 million cases of foodborne diseases are recorded annually, resulting in about 180 000 foodborne-related deaths (Akhtar et al., 2014; Jaffee et al., 2020). In South Africa, 327 cases of foodborne disease outbreaks were documented between 2013 and 2017, resulting in 49 deaths (Shonhiwa et al., 2019). Consumption of food contaminated with pathogenic microorganisms such as Salmonella, Clostridium perfringens, Bacillus cereus, Shigella spp., and L. monocytogenes was the main cause of these outbreaks (Shonhiwa et al., 2019).
Listeria monocytogenes is a facultative anaerobic foodborne pathogen known to cause invasive and non-invasive listeriosis in humans (Allerberger and Wagner, 2010), mostly via the consumption of compromised foods and water (Kurpas et al., 2018). The ability of L. monocytogenes to grow in adverse conditions, including wide temperature ranges (-7 to 45°C), pH ranges (4.0 to 9.6), and salt concentrations (Junttila et al., 1988; Lado and Yousef, 2007), makes it a difficult pathogen to control and eradicate. Because of this, L. monocytogenes has been implicated in multiple FBD outbreaks worldwide. In South Africa, L. monocytogenes was implicated in a 2017-2018 FBD outbreak that claimed over 230 lives and was regarded as the worst outbreak to date (Smith et al., 2019). Most recently, L. monocytogenes was associated with the multi-state FBD outbreak from Dole packaged leafy greens, affecting 18 individuals in the USA (FDA, 2022). Most L. monocytogenes-associated outbreaks are a result of the consumption of ready-to-eat products, including green salads and vegetables (Hazards et al., 2018).
Although the incidence of human listeriosis outbreaks is very low compared to other foodborne illnesses, the unattended outcome of the disease is often more severe, making L. monocytogenes a priority. Furthermore, the inlA gene, one of L. monocytogenes virulence genes, can be used as a marker for the detection of L. monocytogenes in water and agricultural produce. The inlA gene was recently used for the identification of L. monocytogenes isolated from clinical sources, including vaginal swabs and faeces (Meghdadi et al., 2019).
This study aimed to assess the prevalence of L. monocytogenes in fresh agricultural produce, including Cucurbita (pumpkin), Lactuca sativa (lettuce), and Spinacia oleracea (spinach) irrigated with untreated river water from a farm in Verulam, KwaZulu-Natal Province, South Africa. Several studies have already identified untreated water as the main route of introducing pathogenic bacteria onto agricultural produce (Pandey et al., 2014; Uyttendaele et al., 2015; Allende et al., 2017).
Recently, L. monocytogenes resistant to several antibiotics, including ampicillin, penicillin and trimethoprim-sulphamethoxazole, was detected in environmental waters in the Eastern Cape Province of South Africa (Mpondo et al., 2021). In the current study, the antibiogram of L. monocytogenes from fresh agricultural produce was also studied.
Surveillance of the carry-over of potential pathogens from contaminated irrigation water to agricultural fresh produce in South Africa is an area of research that is currently neglected. However, in a country with several immunocompromised individuals because of disease, lack of clean potable water and other factors, addressing water-fresh produce contamination in order to curb the spread of potential FBD pathogens is crucial. This work provides first-line data for antibiotic-resistant patterns of L. monocytogenes isolates from agricultural produce in the KwaZulu-Natal Province of South Africa.
MATERIALS AND METHODS
Sample collection
A volume of l L of each water sample and 200 g of each agricultural produce sample (i.e., lettuce, spinach, and pumpkin) were aseptically collected on a monthly basis (June-September 2021) from an agricultural farm in Verulam (29°36'47.2"S 31°02'11.7"E), KwaZulu-Natal, and stored in a portable ice chest during transportation. All samples were processed within 4 h of sampling.
Isolation of L. monocytogenes from agricultural produce and water samples
In this study, L. monocytogenes were isolated using a modified version of the protocol by Stea et al. (2015). Briefly, about 25 g of each composite sample of freshly harvested lettuce, spinach, and pumpkin obtained from the farm was immersed in 100 mL of sterile peptone water and vigorously homogenized by shaking for 5 mins in a water bath. A volume of 25 mL of the suspension (from spinach, lettuce, pumpkin, and river water sample) was mixed with 225 mL of Listeria enrichment broth (LEB; Sigma-Aldrich) and then incubated (37°C for 24 h). Following the overnight incubation period, a volume of 1 mL of Listeria enrichment broth (LEB; Sigma-Aldrich) was mixed with 9 mL of Fraser broth (Sigma-Aldrich, Fraser Broth Base) and incubated (37°C for 24 h) once more. Finally, the resulting enriched Fraser broth culture was streaked onto Oxford Agar (Sigma-Aldrich) in triplicate and incubated (37 °C for 24 h) further. The colonies that resulted were counted using a colony counter, and their quantity was measured in terms of colony-forming units (CFU) per 25 g of vegetables and CFU per 100 mL of water used. The colonies were subsequently purified and analysed using biochemical and molecular tests to determine their identity.
Identification of inlA gene in L. monocytogenes isolates by PCR
The crude DNA was prepared from the L. monocytogenes isolates using the DNA precipitation method according to Green and Sambrook (2016), and purified using the DNA purification kit (Gene-JET PCR Purification Kit, Thermo Scientific), according to the manufacturer's protocol. The pure DNA obtained was used as templates for the amplification of the inlA gene-specific in L. monocytogenes using the primer set 5'- AATCTAGCACCACTGTCGGG -3' and 5'-TGTGACCTTCTTTTACGGGC -3' (Rousseaux et al., 2004). The general thermocycling conditions used were 94°C for 3 min for initial denaturation, 35 cycles of 30 s denaturation at 94°C, 53°C for 1 min for annealing, and extension at 72°C for 1 min, with final elongation at 72°C for 5 min. The PCR reaction mixtures contained concentrations of the components including PCR mastermix (12, 5 µL), forward primer (2 µL), reverse primer (2 µL), double-distilled water (8, 5 µL), and DNA template (2 µL) to a final volume of 25 µL. The L. monocytogenes strain ATCC 7644 was used as the positive control. All samples display a fragment of 730 bp on 1% (w/v) TAE (40 mM TRIS base (w/v), 0.2 mM glacial acetic acid (w/v), 10 mM EDTA (w/v)), pH 8.0 agarose gel.
Determination of AST, MAR, and MAR indices in L. monocytogenes
The Kirby-Bauer disc diffusion technique, following the guidelines of the Clinical and Laboratory Standards Institute (CLSI, 2006), was used to perform antimicrobial susceptibility testing on the isolates obtained from agricultural products. The technique involved the use of Muller Hinton agar (Oxoid, Basingstoke, UK) supplemented with 7% defibrinated sheep blood. Furthermore, the susceptibility assay of L. monocytogenes isolates was tested against the following antimicrobial combinations and concentrations; chloramphenicol (CHL, 10 µg), ampicillin (AMP, 10 |g), kanamycin (KAN, 30 µg), fosfomycin (FOS, 50 µg), tetracycline (TET, 30 µg), pipemidic acid (PIP, 20 µg), gentamycin (GN, 20 µg), streptomycin (STR, 25 µg), erythromycin (ERY, 30 µg), and vancomycin (VAN, 30 µg). Furthermore, Krumperman's (1983) method was used to calculate and interpret the multiple antibiotic resistance (MAR) index. In this method, MAR = a/b, where a represents the number of antibiotics to which a specific isolate showed resistance, and b represents the total number of antibiotics that the isolates were exposed to.
Bioinformatics analyses and interpretation
We compared the resulting metabolic activities of the treatment groups and controls using one-way analysis of variance (ANOVA) and Tukey's multiple-comparison post-test at p < 0.05. Statistical analyses were performed with GraphPad Prism 5.0 (GraphPad Software, Inc., San Diego, CA).
RESULTS AND DISCUSSION
Listeria monocytogenes in irrigation river water and agricultural samples
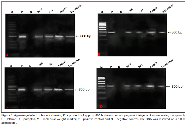
PCR analysis identified 59 L. monocytogenes isolates from river water and agricultural produce. All isolates showed the inlA gene (Fig. 1) which confirmed L. monocytogenes (Budniak et al., 2016). This finding supports previous studies that identified the presence of internalin genes in L. monocytogenes isolates from irrigation water and agricultural soil in South Africa's Eastern Cape Province (Iwu et al., 2022). Moreover, the inlA gene has long been known to be conserved in L. monocytogenes (Poyart et al., 1996), and has been implicated in the establishment of listeriosis (Chatterjee, 2006; Ingeborg, 2011; Casey et al., 2016). The surface internalin A (inlA) protein, a product of the inlA gene, plays an important role in the invasion of L. monocytogenes into mammalian cells (Werbrouck et al., 2006; Phelps et al., 2018). In humans, the internalization of L. monocytogenes into mammalian cells is brought about when the inlA binds to the transmembrane protein E-cadherin, leading to the emergence of the adherens junctions (cell-to-cell adhesion complex) in a Ca2+-dependent manner (Bou Ghanem et al., 2012; Pizarro-Cerdá et al., 2012; Bonazzi et al., 2009). Therefore, molecular identification of the inlA gene in this study confirms the presence of pathogenic L. monocytogenes in agricultural produce.
In addition, statistical analysis of Oxford-agar culturable L. monocytogenes isolated from the river water sample revealed the highest number (74 000 CFU/mL) in June (Fig. 2).
In a recent study conducted by Mpondo (2021), it was found that L. monocytogenes was present in 13% (9/69) of water samples collected from river and irrigation waters in the Eastern Cape Province of South Africa. Previously, Meghdadi et al. (2019) also detected L. monocytogenes 16.76% (16/180) in river waters. The high prevalence of L. monocytogenes in the river is likely due to anthropogenic inputs (Khatri and Tyagi, 2014). Several anthropogenic activities, including domestic and industrial sewage discharges, have been related to an increase in pathogenic microorganisms in rivers (Abraham, 2011). Concerning L. monocytogenes, infected individuals may excrete a high quantity of this bacterium in their faeces. Consequently, it can enter river waters through the release of untreated or partially treated wastewater (Manjur et al., 2016).
Elevated incidence of L. monocytogenes in lettuce and spinach samples
The study found that the lettuce and spinach had the highest concentration of L. monocytogenes, while the pumpkin had the lowest (Fig. 3). A study by Willis et al. (2020) has also reported a higher prevalence of L. monocytogenes isolates in vegetables (69/673) than in fruits (3/340). Due to their structural characteristics, lettuce and spinach have the potential to retain a greater amount of water on their leaves compared to the pumpkin. As a result, this creates a favourable environment for L. monocytogenes to thrive and proliferate. A subsequent investigation conducted by Okeye et al. (2020) discovered a maximum count of 370 CFU/g of L. monocytogenes in lettuce, a significantly higher figure compared to the levels observed in this study in lettuce (87 CFU/g), spinach (71 CFU/g), and pumpkin (51 CFU/g) Nonetheless, these recorded values are considerably lower than the suggested infective dose of 100 CFU/g (Center for Food Safety and Applied Nutrition, 2017). According to previous studies, as few as 10 CFU/g of L. monocytogenes on agricultural produce have the potential to rapidly multiply and reach pathogenic levels within 8 days (Salvat and Fravalo, 2004). The findings of our study indicate that spinach and lettuce have a higher likelihood than pumpkin of containing L. monocytogenes transmitted from irrigation water.
Higher rate of resistance of L. monocytogenes isolates from lettuce and spinach sources to colistin and penicillin
In this study, we tested the susceptibility of 45 L. monocytogenes strains isolated from lettuce, spinach, and pumpkin to 11 antibiotics widely used in medical and veterinary practice. The findings indicated that the majority of L. monocytogenes isolates from lettuce and spinach sources exhibited comparable antibiotic-resistance patterns (Table 1), with colistin and ampicillin being the two antibiotics to which they displayed the highest resistance. The isolates originating from the pumpkin source exhibited remarkably low resistance to these two antibiotics. Penicillin is an antibiotic with a broad-spectrum effect, employed in the treatment of infections caused by L. monocytogenes and other clinically significant pathogens such as Escherichia coli, Staphylococcus aureus, Streptococcus pneumoniae, and Haemophilus influenzae (Kaushik et al., 2014; Peechakara et al., 2021). The lack of efficacy of colistin and ampicillin against L. monocytogenes, as stated in this study, aligns with the findings of Ennaji et al. (2008). Their study revealed resistance to these antimicrobials in L. monocytogenes isolates from poultry and red meat in Morocco. In contrast, Yan et al. (2019) conducted a 4-year study spanning from 2012 to 2015 which did not identify any cases of ampicillin resistance in 2 862 L. monocytogenes strains isolated from different food samples in China. Additionally, our study revealed a significantly low prevalence of resistance to pipemidic acid, streptomycin, and tetracycline among all L. monocytogenes isolates obtained from the three agricultural produce samples. In contrast to the research conducted by Harakeh et al. (2009) and Conter et al. (2009), this study revealed a low prevalence of tetracycline resistance. Moreover, the pumpkin isolates examined in this study exhibited a reduced occurrence of resistance to all of the antibiotics tested, including pipemidic acid (7.1%), erythromycin (14.3%), tetracycline (7.1%), and streptomycin (14.3%). In contrast to the findings of Jamali et al. (2013), who found that L. monocytogenes isolates were susceptible to gentamicin and vancomycin, our study revealed that all L. monocytogenes isolates obtained from lettuce, spinach, and pumpkin exhibited complete resistance to fosfomycin, gentamicin, and vancomycin. The widespread use of antimicrobials like gentamicin and vancomycin in the treatment of human and animal infections in South Africa may explain the high levels of resistance to these drugs.
The percentage resistance of L. monocytogenes isolates against the test antimicrobials is shown in Fig. 4. All the isolates showed 100% resistance to gentamicin, vancomycin, and fosfomycin. Conversely, for chloramphenicol (37.8%), ampicillin (53.3%), and colistin (46.7%) higher susceptibility rates were demonstrated.
The MAR patterns and MAR indices of L. monocytogenes
All isolates of L. monocytogenes obtained from lettuce, spinach, and pumpkin exhibited resistance to a minimum of 3 antimicrobial agents. Analysis of our data uncovered four distinct MAR patterns in the L. monocytogenes strains obtained from the agricultural produce. Among these, the combination of AMP-CHL-CT-KAN-PIP-ERY-TET was the most prevalent, accounting for 40% of lettuce and 31% of spinach (Table 2). According to a recent study conducted by Mpondo et al. (2021), it has been discovered that L. monocytogenes isolates obtained from environmental samples exhibit resistance to a maximum of 15 antimicrobials, resulting in a MAR index value of 1. In Malaysia, previous reports have documented a lower MAR index value of 0.56 in L. monocytogenes strains obtained from vegetable farms and retail markets (Huan et al., 2017). In this particular study, however, the L. monocytogenes isolates demonstrated a maximum MAR index value of 0.54, a value that remains significantly higher than the recommended MAR index value of 0.2 (Krumperman, 1983). The findings of this study demonstrate a high MAR index value (0.54), which signifies extensive contamination of the three agricultural products with multi-drug resistant L. monocytogenes.
In summary, this study has shown that there was a notable transfer of multidrug-resistant L. monocytogenes from the contaminated irrigation river water to the agricultural produce. The elevated levels of L. monocytogenes in lettuce and spinach are a cause for concern as these raw vegetables are commonly eaten in salads and could potentially lead to food-borne listeriosis, particularly for those who are more vulnerable to infection. Moreover, the MAR index values exceeding 0.2 indicate that the irrigation river water utilized on the farm poses a significant risk of contamination.
Therefore, consistently monitoring the presence of foodborne pathogens and the emergence of antimicrobial resistance in food is crucial. This is vital to minimize the chances of exposure and effectively manage agricultural produce to prevent or minimize contamination by such pathogens in South Africa.
AUTHOR CONTRIBUTIONS
F Tshabuse - conceptualisation and methodology of the study, data collection and fieldwork, sample/data analysis, interpretation of results, writing of the initial draft, revision after review; NK Cele - sample/data analysis, interpretation of results, writing of the initial draft; AR Opoku - writing of the initial draft; R Basson - writing of the initial draft; MS Mthembu - writing of the initial draft; MF Swalaha - conceptualisation and methodology of the study, interpretation of results, writing of the initial draft.
ACKNOWLEDGEMENTS
The authors would like to thank the Durban University of Technology (DUT) and the South African Medical Research Council (SAMRC) for financial assistance.
REFERENCES
AKHTAR S, SARKER MR and HOSSAIN A (2014) Microbiological food safety: a dilemma of developing societies. Crit. Rev. Microbiol. 40 348-359. https://doi.org/10.3109/1040841X.2012.742036 [ Links ]
ALLENDE A, CASTRO-IBÁNEZ I, LINDQVIST R, GIL MI, UYTTENDAELE M and JACXSENS L (2017) Quantitative contamination assessment of Escherichia coli in baby spinach primary production in Spain: effects of weather conditions and agricultural practices. Int. J. Food Microbiol. 257 238-246. https://doi.org/10.1016/j.ijfoodmicro.2017.06.027 [ Links ]
ALLERBERGER F and WAGNER M (2010) Listeriosis: a resurgent foodborne infection. Clin. Microbiol. Infect. 16 16-23. https://doi.org/10.1111/j.1469-0691.2009.03109.x [ Links ]
BINTSIS T (2017) Foodborne pathogens. AIMS Microbiol. 3 529. https://doi.org/10.3934/microbiol.2017.3.529 [ Links ]
BONAZZI M, LECUIT M and COSSART P (2009) Listeria monocytogenes internalin and E-cadherin: from structure to pathogenesis. Cell Microbiol. 11 693-702. https://doi.org/10.1111/j.1462-5822.2009.01293.x [ Links ]
BOU GHANEM EN, JONES GS, MYERS-MORALES T, PATIL PD, HIDAYATULLAH AN and D'ORAZIO SE (2012) InlA promotes dissemination of Listeria monocytogenes to the mesenteric lymph nodes during food borne infection of mice. PLoS Pathog. 8 e1003015. https://doi.org/10.1371/journal.ppat.1003015 [ Links ]
BUDNIAK S, KIjDRAK-JAB LONSKA A, SZCZAWINSKA A, REKSA M, KRUPA M and SZULOWSKI K (2016) Comparison of two multiplex PCR assays for the detection of Listeria spp. and Listeria monocytogenes in biological samples. J. Vet. Res. 60 411-416. https://doi.org/10.1515/jvetres-2016-0061 [ Links ]
CASEY A, JORDAN K, COFFEY A, FOX EM and MCAULIFFE O (2016) Comparative genomic analysis of two serotype 1/2b Listeria monocytogenes isolates from analogous environmental niches demonstrates the influence of hypervariable hotspots in defining pathogenesis. Front. Nutr. 3 54. https://doi.org/10.3389/fnut.2016.00054 [ Links ]
CHATTERJEE SS, OTTEN S, KUENNE C, KUCHMINA K, MACHATA S, DOMANN E, CHAKRABORTY T and HAIN T (2006) Intracellular gene expression profile of Listeria monocytogenes. Infect. Immun. 74 1323-1338. https://doi.org/10.1128/iai.74.2.1323-1338.2006 [ Links ]
CLSI (Clinical and Laboratory Standards Institute) (2006) Performance Standard for Antimicrobial Susceptibility Testing. 16th Informational Supplement. CLSI document 2006. CLSI, Pennsylvania. [ Links ]
FDA (Food and Drug Administration) (2022) Outbreak Investigation of Listeria monocytogenes: Dole packaged salad (December 2021). URL: https://www.fda.gov/food/outbreaks-foodborne-illness/outbreak-investigation-listeria-monocytogenes-dole-packaged-salad-december-2021 (Accessed 23 May 2022). [ Links ]
GREEN MR and SAMBROOK J (2016) Precipitation of DNA with ethanol. Cold Spring Harb. Protoc. 2016 (12) pdb. prot093377. https://doi.org/10.1101/pdb.prot093377 [ Links ]
HAZARDS EPOB, RICCI A, ALLENDE A, BOLTON D, CHEMALY M, DAVIES R, FERNANDEZ ESCÁMEZ PS, GIRONES R, HERMAN L and KOUTSOUMANIS K (2018) Listeria monocytogenes contamination of ready-to-eat foods and the risk for human health in the EU. EFSA J. 16 e05134. https://doi.org/10.2903/j.efsa.2018.5134 [ Links ]
INGEBORG HKS, DOOMS M, FLEKNA G, STESSL B, LECLERQ A, HILL C, LIU D, AINSWORTH AJ, AUSTIN FW, LAWRENCE ML, CAMEJO A, CARVALHO F, REIS O, LEITAO E, SOUSA S and CABANES D (2011) The arsenal of virulence factors deployed by Listeria monocytogenes to promote its cell infection cycle virulence. In: Congreso Internacional "CUCCAL" Sobre Inocuidad, Calidad y Funcionalidad De Alimentos y Servicios. 379-394. https://doi.org/10.4161/viru.2.5.17703 [ Links ]
IWU C D, IWU-JAJA CJ, ELHADI R, SEMERJIAN L and OKOH AI (2022) Modelling the potential risk of infection associated with Listeria monocytogenes in irrigation water and agricultural soil in two district municipalities in South Africa. Microorganisms 2022 (10) 181. https://doi.org/10.3390/microorganisms10010181 [ Links ]
JAFFEE S, HENSON S, GRACE D, AMBROSIO M and BERTHE F (2020) Why food safety matters to Africa: Making the case for policy action. In: Resnick D, Diao X and Tadesse G (eds): Sustaining Africa's Agrifood System Transformation: The Role of Public Policies. ReSAKSS 2020 Annual Trends and Outlook Report. IFPRI, Washington, DC; AKADEMIYA2063, Kigali. 112-129. https://doi.org/10.2499/9780896293946_10 [ Links ]
JAFFEE S, HENSON S, UNNEVEHR L, GRACE D and CASSOU E (2018) The safe food imperative: Accelerating progress in low-and middle-income countries. World Bank Publications. https://doi.org/10.1596/978-1-4648-1345-0 [ Links ]
JUNTTILA JR, NIEMELÀ S and HIRN J (1988) Minimum growth temperatures of Listeria monocytogenes and non-haemolytic listeria. J. Appl. Bacteriol. 65 321-327. https://doi.org/10.1111/j.1365-2672.1988.tb01898.x [ Links ]
KHATRI N and TYGI S (2015) Influences of natural and anthropogenic factors on surface and groundwater quality in rural and urban areas. Front. Life Sci. 8 (1) 23-39. https://doi.org/10.1080/21553769.2014.933716 [ Links ]
KRUMPERMAN PH (1983) Multiple antibiotic resistance indexing of Escherichia coli to identify high-risk sources of fecal contamination of foods. Appl. Environ. Microbiol. 46 165-170. https://doi.org/10.1128/aem.46.1.165-170.1983 [ Links ]
KURPAS M, WIECZOREK K and OSEK J (2018) Ready-to-eat meat products as a source of Listeria monocytogenes. J. Vet. Res. 62 49. https://doi.org/10.2478/jvetres-2018-0007 [ Links ]
LADO BH and YOUSEF AE (2007) Characteristics of Listeria monocytogenes important to food processors. Food Sci. Technol. 161 157. [ Links ]
MEGHDADI H, KHOSRAVI AD, SHEIKH AF, ALAMI A and NASSIRABADY N (2019) Isolation and characterization of Listeria monocytogenes from environmental and clinical sources by culture and PCR-RFLP methods. Iran. J. Microbiol. 11 (1) 7-12. [ Links ]
MPONDO L, EBOMAH KE and OKOH AI (2021) Multidrug-resistant Listeria species shows abundance in environmental waters of a key district municipality in South Africa. Int. J. Environ Res. Public Health 18 481. https://doi.org/10.3390/ijerph18020481 [ Links ]
PANDEY PK, KASS PH, SOUPIR ML, BISWAS S and SINGH VP (2014) Contamination of water resources by pathogenic bacteria. Amb. Express. 4 1-16. https://doi.org/10.1186/s13568-014-0051-x [ Links ]
PHELPS CC, VADIA S, ARNETT E, TAN Y, ZHANG X, PATHAK-SHARMA S, GAVRILIN MA and SEVEAU S (2018) Relative roles of listeriolysin O, InlA, and InlB in Listeria monocytogenes uptake by host cells. Infect. Immun. 86 e00555-18. https://doi.org/10.1128/iai.00555-18 [ Links ]
PIZARRO-CERDÁ J, KÜHBACHER A and COSSART P (2012) Entry of Listeria monocytogenes in mammalian epithelial cells: an updated view. Cold Spring Harb. Perspect. Med. 2 a010009. https://doi.org/10.1101/cshperspect.a010009 [ Links ]
POYART C, TRIEU-CUOT P and BERCHE P (1996) The inlA gene required for cell invasion is conserved and specific to Listeria monocytogenes. Microbiology 142 173-180. https://doi.org/10.1099/13500872-142-1-173 [ Links ]
SHONHIWA AM, NTSHOE G, ESSEL V, THOMAS J and MCCARTHY K (2019) A review of foodborne diseases outbreaks reported to the Outbreak Response Unit, National Institute for Communicable Diseases, South Africa, 2013-2017. Int. J. Infect. Dis. 79 73. https://doi.org/10.1128/AEM.70.4.2180-2185.2004 [ Links ]
SMITH A M, TAU NP, SMOUSE SL, ALLAM M, ISMAIL A, RAMALWA NR, DISENYENG B, NGOMANE M and THOMAS J (2019) Outbreak of Listeria monocytogenes in South Africa, 2017-2018: laboratory activities and experiences associated with whole-genome sequencing analysis of isolates. Foodborne Pathog. Dis. 16 524-530. https://doi.org/10.1089/fpd.2018.2586 [ Links ]
STEA EC, PURDUE LM, JAMIESON RC, YOST CK and TRUELSTRUP HANSEN L (2015) Comparison of the prevalences and diversities of Listeria species and Listeria monocytogenes in an urban and a rural agricultural watershed. Appl. Environ. Microbiol. 81 3812-3822. https://doi.org/10.1128/AEM.00416-15 [ Links ]
UYTTENDAELE M, JAYKUS LA, AMOAH P, CHIODINI A, CUNLIFFE D, JACXSENS L, HOLVOET K, KORSTEN L, LAU M and MCCLURE P (2015) Microbial hazards in irrigation water: standards, norms, and testing to manage use of water in fresh produce primary production. Compr. Rev. Food Sci. Food Saf. 14 336-356. https://doi.org/10.1111/1541-4337.12133 [ Links ]
WERBROUCK H, GRIJSPEERDT K, BOTTELDOORN N, VAN PAMEL E, RIJPENS N, VAN DAMME J, UYTTENDAELE M, HERMAN L and VAN COILLIE E (2006) Differential inlA and inlB expression and interaction with human intestinal and liver cells by Listeria monocytogenes strains of different origins. Appl. Environ. Microbiol. 72 3862-3871. https://doi.org/10.1128/AEM.02164-05 [ Links ]
WHO (2015) WHO estimates of the global burden of foodborne diseases. Foodborne Disease Burden Epidemiology Reference Group 2007-2015, World Health Organization, Geneva. 265 pp. [ Links ]
Correspondence:
F Tshabuse
Email: freedomvincent@gmail.com
Received: 25 August 2022
Accepted: 2 April 2024












