Serviços Personalizados
Journal
Artigo
Indicadores
Links relacionados
-
Citado por Google -
Similares em Google
Compartilhar
Journal of the South African Veterinary Association
versão On-line ISSN 2224-9435versão impressa ISSN 1019-9128
J. S. Afr. Vet. Assoc. vol.95 no.1 Pretoria 2024
https://doi.org/10.36303/jsava.649
CASE REPORT
Surgical management of cranial cruciate ligament rupture and concurrent medial patellar luxation in a small breed dog by means of a modified cranial closing wedge ostectomy and tibial tuberosity transposition
CF TriegaardtI; RC ElliottI; SH NaudeII; AM KitshoffI
ISmall Animal Surgery, Department of Companion Animal Clinical Studies, Faculty of Veterinary Science, University of Pretoria, South Africa
IIJohannesburg Specialist Veterinary Centre, South Africa
ABSTRACT
Medial patella luxation (MPL) is a common cause of hindlimb lameness in small breed dogs and is associated with concurrent cranial cruciate ligament (CCL) rupture in up to 40% of cases. This case report describes a surgical technique that addressed both conditions concurrently.
A four-year-old castrated, male Yorkshire Terrier presented with a chronic (two months) intermittent grade 3/5 lameness of the right pelvic limb that progressed to an acute non-weight bearing grade 5/5 lameness (Impellizeri et al. 2000). A clinical diagnosis of a grade 3 MPL and a concurrent CCL rupture of the right pelvic limb was made.
A modified cranial closing wedge ostectomy (mCCWO) and a tibial tuberosity transposition (TTT), with a wedge trochleoplasty, were performed. The patient recovered uneventfully, and no lameness was detected at six weeks follow-up. No lameness or other incidents were reported by the owner on telephonic contact three months postoperatively. A follow-up clinical evaluation and lameness examination were performed at 12 months, and there was, subjectively, no visible lameness, and the radiographs showed radiographic union.
This surgical technique has been shown to be an effective and viable option in this small breed patient to treat both conditions in one surgical procedure, but warrants further investigation with larger case numbers.
Keywords: cranial cruciate ligament rupture, medial patella luxation, modified cranial closing wedge ostectomy, small breed dog, tibial tuberosity transposition.
Introduction
Cranial cruciate ligament (CCL) rupture and concurrent medial patellar luxation (MPL) is a common clinical presentation in small and toy breed dogs. The incidence of these two conditions occurring concurrently in the same stifle has been reported to be as high as 41% (Campbell et al. 2010). Currently, there are two hypotheses regarding the pathological connection between MPL and CCL rupture. The one theory states MPL as the primary cause for CCL rupture and the second one states CCL rupture as the primary source of instability in the stifle joint leading to subsequent MPL (Campbell et al. 2010).
MPL is a developmental orthopaedic condition that predisposes patients to CCL rupture (Campbell et al. 2010; Leonard et al. 2016). Campbell et al. (2010) theorised that the association between MPL and CCL disease could stem from chronic increased force on the CCL due to internal tibial rotation relative to the femur, along with atrophy of the hind limb muscles (specifically m. biceps femoris, m. semitendinosus, m. semimembranosus) that insert on the proximal tibia, resulting in increased strain on the CCL. Additionally, when the patella is luxated, there is a loss of effective stabilisation of the stifle joint by the quadriceps mechanism, as highlighted by Campbell et al. (2010) and Arthurs and Langley-Hobbs (2007)
There can be multiple skeletal deformities in dogs associated with MPL, such as distal femoral varus, external femoral torsion, tibial torsion, patella alta and medial displacement of the tibial tuberosity (TT) (Towle et al. 2005). The CCL prevents internal rotation of the tibia, which might exacerbate the MPL once torn (Pacchiana et al. 2003). Research has shown that CCL rupture impacts the Q-angle, which is the angle formed by the force vector of the quadriceps muscle, the patella, and the patellar ligament (Kaiser et al. 2001). Nonetheless, additional studies are necessary to explore how ligament ruptures contribute to the development of patellar instability.
There are numerous surgical techniques described for the treatment of MPL with concurrent CCL rupture like combined tibial plateau levelling osteotomy (TPLO) and tibial tuberosity transposition (TTT) (Leonard et al. 2016), extracapsular stabilisation (ECS) combined with TTT and sulcoplasty, with or without soft tissue stabilisation techniques (DeCamp et al. 2016), modified triple tibial advancement (TTA) with lateral transposition of the TT (Yeadon et al. 2011).
The modified cranial closing wedge ostectomy (mCCWO) is a plateau leveling osteotomy technique that offers two main benefits. First, it involves removing a smaller wedge, which helps preserve more bone in the proximal tibia, beneficial for implant placement. Second, it results in less shortening of the tibia, potentially lowering the risk of recurvatum, fibular fractures, and patellar tendonitis. These advantages are especially favourable for Terrier breeds with excessive tibial plateau angles, where significant angular corrections are needed (Wallace 2011).
Patellar luxation is graded from grade 1 to 4 and there is a negative correlation between the surgical outcome and the increasing grade of patella luxation as described by Singelton (Singleton 1969). Grade 1 patella luxations are generally not treated surgically (Di Dona et al. 2018). A successful postoperative outcome has been reported as 100% for grade 2, 89% for grade 3 and 64% for grade 4 (Wangdee et al. 2013).
This report describes the treatment of a patient with a combination of a MPL and CCL rupture by TTT and mCCWO. To the author's knowledge this surgical technique has not been reported in literature.
Ethics statement
The authors confirm that legal and ethical requirements have been met with regards to the humane treatment of animals described in the study. Ethical approval was granted by the University of Pretoria Faculty of Veterinary Science ethics committee (REC028-23).
Patient presentation
A four-year-old, castrated, 4.3 kg, Yorkshire Terrier male, presented to the referral centre with a two-month history of intermittent moderate lameness on the right pelvic limb that progressed to an acute persistent non-weight bearing lameness.
On clinical presentation it was found that the patient had a grade 4/5 lameness (Impellizeri et al. 2000) of the right pelvic limb on a trot and no lameness of the left pelvic limb. Physical examination revealed no abnormalities, whereas on orthopaedic examination of the right pelvic limb, pain could be elicited on extension of the right stifle joint. Joint effusion, a positive cranial drawer sign consistent with CCL rupture and a grade 3 MPL were palpated on the right stifle but not on the left stifle. The rest of the examination of the right hind limb did not reveal any neurological deficits and no discomfort of any of the other joints of the limb. A full blood count and blood chemistry were performed, and the results were within normal limits.
Management and outcome
Medial-lateral and cranio-caudal radiographs were performed (Cuattro DR, IMV imaging, South Africa) as described by Tomlinson et al. 2007 and Danielski et al. 2002.
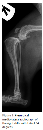
Radiographs revealed cranial tibial subluxation of the stifle joint with cranially displaced intercondylar eminences in relation to the femoral condyles, marked joint effusion with obliteration of the infrapatellar fat pad, displacement of the popliteal sesamoid and small supratrochlear osteophytes of the distal femur (Figure 1).

No distal femoral varus deformity was present based on the measurement of the lateral distal femoral angle, which indicated that no distal femoral ostectomy for addressing the medial patellar luxation was required (Tomlinson et al. 2007). No external femoral torsion was appreciated. There was, however, medial displacement of TT as defined by the positive quadriceps angle reported in a previous study (Towle et al. 2005). A tibial plateau angle (TPA) of 34 degrees was measured on the medial-lateral radiograph. A decision was made to do a mCCWO and TTT to address both conditions simultaneously.
Patient was premedicated by intravenous injection with diazepam (0.2 mg/kg IV, Valium, Roche products, Midrand, Johannesburg) and morphine sulphate (0.3 mg/kg IM, Morphine Sulphate PF, Fresenius Kabi, South Africa) and induced with propofol (2 mg/kg IV, Propoven 1%, Fresenius Kabi, South Africa). The patient was intubated and anaesthesia was maintained with Isoflurane (Isofor, Safeline Pharmaceuticals, South Africa) in 100% oxygen.
The right pelvic limb was aseptically prepared for surgery and an epidural loco-regional nerve block was performed at L7/S1 with morphine sulphate (0.1 mg/kg, Morphine Sulphate PF, Fresenius Kabi, South Africa) and bupivacaine hydrochloride (0.5 mg/kg or 0.1 ml/kg, Marcaine 0.5%; Adcock Ingram Ltd.).
Surgical technique
The patient was placed in dorsal recumbency, and the right pelvic limb was draped out. The distal limb was covered, up to the tarsus, with a surgical incision drape. A cranio-medial approach to the stifle joint was followed and the skin incision extended from the apex of the patella to the mid diaphysis of the tibia. The attachment of the m. sartorius/pes anserinus on the medial aspect of the tibia was incised and elevated off the medial aspect of the proximal tibia to expose the medial collateral ligament of the stifle joint and joint capsule. The insertion of the popliteal m., just caudal to the medial collateral ligament, was elevated off the caudo-proximal tibia and a periosteal elevator passed around the caudal aspect of the proximal tibia. An incision was made on the lateral aspect of the TT and the m. tibialis cranialis was elevated at this level up to the extensor groove of the m. extensor digitorum longus. A curved haemostat was passed around the cranio-lateral aspect of the tibia to meet the periosteal elevator on the caudo-lateral aspect. A saline-soaked gauze swab was passed from caudo-medial to cranio-lateral by using the haemostat to draw the swab through to the lateral aspect. This is used to isolate the proximal tibia from the surrounding soft tissue for later ostectomy. This is done in order to protect the soft tissue surrounding the tibia from the sagittal saw blade when performing the ostectomy.

A lateral parapatellar arthrotomy is performed, extending from 10 mm proximal to apex of the patella to the tibial joint surface. The same approach is used on the medial aspect of the stifle joint, but the medial incision extends proximally into the m. sartorius (medial desmotomy).
The stifle joint was inspected, and the remnants of CCL debrided, to allow visual inspection of the medial meniscus. There was partial-thickness cartilage erosion over the medial trochlear ridge with no other signs of degenerative joint disease. The trochlear groove was shallow and could only accommodate about 30% of the depth of the patella (DeCamp 2015). No medial meniscal injury could be identified. The joint was flushed with lactated Ringer's solution. A needle was placed into the joint in the region of the medial collateral ligament, perpendicular to the long axis of the bone in order to identify the joint surface of the tibia. A 2 mm locking TPLO (Veterinary Instrumentation, Sheffield, United Kingdom) plate was placed as caudal as possible on the proximal tibia to create enough space cranial for an appropriately sized TT osteotomy in order to test if the plate would fit. The infrapatellar fat pad was sharply incised with a no. 11 scalpel blade from proximal to distal to delineate the line for the osteotome placement caudal to the insertion of the patella tendon on the TT just cranial to the cranial edge of the extensor tendons sulcus. The TT osteotomy was performed, and the fragment was elevated and moved out of the way. A bone file was used to smooth the osteotomy surface. Next, two guide K-wires (1.1 mm) (Veterinary Instrumentation, Sheffield, United Kingdom) were placed perpendicular to the long axis of the bone. One pin at the most caudal-proximal aspect of the tibia/tibial plateau and the other one centrally in the distal diaphysis of the tibia. These two guide pins were lined up along the long axis of the tibia (parallel in the cranio-caudal view and overlapping along the length of the tibia if visualised from distal to proximal). The intended osteotomy lines were drawn with monopolar electrocautery. The initial osteotomy (horizontal line) was executed from cranial to caudal and perpendicular to the long axis of the tibia, starting at the most distal aspect of the TT. The subsequent step involved creating a 34-degree diagonal line from cranio-proximal tibia to caudo-distal, intersecting the horizontal line two-thirds of the way caudally. This was drawn with the use of a 34-degree surgical triangle guide (Veterinary Instrumentation, Sheffield, United Kingdom).
A 34-degree modified wedge ostectomy was performed with a sagittal saw as previously described (Bailey et al. 2007; Wallace 2011) The surgical swab was removed, and the two fragments were reduced to close the gap and align the cranial osteotomy margin and the guide pins. A 1.4 mm K-wire (Veterinary Instrumentation, Sheffield, United Kingdom) was placed from cranio-distal to caudo-proximal across the osteotomy to temporarily keep the two fragments aligned. The 2 mm locking TPLO plate (Veterinary Instrumentation, Sheffield, United Kingdom) was placed in compression across this osteotomy line. After the modified cranial closing wedge was completed and the guide pins lined up, the K-wires (Veterinary Instrumentation, Sheffield, United Kingdom) were removed.
A wedge trochleoplasty was performed to accommodate at least the width and about 50% of the thickness of the patella (Petazzoni et al. 2018). The TTT was performed next with a lateral transposition of 4 mm and fixed into position with a 1.4 mm K-wire (Veterinary instrumentation, Sheffield, United Kingdom) The K-wire was strategically placed in a cranio-caudal direction, nearly parallel to the joint surface, aiming to avoid interference with the proximal screws. A small hole was drilled distal to the osteotomy line in the cranial tibia to pass orthopaedic wire (0.7 mm) through and around the K-wire to act as a figure-8 tension band. The lateral arthrotomy was closed with absorbable 3/0 PDS (MonoPlus 3/0, B Braun surgical, Rubi, Spain) in a cruciate pattern. The medial arthrotomy was left open, and a loose horizontal mattress suture of 3/0 PDS was placed from the medial parapatellar aspect of the patella across the arthrotomy to the joint capsule, and intended to prevent lateral patella tilting/lifting.
The surgical site was lavaged with saline and the joint closed and the m. sartorius/pes anserinus sutured back over the plate with 3/0 PDS. Subcutaneous sutures were placed with 4/0 polyglyconate (Monosyn 4/0, B Braun surgical, Rubi, Spain) in continuous suture pattern. Lastly, the skin sutures were placed with a 4/0 nylon (Nylon 4/0, Gabler Medical, Essex, United Kingdom) using a Ford interlocking pattern. An adhesive non-adherent bandage was placed over the surgical incision.
The patient was treated for the first 24 hours with morphine sulphate (0.2 mg/kg IV q 6 hours, Morphine Sulphate PF, Fresenius Kabi, South Africa), paracetamol (10 mg/kg IV q 8 hours, Perfalgan, Equity Pharmaceuticals, Irene, Pretoria) and pregabalin (4 mg/kg PO q 12 hours, Nubacap 25, Forrester Pharma, Bellville, South Africa). After the first 24 hrs a nonsteroidal anti-inflammatory (meloxicam 0.1 mg/kg PO q 24 hours, Petcam, Cipla Medpro, Bellville, South Africa) was started, the opioids were discontinued.
The patient was discharged four days postoperatively with meloxicam (0.1 mg/kg PO q 24 hours, Petcam, Cipla Medpro, Bellville, South Africa) for three days and strict instructions of confinement for six weeks in a recovery crate. On discharge leash walking was advised four to five times a day for 10 minutes per session. The patient had good range of motion, mild soft tissue swelling around the surgical site and a grade 3/5 lameness.
Follow-up
The patient underwent a follow-up consultation and radiographic assessment six weeks post-surgery. Physical examination findings indicated a range of motion of ±110 degrees, normal patella tracking within the trochlear groove, absence of pain response during joint flexion or extension, and no apparent lameness while walking on a non-slip surface. Radiographs revealed successful bridging of the osteotomy gaps and proper implant positioning.
At the three-month post-surgery mark, the client was contacted via telephone, and reported no observed lameness in the patient and overall satisfaction with the procedure and recovery process.
At the 12-month follow-up examination, the author evaluated the operated limb and found no signs of lameness or discomfort, with normal patella tracking. Radiographs were not taken, as no abnormalities were detected during the examination (Alexander et al. 2021).
Discussion
The complication rate associated with TTT, and extracapsular stabilisation procedures has been reported to be as high as 46.9% (Fauron et al. 2017), with 15.6% being major complications warranting surgical intervention. These complications are recurrent patella luxation infection and implant failure. The decision to opt for a mCCWO instead of a TPLO was influenced by concerns regarding TT fracture risk, particularly in cases involving small proximal tibias. Compared to TTT performed in combination with TPLO, mCCWO preserves a larger segment of proximal bone for screw placement and has a more significant downward traction on the patella potentially treating patella alta more effectively in these cases.(Shimada et al. 2023).
The mCCWO removes a smaller triangle of bone and subsequently will have less tibial shortening. The segment of bone removed is based on a diagonal line from cranio-proximal tibia to caudo-distal, intersecting the horizontal line two-thirds of the way caudally across the diaphysis of the tibia. This represents the core of the modified wedge, which differs from the standard cranial closing wedge osteotomy (CCWO). In the standard CCWO, the oblique and horizontal osteotomies converge at the caudal aspect of the tibia. The placement of the K-wire in a plane nearly parallel to the joint surface minimises the risk of contact with the proximal screw components. This differs from the conventional way of placing the K-wire in a cranio-proximal to caudo-distal direction.
The elevated insertion point of the patellar ligament and the presence of excessive TPA would have resulted in rotation below the critical point, losing buttress of the caudal segment and increasing the risk of TT fracture during TTT and TPLO. This is particularly significant as the TT is narrowest distal to the insertion of the patellar ligament (Mehrkens et al. 2018). A recent study in large breed dogs with TPAs exceeding 30 degrees found that anatomical-mechanical axis angle-based CCWO resulted in superior correction of caudal bowing of the proximal tibia, a common feature associated with CCL-deficient stifles exhibiting TPAs over 30 degrees and present in this patient. This study also noted reduced postoperative anatomical-mechanical axis angles and cranio-caudal patella positions more closely resembling those of unaffected dogs (Guénégo et al., 2021) Modified cranial closing wedges have been shown in multiple studies to allow adequate correction of excessive TPA with less deviation of the insertion of the patella tendon. (Vedrine et al., 2013). Even though this is a small breed patient, it had the same anatomical anomaly.
Potential complications with this technique are implant failure, fracture of the TT, patella baja, increased retropatellar pressure that can cause discomfort after trochleoplasty and hyperextension of the stifle. Locking implants were selected to minimise the risk of implant failure and large enough TT was transposed to minimise the risk of fracture. The advantage of a mCCWO treating patella position is that it will treat patella position more effectively in cases with patella alta.
Conclusion
This surgical technique has been shown to be an effective and viable option in this small breed patient to treat both conditions in one surgical procedure, but warrants further investigation with larger case numbers.
Acknowledgements
The authors would like to thank Mrs. Smith for allowing us to use the data on her dog for this case report.
Conflict of interest
The authors declare that they have no financial or personal relationship(s) that may have inappropriately influenced them in writing this article.
Funding source
The author received funding from the Department of Companion Animal Clinical Studies, Faculty of Veterinary Science, University of Pretoria.
Ethical approval
Ethical approval was granted by the University of Pretoria Faculty of Veterinary Science ethics committee (REC028-23).
ORCID
C Triegaardt https://orcid.org/0009-0007-0906-1554
S Naude https://orcid.org/0000-0003-3047-551X
A Kitshoff https://orcid.org/0000-0001-9657-740X
R Elliott https://orcid.org/0000-0002-6774-7892
References
Alexander, A., Compagnone, K., Grierson, J., et al., 2021, Influence of radiographic examination findings on recommendations made during routine clinical re-evaluation of dogs with uncomplicated tibial plateau leveling osteotomy, Veterinary Surgery 50, 44-52. https://doi.org/10.1111/vsu.13533. [ Links ]
Arthurs, G.I., Langley-Hobbs, S.J., 2007, Patellar luxation as a complication of surgical intervention for the management of cranial cruciate ligament rupture in dogs, Veterinary and Comparative Orthopaedics and Traumatology 20, 204-210. https://doi.org/10.1160/VCOT-06-10-0074. [ Links ]
Bailey, C.J., Smith, B.A., Black, A.P., 2007, Geometric implications of the tibial wedge osteotomy for the treatment of cranial cruciate ligament disease in dogs, Veterinary and Comparative Orthopaedics and Traumatology 20, 169-74. https://doi.org/10.1160/VCOT-06-02-0012. [ Links ]
Campbell, C.A., Horstman, C.L., Mason, D.R., et al., 2010, Severity of patellar luxation and frequency of concomitant cranial cruciate ligament rupture in dogs: 162 cases (2004-2007), Journal of the American Veterinary Medical Association 236, 887-891. https://doi.org/10.2460/javma.236.8.887. [ Links ]
Decamp, C.E., 2015, Brinker, Piermattei and Flo's handbook of small animal orthopedics and fracture repair, Elsevier Health Sciences. [ Links ]
Decamp, C.E., Johnston, S.A., Déjardin, L.M., et al., 2016, The stifle joint, Brinker, Piermattei and FloS Handbook of Small Animal Orthopedics and Fracture Repair 597-669. https://doi.org/10.1016/B978-1-4377-2364-9.00027-6. [ Links ]
Di Dona, F., Della Valle, G., Fatone, G., 2018, Patellar luxation in dogs, Veterinary Medicine: Research and Reports 9, 23-32. https://doi.org/10.2147/VMRR.S142545. [ Links ]
Guénégo, L., Vezzoni, A., Vezzoni, L., 2021, Comparison of tibial anatomical-mechanical axis angles and patellar positions between tibial plateau levelling osteotomy (TPLO) and modified cranial closing wedge osteotomy (AMA-based CCWO) for the treatment of cranial cruciate ligament disease in large dogs with tibial plateau slopes greater than 30° and clinically normal Labradors retrievers, BMC Veterinary Research 17, 368. https://doi.org/10.1186/s12917-021-03094-3. [ Links ]
Impellizeri, J.A., Tetrick, M.A., Muir, P., 2000, Effect of weight reduction on clinical signs of lameness in dogs with hip osteoarthritis, Journal of the American Veterinary Medical Association 216, 1089-91. https://doi.org/10.2460/javma.2000.216.1089. [ Links ]
Kaiser, S., Cornely, D., Colder, W., et al., 2001, The correlation of canine patellar luxation and the anteversion angle as measure using magnetic resonance images, Veterinary Radiology & Ultrasound 42, 113-118. https://doi.org/10.1111/j.1740-8261.2001.tb00913.x. [ Links ]
Leonard, K.C., Kowaleski, M.P., Saunders, W.B., et al., 2016, Combined tibial plateau levelling osteotomy and tibial tuberosity transposition for treatment of cranial cruciate ligament insufficiency with concomitant medial patellar luxation, Veterinary and Comparative Orthopaedics and Traumatology 29, 536-540. https://doi.org/10.3415/VCOT-15-12-0195. [ Links ]
Mehrkens, L.R., Hudson, C.C., Cole, G.L., 2018, Factors associated with early tibial tuberosity fracture after tibial plateau leveling osteotomy, Veterinary Surgery 47, 634-639. https://doi.org/10.1111/vsu.12915. [ Links ]
Pacchiana, P.D., Morris, E., Gillings, S.L., et al., 2003, Surgical and postoperative complications associated with tibial plateau leveling osteotomy in dogs with cranial cruciate ligament rupture: 397 cases (1998-2001), Journal of the American Veterinary Medical Association 222, 184-93. https://doi.org/10.2460/javma.2003.222.184. [ Links ]
Petazzoni, M., De Giacinto, E., Troiano, D., et al., 2018, Computed tomographic trochlear depth measurement in normal dogs, Veterinary and Comparative Orthopaedics and Traumatology 31, 431-437. https://doi.org/10.1055/s-0038-1668097. [ Links ]
Shimada, M., Murakami, S., Tanigawa, T., et al., 2023, Comparison of patellar position and moment arm between tibial plateau leveling osteotomy and cranial closing wedge ostectomy: An ex vivo study, Open Veterinary Journal 13, 262-269. https://doi.org/10.5455/OVJ.2023.v13.i3.2. [ Links ]
Singleton, W., 1969, The surgical correction of stifle deformities in the dog, J Small Anim Pract 10, 59-69. https://doi.org/10.1111/j.1748-5827.1969.tb04021.x. [ Links ]
Tomlinson, J., Fox, D., Cook, J.L., et al., 2007, Measurement of femoral angles in four dog breeds, Veterinary Surgery 36, 593-8. https://doi.org/10.1111/j.1532-950X.2007.00309.x. [ Links ]
Towle, H.A., Griffon, D.J., Thoma, M.W., et al., 2005, Pre-and postoperative radiographic and computed tomographic evaluation of dogs with medial patellar luxation, Veterinary Surgery 34, 265-272. https://doi.org/10.1111/j.1532-950x.2005.00040.x. [ Links ]
Vedrine, B., Guillemot, A., Fontaine, D., et al., 2013, Comparative anatomy of the proximal tibia in healthy Labrador Retrievers and Yorkshire Terriers, Veterinary and Comparative Orthopaedics and Traumatology 26, 266-270. https://doi.org/10.3415/VCOT-12-02-0018. [ Links ]
Wallace, A.M., 2011, Modification of the cranial closing wedge ostectomy technique for the treatment of canine cruciate disease, Veterinary and Comparative Orthopaedics and Traumatology, 24, 457. https://doi.org/10.3415/VCOT-10-11-0159. [ Links ]
Wangdee, C., Ttheyse, L.F.H., Techakuphu, M., Soontornvipart, K., et al., 2013, Evaluation of surgical treatment of medial patellar luxation in Pomeranian dogs, Veterinary and Comparative Orthopaedics and Traumatology 26, 435-439. https://doi.org/10.3415/VCOT-12-11-0138. [ Links ]
Yeadon, R., Fitzpatrick, N., Kowelaski, M., 2011, Tibial tuberosity transposition-advancement for treatment of medial patellar luxation and concomitant cranial cruciate ligament disease in the dog, Veterinary and Comparative Orthopaedics and Traumatology 24, 18-26. https://doi.org/10.3415/VCOT-10-01-0015. [ Links ]
Correspondence:
CF Triegaardt
Email: christiaantriegaardt@gmail.com











