Servicios Personalizados
Revista
Articulo
Indicadores
Links relacionados
-
Citado por Google -
Similares en Google
Compartir
South African Journal of Surgery
versión On-line ISSN 2078-5151versión impresa ISSN 0038-2361
S. Afr. j. surg. vol.63 no.3 Cape Town 2025
https://doi.org/10.36303/SAJS.02606
CASE REPORT
Isolated peritoneal hydatid disease: a rare case report
J Botha; M Mihalik
Department of Surgery, New Somerset Hospital, South Africa
SUMMARY
Hydatid disease is a zoonotic parasitic infection caused by Echinococcus granulosus and is not uncommonly encountered in South Africa, especially in certain endemic areas. It generally affects the liver and lungs, with primary isolated peritoneal involvement being extremely rare. We report the case of a 14-year-old female with an isolated peritoneal hydatid cyst, initially thought to be a simple ovarian cyst, with no apparent hepatic or pulmonary involvement. This case highlights the potential consideration of hydatid disease in the differential of peritoneal cystic masses, even in the absence of hepatic or pulmonary involvement, especially in patients from endemic regions.
Keywords: hydatid disease, adolescent, peritoneal, echinococcosis, albendazole
Case report
A previously well 14-year-old female patient, with no surgical history, presented with a one-year history of non-specific abdominal pain. Her pain had gradually intensified over the past four months. She also reported anorexia, weight loss, nausea, and vomiting and had noted a progressively enlarging abdominal mass. Notably, the patient had not yet experienced menarche, but with otherwise appropriate developmental milestones. Although she presented in the Western Cape of South Africa, she was originally from the Eastern Cape, an endemic area for Echinococcus.
Examination revealed a mildly tender, smooth-walled and mobile abdominal mass that seemed to originate in the pelvis with an equivalent gestational size of 24 weeks. Vital signs were stable (heart rate: 92 beats per minute, blood pressure: 104/69 mmHg, respiratory rate: 14 breaths per minute, temperature: 36.2 °C), and the rest of the systemic examination was unremarkable. Despite the absence of menarche there were no other signs of delayed puberty, and a urine pregnancy test was negative. A gynaecologic transabdominal ultrasound was conducted, revealing what appeared to be a right ovarian multi-loculated cystic mass measuring 176 x 143 x 60 mm with absence of calcifications or papillary outgrowths. The uterus appeared normal and empty, and the left ovary was not visualised. Laboratory investigations revealed an elevated lactate dehydrogenase (LDH) level of 218 U/l (normal: 100-190 U/l) and a CA 125 level of 40 kU/l (normal: 0-35 kU/l). A normocytic hypochromic anaemia was noted, with a haemoglobin (Hb) concentration of 10.1 g/dl and a thrombocytosis of 653 x 10^9/l, but normal white cell count.

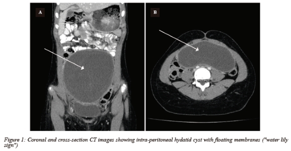
The patient was admitted with a presumed diagnosis of an ovarian cyst. Diagnostic laparoscopy revealed a complex cystic mass, densely adhered to both the bowel and omentum and it was noted that the cyst originated from the peritoneum and not the ovary. Several peritoneal deposits were observed and biopsied and the procedure was terminated to allow for further investigation. Histology results were in keeping with hydatid cyst and subsequent serology revealed a positive Echinococcus ELISA and an IgG value of 28.45 U/ml. The chest X-ray and abdominal ultrasound revealed no extra-peritoneal involvement. Contrast-enhanced computed tomography (CT) scan of the abdomen demonstrated an intra-peritoneal hydatid cyst measuring 147 x 143 x 60 mm extending from the pelvis into the mid-abdomen. There was no free fluid in the abdomen, and all the other abdominal organs appeared normal.
Treatment for hydatid disease was initiated with a two-week course of albendazole prior to surgery. The cyst was excised via a midline laparotomy with Edinburgh University Solution of Lime (Eusol) swabs to minimise risk of seeding. Intraoperatively the cyst was found to be densely adhered to the peritoneum, omentum, small bowel, and sigmoid colon. Adhesiolysis was performed, resulting in a small serosal small bowel tear which was repaired, and the cyst was successfully excised intact and sent for histopathological analysis. The immediate postoperative course was uneventful, but a decrease in Hb to 8.5 g/dl was noted on day three postoperatively with no other overt signs of major bleeding. As the patient had an associated tachycardia, she was transfused two units of cross-matched packed red blood cells and was discharged on day six postoperatively with a Hb of 10.2 g/dl.

Histological examination of the excised cyst confirmed the diagnosis of hydatid disease. Albendazole therapy was reinitiated two weeks postoperatively and continued for an additional four weeks. The patient was reviewed in the surgical outpatient clinic six weeks postoperatively, at which time she had fully recovered, with no evidence of residual or recurrent hydatid disease. After seven months the patient was well with no evidence of recurrence.
Discussion
Hydatid disease is a parasitic infection primarily caused by Echinococcus granulosus.1 It is endemic to parts of the developing world especially in the Middle East, Australia, Africa, Mediterranean region, Turkey and South America with an Africa-wide prevalence of 1.7%.1 Unfortunately, epidemiological data for hydatid disease in South Africa is lacking. 1 Humans are the accidental hosts and Echinococcus is caused by the larva of the parasite and results in cysts forming in various tissues.2 The life cycle of Echinococcus granulosus requires two hosts with dogs acting as the primary definitive hosts and intermediate hosts including mostly sheep, cattle, pigs, goats and horses.2 Humans generally become infected by ingesting food or water contaminated with infective eggs.2 Once consumed, the eggs release oncospheres that can actively invade the intestinal lining, travelling via portal venous spread to various anatomical sites where they develop into cysts.2 In adults 75% of cases manifest with primary hepatic involvement, followed by pulmonary at 5-15%, whilst other organs comprise the remaining 20%.3 Interestingly the converse is true in children with 64% primary pulmonary and 28% primary hepatic involvement.3
Isolated primary peritoneal hydatid disease, as evidenced in this case, is an exceedingly rare manifestation of echinococcosis, with peritoneal involvement usually occurring secondary to the rupture of hepatic cysts or following surgical spillage.1,4 The peritoneum accounts for the primary site in less than 2% of all hydatid disease cases globally, even in endemic regions.4 The majority of these cases remain asymptomatic until the cyst attains a significant size, at which point they may present with symptoms including abdominal pain, a sense of fullness, and signs of obstruction.4
Imaging plays a critical role in the diagnosis of hydatid cysts. Ultrasonography is the most commonly used initial radiological tool for identifying the source organ and characterising hydatid cysts, with a sensitivity of approximately 90-95%.4 Typically, a single unilocular lesion or multiple well-defined anechoic cystic lesions, either with or without daughter cysts, are observed.4 Daughter cysts can be identified by their characteristic internal septations. Hydatid sand, primarily composed of hooklets and scolices, may become visible when the patient changes position during imaging. 4
CT scans exhibit a high sensitivity of around 95-100% for detecting hydatid cysts.4 Contrast-enhanced CT scans reveal well-defined, round lesions with low attenuation and no contrast enhancement.4 Serological testing, particularly Echinococcus ELISA and IgG assays, can be used to assist in diagnosis and should form part of the work-up of all cystic abdominal lesions in endemic areas.4
Complications of peritoneal hydatid cysts include rupture leading to peritoneal dissemination, anaphylactic reactions, secondary bacterial infection, and adhesions causing bowel obstruction.5 Management of peritoneal hydatid disease involves a combination of medical therapy and surgical intervention. Albendazole is the drug of choice, administered preoperatively to reduce the risk of intraoperative dissemination and postoperatively to prevent recurrence.6,7 Unfortunately, albendazole also has significant side effects including hepatic enzyme derangements, alopecia and bone marrow suppression that can lead to neutropenia, thrombocytopaenia or rarely aplastic anaemia.8 Due to the haematological effects, care should be taken to minimise blood loss intraoperatively, with vigilance and awareness of potential bleeding in the postoperative period, such as our patient who required postoperative blood transfusion.
Complete surgical excision remains the definitive treatment for large or symptomatic cysts, although minimally invasive techniques such as laparoscopic cystectomy have been described in selected cases.79 Another key aspect of the surgery is the use of scolicidal agents, such as hypertonic saline or Eusol, to prevent recurrence of disease should spillage occur during the operation.10 Follow-up is essential in hydatid disease to assess for recurrence, although this may be problematic in certain socio-economic settings.
In conclusion, primary isolated peritoneal hydatid disease is an exceptionally rare entity but should be considered in the differential diagnosis of cystic intra-abdominal masses, particularly in endemic regions. A multimodal approach involving radiological, serological, and surgical evaluation is essential for accurate diagnosis and management. Combined management with albendazole and surgical excision, with precautions to avoid rupture and seeding, are the mainstay of treatment with follow-up to assess for recurrence.
Conflict of interest
The authors declare no conflict of interest.
Funding source
No funding was required.
Ethical approval
The authors declare that this submission is in accordance with the principles laid down by the Responsible Research Publication Position Statements as developed at the 2nd World Conference on Research Integrity in Singapore, 2010.
Written consent obtained by the guardians of the patient is included in the submission.
ORCID
J Botha https://orcid.org/0009-0006-9192-9764
M Mihalik https://orcid.org/0000-0002-5852-6457
REFERENCES
1. Hegde N, Hiremath B. Primary peritoneal hydatidosis. BMJ Case Reports. 2013;2013:bcr2013200435. https://doi.org/10.1136/bcr-2013-200435. [ Links ]
2. Govindasamy A, Bhattarai PR, van Niekerk J, John J. Liver cystic echinococcosis: a retrospective study on the demographics and clinical profile of patients managed at a single tertiary institution in central Eastern Cape Province, South Africa. S Afr Med J. 2024;114(5):2195. https://doi.org/10.7196/SAMJ.2024.v114i5.2195. [ Links ]
3. Satoskar AR, Cummings H, Rodriques-Sosa M. Hydatid disease. In: Satoskar AR, Simon GL, Hotez PJ, Tsuji M, editors. Medical parasitology. Austin: Landes Bioscience; 2009. p. 146-52. [ Links ]
4. Almasri B, Albitar L. Rare isolated primary peritoneal hydatid cysts: a case report from Syria. Qatar Med J. 2016;2016(2). https://doi.org/10.5339/qmj.2016.13. [ Links ]
5. Alghofaily KA, Saeedan M Bin, Aljohani IM, et al. Hepatic hydatid disease complications: review of imaging findings and clinical implications. Abdom Radiol. 2017;42(1):199-210. https://doi.org/10.1007/s00261-016-0860-2. [ Links ]
6. El-On J. Benzimidazole treatment of cystic echinococcosis. Acta Trop. 2003;85(2):243-52. https://doi.org/10.1016/S0001-706X(02)00217-6. [ Links ]
7. Saimot AG. Medical treatment of liver hydatidosis. World J Surg. 2001;25(1):15-20. https://doi.org/10.1007/s002680020003. [ Links ]
8. Horton J. Albendazole for the treatment of echinococcosis. Fundam Clin Pharmacol. 2003;17(2):205-12. https://doi.org/10.1046/j.1472-8206.2003.00171.x. [ Links ]
9. Dziri C, Haouet K, Fingerhut A. Treatment of hydatid cyst of the liver: where is the evidence? World J Surg. 2004;28(8):731-6. https://doi.org/10.1007/s00268-004-7516-z. [ Links ]
10. Sharafi S, Sefiddashti R, Sanei B, Yousefi M, Darani H. Scolicidal agents for protoscolices of Echinococcus granulosus hydatid cyst: review of literature. J Res Med Sci. 2017;22(1):92. https://doi.org/10.4103/jrms.JRMS_1030_16. [ Links ]
Correspondence:
email: jbotha3103@gmail.com












