Services on Demand
Journal
Article
Indicators
Related links
-
Cited by Google -
Similars in Google
Share
South African Journal of Enology and Viticulture
On-line version ISSN 2224-7904Print version ISSN 0253-939X
S. Afr. J. Enol. Vitic. vol.38 n.2 Stellenbosch 2017
https://doi.org/10.21548/38-2-1044
ORIGINAL RESEARCH ARTICLES
Cross breeding and hybrid identification of sulphite-tolerant hybrids of saccharomyces uvarum
X.Z. Liu; Z.M. Zhang; H.Y. Zhang*
College of Forestry, Key Laboratory of Biodiversity Conservation in Southwest China, State Forest Administration, Southwest Forestry University, Kunming, Yunnan Province, China, 650224
ABSTRACT
Yeast species belonging to Saccharomyces have great potential for the wine industry. However, the sulphite tolerance of most S. uvarum strains is quite poor compared with that of the other Saccharomyces strains. In order to get new S. uvarum strains with tolerance to sulphite, and also with good fermentation characteristics, 21 candidates were screened from three different crossing combinations of sensitive S. uvarum strains to one sulphite-tolerant strain. Ten of these hybrids were sulphite tolerant and contained the FZF1 gene from both parents. Inter-simple sequence repeat (ISSR) analysis confirmed their hybrid status, based on six primers that produced 55 clear and reproducible bands, including 32 that were polymorphic. Two hybrids had identical fingerprints, indicating that it was the same clone. Thus, nine different novel sulphite-resistant hybrids of S. uvarum were obtained. The selected hybrid strains fermented very well at 30°C in Sauvignon Blanc grape juice containing 2 mM of sodium sulphite, with minor differences in fermentation performance. Two strains (namely C13 and C21) performed very similarly to the sulphite-tolerant parent A9 and a commercial S. cerevisiae strain EC1118, and the production of fermentation aromas, namely propanol, isobutanol and isoamyl alcohol by C13 was found to be the highest. This is the first report of using hybridisation to breed the sulphite-tolerant S. uvarum strains.
Key words: Cross, FZF1, identification, ISSR, Saccharomyces uvarum
INTRODUCTION
Yeast breeding is a core technology to improve wine quality during fermentation, due to the yeast inoculum's effect on wine aroma and flavour (Rankine, 1972). Therefore, to improve wine quality and to optimise the production process and characteristics of specific wines, more research on developing high-quality and efficient yeast fermentation strains is necessary. At present, wine-brewing yeast is all developed overseas and brought to China, which restricts the development of wines with regional characteristics and quality. Excellent yeast germplasm and highly efficient breeding technologies are critical due to the rapid development of the wine markets. The development of improved strains should be prioritised by science and technology.
Saccharomyces uvarum has great potential for wine production (Sipiczki, 2002), as it has been shown to be more cryotolerant compared to S. cerevisiae. The former also produces higher amounts of glycerol, succinic acid and malic acid, but lower amounts of amyl alcohols and acetic acid, which make it possible that, in some cases, wines produced by S. uvarum strains have better aromas than those produced by S. cerevisiae (Sipiczki 2008; Nguyen etal., 2011). To date, S. uvarum has occupied a limited but important position in wine production, and it has good development prospects in the marketplace. Therefore, the more studies are conducted on this species, the more significant role it may play in wine production in the future. Sulphite is widely applied in foods, beverages and pharmaceuticals as a preservative due to its antimicrobial and antioxidant functions (Taylor et al., 1986; Liu et al., 2017). The addition of sulphite to grape juice, the raw material used for wine production, is done at a dosage of 50 mg/L free sulphite (Doneche, 1993). As a result, many S. cerevisiae wine strains have evolved mechanisms of tolerance to sulphite (Pérez-Ortín et al., 2002; Yuasa et al., 2005; Zimmer et al., 2014). However, the sulphite tolerance of S. uvarum is relatively poor (Bashtannaya, 1970), and its sulphite sensitivity will seriously influence its further application in wine production. There are, however, a small number of S. uvarum strains that are sufficiently sulphite tolerant for wine production, although they have defects. In order to meet market needs and to produce new wine aroma and flavours, a number of excellent, new, sulphite-tolerant strains are called for. Hence, research on the breeding and cultivation of sulphite-tolerant strains of S. uvarum is imperative.
To develop new S. uvarum strains that are not only tolerant of sulphite, but also have other good fermentation characteristics, we initiated crossing between a sulphite-tolerant strain and the other three strains producing wines with high aromatic intensity. Rapid and effective methods to identify new sulphite-tolerant S. uvarum hybrids are presented in this study.
MATERIALS AND METHODS
Materials
This research used a sulphite-tolerant S. uvarum strain, A9 (an S. uvarum strain with an insertion in FZF1 that is required for sulphite tolerance, provided by Professor Richard C. Gardner of the University of Auckland; see Zhang et al., 2015), S. cerevisiae strain EC1118 (Angel, Wuhan, China), while three sulphite-sensitive S. uvarum strains, BC4, BZL10 and XJ5, were isolated from Shangri-la, Yunnan Province, China and shown to be good fermenters that produce high aromatic intensity. These strains are preserved in the Key Laboratory of Biodiversity Conservation in Southwest China, Southwest Forestry University. The reagents used in this study were bought from Sangon Biotech Co., Ltd. (Shanghai, China).
Culture conditions
Yeasts were inoculated into 20 mL tubes containing 5 mL of liquid yeast extract peptone dextrose (YPD, 0.01 g/mL yeast extract, 0.02 g/mL peptone, 0.02 g/mL agar and 0.02 g/mL glucose) and incubated with rotary shaking in an incubator (Eppendorf, Hamburg, Germany) at 30°C until the stationary phase was reached (about 108 cells per mL). Flasks of 250 mL to 1 litre with 100 to 500 mL of medium were prepared. The flasks were inoculated with the stationary-phase culture to give an initial .4660 of 0.05. After inoculation, the flasks were incubated at 30°C with shaking.
Crossing of S. uvarum strains
Crosses were performed in line with the method described by Codon et al. (1995). Standard protocols were used to induce sporulation: cultivation of the cells at 22°C on solid YPD for 24 h, transfer of the grown colonies to sporulation (SPO1) solid medium (0.5 g/L glucose, 10 g/L potassium acetate, 20 g/L agar and 1 g/L yeast extract), and incubation of the Petri dishes for four to seven days. Alternatively, single-colony cells were transferred to a solid pre-sporulation (PRE5) medium (3 g/L peptone, 100 g/L glucose, 20 g/L agar and 8 g/L yeast extract), and the Petri dishes were incubated for 24 h at 22°C. Then the cells were transferred to a solid sporulation (SPO2) medium (0.5 g/L glucose, 5 g/L potassium acetate, 20 g/L agar and 1 g/L yeast extract) and incubated at 22°C for at least four days. The cells were washed down with distilled water, then centrifuged in a 1.5 mL sterile tube at 2 000 g for four minutes, after which the supernatant was removed immediately and the pellet was washed in 100 μL sterile water. The pellet was resuspended gently in 100 μL glusulase (1 000 U/mL), incubated for two to three hours at 30°C, and spore cells were obtained. Spores of BC4, BZL10 and XJ5 were mixed with cells of the A9 haploid strain The mixture was then inoculated in YPD liquid medium (pH 3.5 with succinate, containing 15 mM of sodium sulphite), cultured at 30°C, and collected after 20 hours. Large single colonies were picked, numbered and saved.
Screening S. uvarum for sulphite tolerance
The sulphite tolerance of colonies was investigated by spotting aliquots from cultures grown overnight in YPD broth medium onto fresh YPD agar plates (pH 3.5 with succinate) containing 15 mM of sodium sulphite. The sulphite tolerance of the colonies was also checked by fermentation by having the same concentration of sulphite added to the fermentation medium (see section on 'Fermentation and rate measurement').
DNA extraction
DNA extraction was done according to the method described by Zhang et al. (2010a), with minor revisions. Yeast cultures were grown overnight at 30°C (1 x 107 cells/mL) and harvested by centrifuging for 5 min at 1 500 g, and then resuspended in 0.5 mL of sterile distilled water. Cells were transferred to Eppendorf tubes and were pulsed for 5 s at 14 000 rpm. The supernatant was discarded and the pellet resuspended in the residual water, then vortexed with 200 μL of yeast lysis buffer (10x, Triton X-100, 10% SDS, 5 M NaCl, 0.5 M EDTA, 1 M Tris pH 7.4), 200 μL of organic solvent (phenol:chloroform:isoamyl alcohol in a ratio of 25:24:1), and 0.3 g of glass beads were added. The mixture was vortexed again, and then 200 μL of Tris-EDTA (TE, 10 mM Tris-HCl, pH 8.0; 1 mM EDTA) was added. It was centrifuged again, the aqueous phase was transferred to a fresh tube and 1 mL of ethanol was added. The supernatant was discarded after centrifugation, and 400 μL TE and 4 μL RNase were added to the pellet and kept at 37°C. Ten μL of 4 M ammonium acetate and 1 mL of ethanol were added. The suspension was centrifuged and the supernatant was discarded. The resultant pellet was washed with 70% ethanol, after which the pellet was air dried and resuspended in 50 μL TE. Agarose gel (1%) electrophoresis of a sample of the DNA was performed, and bands were observed under a UV transilluminator (Spectronic Corporation, Westbury, NY, USA). Purity was checked by taking the absorbance ratio at 260 nm and 280 nmina NanoDrop ND-1000 spectrophotometer (NanoDrop Technologies, Wilmington, DE, USA).
Polymerase chain reaction (PCR) analysis
The PCR reaction mixtures (25 μL) were set up with the following components: 2.5 μL 10 χ PCR buffer (including Mg2+), 1 μL each of 10 μM primers, 0.5 μL of 10 mM of each dNTP, 0.2 μL of 5U/μL Taq DNA polymerase, 2 μL of template DNA and dH2O up to 25 μL. Primers flanking the FZF1 gene insertion were L1: TAC GGG TTG ACC ACT CCA AT and R1: CAC CGC GTT CAT ATC AG (Zhang et al., 2015). Programs used for PCR were: 5 min at 95°C, followed by 35 cycles of 30 s denaturation at 95°C, 30 s at 56 °C annealing. and 60 seconds of elongation at 72°C, followed by 7 min at 72°C.
The PCR amplicon products were assayed by agarose gel electrophoresis using 1.2% agarose gels made in 1 χ TBE buffer (10.8 g/L of Tris pH 8.0, 5.5 g/L of boric acid, and 0.93 g/L of EDTA-Na2H2O). The gels were stained with ethidium bromide, visualised, and photographed under UV light. Fragment sizes were estimated by comparison against a DNA standard (1 kb Plus Ladder, Invitrogen, USA).
Inter-simple sequence repeat (ISSR) analysis
The PCR reaction mixtures (25 μL) were the same as mentioned above, except for the primers. The primers used were UBC 808[(AG)8C], UBC 820[(GT)8C], UBC 834[(AG)8YT], UBC840[(GA)8YT], UBC849[(GT)8YA] and UBC858[(GT)8YA] (Zietkiewicz et at., 1994). Programs used for PCR and the yields of PCR products were assayed as above.
Fermentation and rate measurement
All fermentations were performed in line with a previous study (Zhang et at., 2015), using Vitis vinifera grape cv. Sauvignon blanc juice (collected from the Zhang-Ling vineyard in Mile, Yunnan, China and stored frozen), but the final total sugar concentration was increased to 20% by the addition of glucose. Sodium sulphite (2 mM) was added to the sweetened juice, after which it was sterilised by dimethyl dicarbonate (DMDC) treatment (Costa et at., 2008). Tubes containing 30 mL of juice were inoculated in triplicate with the yeast strains (including an S. cerevisiae strain, EC1118) and incubated at 30°C for 168 h. Fermentation progress was monitored by weight loss every 24 h.
Analysis of volatile compounds
The concentrations of volatile compounds, namely propanol, isobutanol and isoamyl alcohol, were measured with a Perichrom PR2100 GC fitted with a flame ionisation detector (Alpha MOS, Toulouse, France) as described by Mouret et at. (2014). Data were collected in Microsoft Excel 2007 (Microsoft, Redmond, WA) and compared using one-way ANOVA (Tamhane, 1977).
RESULTS
Seven relatively large single colonies were selected from each crossed combination, and a total of 21 colonies were obtained from the three different combinations. Sulphite tolerance tests revealed that seven of the candidate progenies could not grow in a medium containing sulphite. Since sulphite tolerance is dominant (Kutyna et at., 2012), these colonies were not likely to be hybrids (Fig. 1).
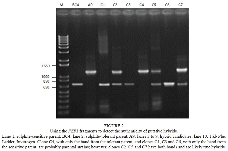
Subsequently, DNA-based molecular biology methods were used to determine which candidates were hybrids. The FZF1 gene is a transcription factor that regulates the expression of the SSU1 sulphite efflux pump and has been shown to be required for the sulphite tolerance of the A9 parent (Zhang et at., 2015). Amplification products of FZF1 gene primers differed between the sulphite-tolerant and sensitive parents. The sulphite-resistant parent A9 produced a band of about 1 020 bp, whilst the sensitive parents all produced a band of about 700 bp. It was concluded that colonies of a single band are not hybrids, whilst those with both parental bands are true hybrids. The results of PCR analysis with FZF1 primers of all 21 candidate progenies showed that there were seven colonies only with the sensitive parent band, four only with the tolerant band, and the other ten had both bands (1 020 bp and 700 bp) (Table 1). A portion of the gel is shown in Fig. 2.
The results of PCR analysis with the FZF1 gene primer could indicate the authenticity of the hybrids, but were unable to distinguish whether the different single colonies belonged to the same strain. Because Saccharomyces has the ability to produce clonality, there was a possibility that different single colonies of the same strain existed (Zhang et at., 2010b). In this study, the ISSR technique was employed to genotype the ten offspring strains of S. uvarum showing the two bands. The results of the analysis of the ISSRs using six primers showed that there were 55 clear and reproducible bands, including 32 polymorphic bands, that were amplified by the six primers. Among the six primers, one primer, UBC834, could amplify products that could distinguish all the different strains except for C5 and C7 (from BC4xA9) (Fig. 3). Of the ten sulphite-tolerant candidate hybrid colonies, the fingerprints of C5 and C7 (from BC4xA9) amplified by six primers were completely consistent, and they were therefore assumed to represent the same strain (Table 1). The UBC839 fingerprints of C11 and C14 (from BZL10xA9) (shown in Fig. 4) were also identical, but they differed from the bands produced by other primers, e.g. UBC 834 (shown in Fig. 3), and indeed they were not identical strains. In total, nine different sulphite-tolerant hybrid strains were identified by ISSR.
The selected hybrid candidate strains including the sulphite-tolerant parent A9 (Fig. 5), fermented very well at 30°C. There were only minor differences in fermentation performance among the nine S. uvarum hybrid candidate strains, with the two selected strains (C13 and C21) performing very similarly to A9 and the S. cerevisiae strain EC1118 (a commercial wine strain that is a very good fermenter). All strains produced carbon dioxide amounting to a total weight loss of more than 1.2 g per 30 mL of juice. Since the Sauvignon blanc juice contained 2 mM of sodium sulphite, the experiment therefore also confirmed that all the selected candidates were tolerant of sulphite. Furthermore, the three aroma compound productions of C13 were found to be the highest of the hybrids. Although the isoamyl alcohol production of C13 was slightly lower than that of BZL10, one of the parental strains, the productions of C13 by the other two aroma compounds was much higher than that of A9 and EC1118 (Table 2).
DISCUSSION
As Saccharomyces strains have similar microscopic morphologies, microscopy proved fruitless to differentiate different strains (Liu & Zhang, 2014). This study complements the findings of previous studies, as no obvious differences among the different hybrids could be visualised. Physiological and biochemical properties vary with the environment, so much so that even the same strain will show different biochemical properties under different physiological conditions (Liu & Zhang, 2014). Subsequently, traditional methods cannot accurately distinguish different hybrid strains, despite using diverse parental strains. In this study, using the combination of molecular methods, the accuracy of strain identification was significantly improved. The tolerant and sensitive parents and their hybrids could all be distinguished accurately, and the different hybrids could also be identified.
The FZF1 gene is the transcription factor of the SSU1, and the sulphite tolerance of S. cerevisiae has also been attributed to dominant alleles of transcriptional activator FZF1 and overexpression of wild-type FZF1 (Casalone et al., 1992; Yuasa et al., 2005; Engle & Fay, 2012). Previous results showed that there was an insertion of about 320 bp in FZF1 of the sulphite-tolerant S. uvarum isolated in New Zealand (Zhang et al., 2015). This FZF1 gene lies within an S. eubayanus introgression region on chromosome seven, and co-segregates with sulphite tolerance. However, although the FZF1 locus was required for tolerance, it suggested that an additional locus was required (Zhang et al., 2015). In this study there were length differences in FZF1 gene of the sulphite-tolerant and sensitive parents. This length difference was used as a marker to identify hybrids, combined with screening on sulphite-containing medium, and sulphite-tolerant S. uvarum hybrids were obtained.
In recent years, with the fast development of molecular biology, molecular marker techniques can be rapid and effective to identify strains or hybrids at the DNA level. Several molecular marker systems are now available for use for S. uvarum (Zhang et al., 2010c; 2015). Each marker system has its strengths and limitations, making the choice of marker an important decision. Inter-simple sequence repeats involve the use of microsatellite sequences as primers in a polymerase chain reaction to amplify regions in the genome flanked by microsatellite sequences to generate dominant multi-locus markers for the study of genetic variation in various organisms (Zietkiewicz et al., 1994; Debnath, 2009; Zhang et al., 2009). The ISSRs are simple to use, a quick and low-cost method that combines most of the advantages of SSRs, also known as microsatellites, and amplified fragment length polymorphism (AFLP) with the universality of random amplified polymorphic DNA (RAPD) (Ratnaparkhe et al.,, 1998). The ISSRs are helpful in studies in many fields of genetics, such as genetic diversity, phylogeny, evolutionary biology and so on (Zietkiewicz et al., 1994; Debnath, 2009; Wang et al., 2009; Zhang et al., 2009). Our results confirm that genotyping via ISSRs is very useful in distinguishing different hybrid strains of S. uvarum.
The medium and conditions are useful to study sulphite tolerance, but not to investigate the suitability of the hybrids for wine making, because S. uvarum are more cryotolerant than S. cerevisiae. Also, we demonstrated only the formation of three aroma compounds (higher alcohols) of the fermentation bouquet (Table 2), but other important aroma compounds like volatile thiols associated with Sauvignon blanc were not included. It is not representative and sufficient to compare the production of aroma compounds by parents and hybrids. Some hybrids had higher production of higher alcohols, although the sensory evaluation to confirm that wines also had improved aroma was not conducted. The suitability of the hybrids for wine production and the formation of metabolites should be studied in future research studies.
CONCLUSIONS
New sulphite-tolerant S. uvarum strains were successfully bred in this study, which laid a good foundation for further research and application. This was the first report on breeding sulphite-tolerant S. uvarum strains using crossing methods. The genes could be redistributed or rearranged by crossing, which makes it possible to improve S. uvarum fermentation characteristics by crossing. Two strains (C13 and C21) performed very well during fermentation, and the production of higher alcohols like propanol, isobutanol and isoamyl alcohol of C13 was highest among the selected hybrid strains.
LITERATURE CITED
Bashtannaya, 1970. Functional peculiarities of yeast races under conditions of primary wine-making of Moldavia and their life activity at low temperatures. Thesis, Moldavian Academy of Sciences, Kishinev (in Russian). [ Links ]
Casalone, E., Colella. C.M., Daly, S., Gallori, E., Moriani, L. & Polsinelli, M., 1992. Mechanism of resistance to sulfite in Saccharomyces cerevisiae. Curr. Genet. 22, 435-440. [ Links ]
Codon, A.C., Gasent-Ramirez, J.M. & Benitez, T., 1995. Factors which affect the frequency of sporulation and tetrad formation in Saccharomyces cerevisiae baker's yeast. Appl. Environ. Microbiol. 61, 630-638. [ Links ]
Costa, A., Barata, A., Malfeito-Ferreira, M. & Loureiro, V., 2008. Evaluation of the inhibitory effect of dimethyl dicarbonate (DMDC) against wine microorganisms. Food Microbiol. 25, 422-427. [ Links ]
Debnath, C.S., 2009. Development of ISSR markers for genetic diversity studies in Vaccinium angustifotium. Nord. J. Bot. 27, 141-148. [ Links ]
Doneche, B., 1993. Botrytized wines. In: Fleet, G.H. (ed.). Wine microbiology and biotechnology. Harwood Academic Publishers, Chur, Switzerland. pp. 327 - 351. [ Links ]
Engle, E.K. & Fay, J.C., 2012. Divergence of the yeast transcription factor FZF1 affects sulfite resistance. PLoS Genet. 8(6), e1002763. doi:10.1371/journal.pgen.1002763 [ Links ]
Kutyna, D.R., Varela, C., Stanley, G.A., Borneman, A.R., Henschke, P.A. & Chambers, P.J., 2012. Adaptive evolution of Saccharomyces cerevisiae to generate strains with enhanced glycerol production. Appl. Microbiol. Biotechnol. 93(3), 1175-1184. [ Links ]
Liu, X.Z. & Zhang, H.Y., 2014. Isolation and Identification of wine related yeasts in Kunming. J. Northwest A. & F. Univ. (Nat. Sci. Edn.) 42, 135-140. (In Chinese) [ Links ]
Liu, X.Z., Sang, M., Zhang, X.A., Zhang, T.K., Zhang, H.Y., He, X., Li, S.X., Sun, X.D. & Zhang, Z.M., 2017. Enhancing expression of SSU1 genes in Saccharomyces uvarum leads to an increase in sulfite tolerance and transcriptome profiles change. FEMS Yeast Res. 17, doi:10.1093/femsyr/ fox023. [Epub ahead of print] [ Links ]
Mouret, J.R., Camarasa, C., Angenieux, M., Aguera, E., Perez, M., Farines, V. & Sablayrolles, J.M., 2014. Kinetic analysis and gas-liquid balances of the production of fermentative aromas during winemaking fermentations: effect of assimilable nitrogen and temperature. Food Res. Int. 62, 1-10. [ Links ]
Nguyen, H.V., Legras, J.L., Neuvéglise, C. & Gaillardin, C., 2011. Deciphering the hybridisation history leading to the Lager lineage based on the mosaic genomes of Saccharomyces bayanus strains NBRC1948 and CBS380. PLoS One 6(10), e25821. doi:org/10.1371/journal.pone.0025821 [ Links ]
Pérez-Ortín, J.E., Querol, A., Puig, S. & Barrio, E., 2002. Molecular characterization of a chromosomal rearrangement involved in the adaptive evolution of yeast strains. Genome Res. 12(10), 1533-1539. [ Links ]
Rankine, B.C., 1972. Influence of yeast strain and malo-lactic fermentation on composition and quality of table wines. Am. J. Enol. Vitic. 23(4), 152-158. [ Links ]
Ratnaparkhe, M.B., Tekeoglu, M. & Muehlbauer, F.J., 1998. Inter-simple-sequence-repeat (ISSR) polymorphisms are useful for finding markers associated with disease resistance gene clusters. Theor. Appl. Genet. 97, 515-519. [ Links ]
Sipiczki, M., 2002. Taxonomic and physiological diversity of Saccharomyces bayanus. In: Ciani, M. (ed). Biodiversity and biotechnology of wine yeasts. Research Signpost, Kerala, India. pp. 53 - 69. [ Links ]
Sipiczki, M., 2008. Interspecies hybridization and recombination in Saccharomyces wine yeasts. FEMS Yeast Res. 8, 996-1007. [ Links ]
Tamhane, A.C., 1977. Multiple comparisons in model I one-way ANOVA with unequal variances [J]. Commun. Stat. Theor. M. 6(1), 15-32. [ Links ]
Taylor, S.L., Higley, N.A. & Bush, R.K., 1986. Sulfites in foods: Uses, analytical methods, residues, fate, exposure assessment, metabolism, toxicity, and hypersensitivity. Adv. Food Res. 30, 1-75. [ Links ]
Wang, S.D., Zhen, X.L. & Cheng, S.M., 2009. Analysis on genetic diversity of Auricutaria auricuta by ISSR marker. Hubei Agr. Sci. 48, 16-18. (In Chinese) [ Links ]
Yuasa, N., Nakagawa, Y., Hayakawa, M. & Iimura, Y., 2005. Two alleles of the sulfite resistance genes are differentially regulated in Saccharomyces cerevisiae. Biosci. Biotechnol. Biochem. 69, 1584-1588. [ Links ]
Zhang, H.Y., Richards, K.D., Wilson, S., Lee, S.A., Sheehan, H., Roncoroni, M. & Gardner, R.C., 2015. Genetic characterization of strains of Saccharomyces uvarum from New Zealand wineries. Food Microbiol. 46, 92-99. [ Links ]
Zhang, H.Y., Skelton, A., Gardner, R.C. & Goddard, M.R., 2010b. Saccharomyces paradoxus and Saccharomyces cerevisiae reside on oak trees in New Zealand: Evidence for global migration from Europe and hybrids between the species. FEMS Yeast Res. 10, 941-947. [ Links ]
Zhang, H.Y., Lee, S.A., Bradbury, J.E., Warren, R.N., Sheth, H., Hooks, D.O., Richards, K.D. & Gardner, R.C., 2010c. Yeasts isolated from New Zealand vineyards and wineries. Austr. J. Grape Wine Res. 16, 491-496. [ Links ]
Zhang, H.Y., Tian, K., Yu, Y., Li, L.Y. & Yang, Y.M., 2009. Genetic diversity among natural populations of Ottetia acuminata (Gaghep.) Dandy revealed by ISSR. Afr. J. Biotech. 8, 6089-6093. [ Links ]
Zhang, Y.J., Zhang, S., Liu, X.Z., Wen, H.A. & Wang, M., 2010a. A simple method of genomic DNA extraction suitable for analysis of bulk fungal strains. Lett. Appl. Microbiol. 51, 114-118. [ Links ]
Zietkiewicz, E., Rafalski, A. & Labuda, D., 1994. Genome fingerprinting by simple sequence repeat (SSR)-anchored polymerase chain reaction amplification. Genomics 20, 176-183. [ Links ]
Zimmer, A., Durand, C., Loira, N., Durrens, P., Sherman, D.J. & Marullo, P., 2014. QTL dissection of lag phase in wine fermentation reveals a new translocation responsible for Saccharomyces cerevisiae adaptation to sulfite. PLoS One 9(1), e86298. doi:10.1371/journal.pone.0086298 [ Links ]
Submitted for publication: October 2016
Accepted for publication: June 2017
Acknowledgements: This study was supported by grants from the National Natural Science Foundation of China (31360404), the Scientific Research Foundation for Returned Overseas Chinese Scholars, the State Education Ministry (212209), and the China Scholarship Council Fund (20155103). We thank Professor Richard C. Gardner of the University of Auckland, for providing the sulphite-tolerant strain A9 and critical reading of the manuscript. We also thank Professor Edward Louis of the University of Leicester, for revising the manuscript
* Corresponding author: Email address: hanyaoz@swfu.edu.cn











