Services on Demand
Journal
Article
Indicators
Related links
-
Cited by Google -
Similars in Google
Share
SA Journal of Radiology
On-line version ISSN 2078-6778Print version ISSN 1027-202X
S. Afr. J. radiol. (Online) vol.19 n.2 Johannesburg 2015
https://doi.org/10.4102/sajr.v19i2.888
PICTORIAL ESSAY
Aadil Ahmed
RSSA, Radiologist at Visser, Erasmus, Vawda & Partners, Port Elizabeth, South Africa
ABSTRACT
Radiologists are confronted with a spectrum of catheters placed in various locations in routine radiology practice and have to be familiar with the different catheters, their uses and acceptable positioning for suggested safe practice. The commonly used vascular and non-vascular catheters are described and discussed in this brief guide.
Introduction
The chest radiograph (CXR) plays an important role in assessing patients in intensive care units (ICU). It is the most common radiological investigation due to its value in diagnosing cardio-respiratory disease. An abdominal radiograph (AXR) commonly accompanies the CXR in evaluating the neonate in ICU. The CXR and AXR are also extremely useful and important for evaluating the position of various lines and tubes.
The American College of Radiology (ACR) recommends a CXR immediately following placement of indwelling tubes, catheters and other devices to check their positions and detect procedure- related complications.1
Umbilical catheters
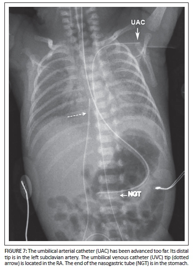
Umbilical venous catheter (UVC)
Uses: These are commonly used for vascular access during the neonatal period. The UVC allows for the infusion of hypertonic solutions, total parenteral nutrition and emergency access for fluids, drugs and blood products. It is directed into the umbilical vein.
A developmental foetal remnant - the ductus venosus - connects the umbilical vein to the inferior vena cava (IVC). The portal sinus connects the umbilical vein to the portal vein. This connection allows for anomalous positioning of the UVC within the portal vein. The normal neonatal anatomy is demonstrated in Figure 1.

There is a higher incidence of congenital defects associated with umbilical vein variations. If such a variation is detected, the neonate should be investigated for other congenital abnormalities.2
The objective is to place the UVC above the diaphragm, at the entrance to the right atrium. Despite their common use, UVCs are still frequently malpositioned.
Anomalous positions
Below the diaphragm: umbilical vein, portal vein, hepatic vein.
Above the diaphragm: through a patent foramen ovale or an atrial septal defect (ASD) into the left atrium, pulmonary vein, superior vena cava (SVC), internal jugular vein (Figure 2 and Figure 3).3


Complications
Below the diaphragm: Perforation of intrahepatic vascular wall - the formation of hepatic haematoma, and even abscess formation (Figure 4a and Figure 4b). The UVC positioned within the portal venous system predisposes the patient to thrombus formation.
Above the diaphragm: Perforating the atrial wall and entering the pericardial space may lead to cardiac tamponade.4 When the UVC passes through a patent foramen ovale or ASD or through the tricuspid valve into the right ventricle, this can lead to cardiac arrhythmias. Other complications include pulmonary infarction and thrombotic endocarditis.5
Umbilical arterial catheter (UAC)
Uses: A UAC is used in blood sampling, arterial blood gas sampling, the administration of intravenous fluids and drugs, checking blood pressure, and in exchange transfusions.
Umbilical arteries are the direct continuation of the internal iliac arteries. The UAC initially courses caudally, and then passes cranially into the aorta via the internal and common iliac arteries. It has a posterior course compared to the more anterior location of the UVC (Figure 5).

The optimum position of the UAC is either above or below the visceral branches of the aorta.3,6 It should not be in a branch of the aorta as it can block the vessel. High lines have their tips positioned between T6-10 and low lines have their tips between L3-5.3
The high position is favoured since it leads to fewer vascular complications.
Anomalous positions: Occasionally, the UAC can pass into the femoral or gluteal arteries. It can also pass into a branch of the aortic arch, for instance the common carotid artery or subclavian artery (Figure 6).


Complications
Complications include infection, thrombosis, air embolism, perforation and bleeding.3,6
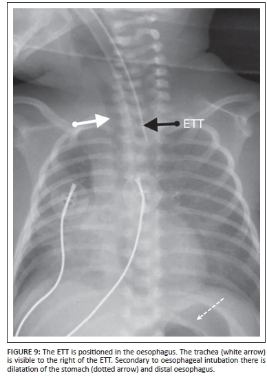
Endotracheal tube (ETT)
Uses: The ETT is inserted for ventilatory support and it also prevents aspiration. The ETT should be placed halfway between the thoracic inlet and the carina or 1.5 vertebral bodies above the carina.6
Complications
The most common complication is selective intubation of the bronchus (Figure 8a and Figure 8b). This results in collapse/ atelectasis of the contralateral lung. If the patient is on a ventilator, the ipsilateral lung can become hyperinflated, leading to pneumothorax or tension pneumothorax. Another serious complication is inadvertent oesophageal intubation (Figure 9).1 This complication is mostly diagnosed clinically and can be detected radiographically by an air-filled esophagus, over distended stomach and no ETT in the trachea. There are also other complications related to long-term intubation.

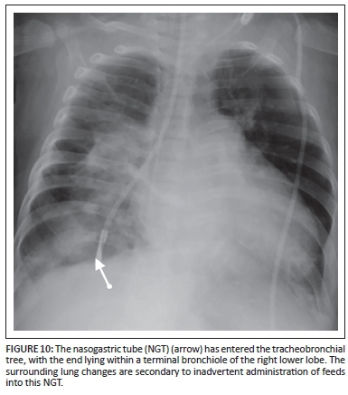
Nasogastric tube (NGT)
Uses: The NGT is inserted for the aspiration of gastric contents, gastric decompression or feeding the patient. The tip should lie within the stomach.
Complications
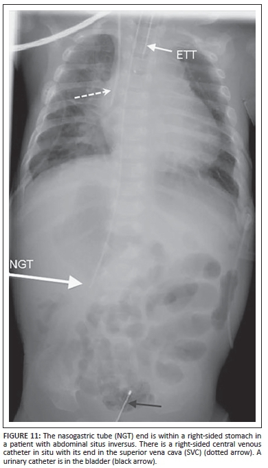
The NGT can be misplaced in the tracheobronchial tree (Figure 10). Perforation of the oesophagus or stomach is extremely uncommon, but can occur, particularly in premature infants.7 A coiled NGT in a proximal oesophageal pouch is important to recognise in oesophageal atresia.2 In neonates with left-sided congenital diaphragmatic hernia, the NGT tip is most commonly positioned at the gastro-oesophageal junction or within the left hemithorax. An NGT deviating to the right is seen in a patient with heterotaxy syndrome and abdominal situs (Figure 11).


Ventriculo-peritoneal shunt (VPS)
Uses: VPS's are used to relieve hydrocephalus. The peritoneum is commonly used because it is an efficient site of absorption.8
Complications
Shunt malfunction/complications are common. The leading cause of shunt malfunction is mechanical failure. Other complications include infections and overdrainage.
Causes of mechanical failure: These include obstruction, migration, leakage, disconnection, improper placement and cerebrospinal fluid pseudocysts. An obstructed VP shunt will lead to increasing ventricular size, as diagnosed on a CT/MRI scan. Ultrasonography (US) or CT may be helpful in the diagnosis of abdominal CSF pseudocysts.
Occlusion accounted for about 50% of shunt complications in one paediatric series. It occurs more at the ventricular end than at the peritoneal end.8
Disconnection/fracture is the second most common cause of mechanical shunt failure. The neck and scalp are common sites. An X-ray shunt series (skull AP and Lateral, Chest AP, Abdomen AP views) can be done to determine the location of the break.
Shunts can be improperly positioned at the level of the ventricles or within the peritoneum (Figure 12a and Figure 12b); similarly, shunt migration can occur at both ends. Within the abdomen, the viscera can also be perforated by the shunt.
Others
Intercostal drains: These are used for drainage of a pneumothorax or effusion. All the holes of the drain should be within the pleural space1 (Figure 13). The tube should ideally be inserted in the midaxillary line via the 4th-6th intercostal spaces. It should be lying apico-anterior in patients with a pneumothorax.

The peripherally inserted central catheter (PICC) is inserted into peripheral limb veins, with the end lying in the distal SVC or at the cavo-atrial junction. Common complications are related to insertion and malpositioning (Figure 14). Correctly positioning it is important for the administration of certain intravenous medications.

Other venous catheters include dialysis catheters and chemotherapy ports. These can be malpositioned or become occluded by thrombus and fibrin sheaths (chemotherapy ports).
The transpyloric tube is similar to the NGT, except that it is longer and its end is sited distal to the pylorus (proximal to ligament of Treitz). It is used for feeding.
Reploggel suction catheters are used in patients with oesophageal atresia to remove saliva from the blind ending oesophageal pouch. The markings of a Reploggel tube form a dashed line, and help to differentiate it from the ETT (Figure 15).

Acknowledgements
Competing interests
The authors declare that they have no financial or personal relationships which may have inappropriately influenced them in writing this article.
References
1. Jain SN. A pictorial essay: Radiology of lines and tubes in the intensive care unit. Indian J Radiol Imaging. 2011;21(3):182-190. PMID: 22013292, http://dx.doi.org/10.4103/0971-3026.85365 [ Links ]
2. Ahmed A, Pitcher G. Umbilical vein variation - Case of an umbilical vein draining into the portal venous system. S Afr J Radiol. 2007;11:4. http://dx.doi.org/10.4102/sajr.v11i2.49 [ Links ]
3. Narla LD, Hom M, Lofland GK, Moskowitz WB. Evaluation of umbilical catheter and tube placement in premature infants. Radiographics. 1991;11:849-863. PMID:1947320, http://dx.doi.org/10.1148/radiographics.11.5.1947320 [ Links ]
4. Van Niekerk M, Kalis NN, Van der Merwe PL. Cardiac tamponade following umbilical vein catheterization in a neonate. S Afr Med J. 1998;88(Suppl. 2):C87-90. PMID: 9595002. [ Links ]
5. Schlesinger AE, Braverman RM, DiPietro MA. Neonates and umbilical venous catheters: Normal appearance, anomalous positions, complications, and potential aid to diagnosis. Am J Roentgenol. 2003;180:1147-1153. PMID: 12646473, http://dx.doi.org/10.2214/ajr.180.4.1801147 [ Links ]
6. Engelbrecht MR, Blickman JG. The acute pediatric chest. Appl Radiol. 2004;33:26. [ Links ]
7. Batra P. Radiology of monitoring devices. In Syllabus for thoracic imaging 2001, the annual meeting of the Society of Thoracic Radiology. 2001; p. 202-204. [ Links ]
8. Goeser CD, McLeary MS, Young LW. Diagnostic imaging of ventriculoperitoneal shunt malfunctions and complications. Radiographics. 1998;18:635-651. PMID:9599388, http://dx.doi.org/10.1148/radiographics.18.3.9599388 [ Links ]
Correspondence:
Aadil Ahmed
PO Box 10517, Linton Grange 6015
Port Elizabeth, South Africa
Email: aadil.a@bayradiology.co.za
Received: 06 June 2015
Accepted: 11 Aug. 2015
Published: 27 Nov. 2015
Appendix 1: Self-test Questions
Where is the line/tube?



Answers self-test questions
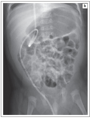
a. The NGT is coiled in the oesophageal pouch in a patient with oesophageal atresia and a tracheo-oesophageal fistula. There is an anomalous connection between the umbilical vein and the superior mesenteric vein (SMV). Surgery confirmed the absence of the ligamentum venosum. The UVC deviates to the left and is lying in the SMV. There are also thoracic and sacral vertebral body abnormalities, 13 ribs on the right and 12 on the left. This child also had cardiac, anorectal and radial abnormalities in keeping with a VACTERL association.
b. A VPS is passing into the right scrotal sac via the patent processus vaginalis.
c. This dialysis catheter was inserted into the left subclavian vein. The patient has a persistent left SVC which drains into the coronary sinus. The catheter has entered the right atrium via the coronary sinus. This was confirmed with an
MRI of the chest.











