SciELO - Scientific Electronic Library Online

 
vol.114 issue11 author indexsubject indexarticles search
Home Pagealphabetic serial listing  

Services on Demand

Journal

Article

Indicators

    Related links

    • On index processCited by Google
    • On index processSimilars in Google

    Share


    SAMJ: South African Medical Journal

    On-line version ISSN 2078-5135Print version ISSN 0256-9574

    SAMJ, S. Afr. med. j. vol.114 n.11 Pretoria Nov. 2024

    https://doi.org/10.7196/SAMJ.2024.v114i11.2034 

    IN PRACTICE

     

    Histopathological assessment of AIDS-defining malignancies in the gastrointestinal tract presenting with acute abdomen: Improving diagnostic timeliness and patient care

     

     

    M C KhabaI, II; N E MothataIII, IV; M O KeetseIII, IV; T SumbanaV, VI

    IMD, FCPath (SA) Anat; Department of Anatomical Pathology, Dr George Mukhari Tertiary Laboratory, National Health Laboratory Services, Ga-Rankuwa, South Africa
    IIMD, FCPath (SA) Anat; Sefako Makgatho Health Sciences University, Ga-Rankuwa, South Africa
    IIIMB ChB; Department of Anatomical Pathology, Dr George Mukhari Tertiary Laboratory, National Health Laboratory Services, Ga-Rankuwa, South Africa
    IVMB ChB; Sefako Makgatho Health Sciences University, Ga-Rankuwa, South Africa
    VMB ChB, FCS (SA); Department of General Surgery, Colorectal Unit, Dr George Mukhari Academic Hospital, Ga-Rankuwa, South Africa
    VIMB ChB, FCS (SA); Sefako Makgatho Health Sciences University, Ga-Rankuwa, South Africa

    Correspondence

     

     


    ABSTRACT

    BACKGROUND. While a large number of cases in an HIV setting may be attributed to infections, there has also been a rise in HIV-associated malignancies such as Kaposi sarcoma and aggressive B-cell lymphoma. Good clinical outcomes have been attributed to timely clinicopathological diagnosis of these malignancies.
    OBJECTIVE. To describe the clinicopathological features of cases with acute abdomen secondary to AIDS-defining malignancy in the gatrointestinal tract.
    METHOD. This is a retrospective analysis of all cases presenting with acute abdomen and histologically diagnosed AIDS-defining malignancies of the gastrointestinal tract over a period of 8 years in our centre. Clinicopathological characteristics were retrieved from the laboratory information system. Archived haematoxylin and eosin-stained sections and immunohistochemical stains were reappraised.
    RESULTS. A total of 13 cases, which consisted of 5 males and 8 females, with an average age of 35 years formed the study sample. All the patients were HIV-positive on antiretroviral therapy, and presented with acute abdomen. Intraoperatively, there were five intussusceptions, three strictures, three perforated tumours and two luminal occlusions. Histopathology confirmed five cases of Kaposi sarcoma and eight cases of high-grade B-cell lymphomas. Two patients with high-grade B-cell lymphomas died after surgical intervention.
    CONCLUSION. Expedited histopathological assessment of bowel resection in HIV-infected patients could improve clinical outcomes with early treatment.

    Keywords: acute abdomen, Kaposi sarcoma, B-cell lymphoma, HIV/AIDS, gastrointestinal tract


     

     

    Antiretroviral therapy (ART) has prolonged the lifetimes of patients infected with HIV. Despite notable advancements in HIV and AIDS treatment, particularly in enhancing the T cell CD4 level, the prevalence of AIDS-related malignancies remains high. HIV/AIDS-associated malignancy includes non-Hodgkin B-cell lymphoma, Kaposi sarcoma and squamous cell carcinoma of the cervix. Both Kaposi sarcoma and non-Hodgkin B-cell lymphoma have been reported to affect the gastro-intestinal tract (GIT), and may present as acute abdomen.[1-4] In these cases, acute abdomen may be due to complications such as intussusception, perforation and luminal obstruction, among other possibilities. The GIT serves to maintain balance between immune tolerance and rapid responsiveness. It also serves as a major site of HIV infection due to its lymphoid component. Patients often present symptoms such as abdominal pain or cramping, diarrhoea, nausea and vomiting.[1] Timely and expeditious diagnosis, coupled with appropriate treatment, has the potential to enhance the prognosis in such instances.

    This article presents a comprehensive account of the clinicopathological features of cases with AIDS-defining malignancy in the GIT, and stresses the importance of expedited histopathological assessment to improve patient outcomes.

     

    Methods

    This was a retrospective analysis of all AIDS-defining malignancies involving the GIT that caused acute abdomen and underwent bowel resection from 1 January 2012 to 31 December 2022, in a tertiary laboratory in northern Pretoria, South Africa (SA). Departmental and hospital records of these patients were accessed, where available, to record demographic and clinical details (sex, race, HIV status, CD4+ T-lymphocyte count, biopsy site, treatment, outcome). Archived haematoxylin and eosin (H and E) stained sections and immunohistochemical stains (IHC) were reappraised. In cases where slides were not available, archived formalin-fixed paraffin embedded blocks were retrieved and processed for H and E and IHC as per the departmental standard operating procedure.

    Ethical considerations

    Ethics approval was granted by the Sefako Makgatho Health Sciences University research ethics committee (ref. no. SMUREC/M/288/2021). Patient confidentiality was maintained by each record being given a study number, and no personal identifying information was recorded.

     

    Results

    A total of 13 cases, consisting of 5 Kaposi sarcoma and 8 high-grade non-Hodgkin B-cell lymphoma were retrieved and appraised.

    Clinical features

    The study consisted of four male and nine female patients of black African ethnicity, with a mean age of 35 years (range 5 - 63). All patients had been diagnosed with HIV and were on ART. The CD4 T-lymphocyte count was available for only six cases (10, 218, 212, 279, 13 and 10 cells/mm3). All 13 patients displayed symptoms and signs of acute abdomen, such as vomiting, nausea and generalised abdominal pain that intensified with palpation.

    Laparotomy and gross pathology findings

    Kaposi sarcoma

    During the laparotomy procedure, of the five cases, one case showed intussusception, three cases showed strictures and one case showed luminal occlusion caused by an exophytic tumour. The most affected site was the ileum (three cases), while there was one case each of ileocaecum and colon as the site. All the strictures involved the ileum; intussusception was observed in the ileocaecal region, and luminal occlusion by the tumour was noted in the colon. The dimensions of the tumour varied between 10 mm and 70 mm, with a mean size of 39 mm.

    High-grade lymphoma

    During the laparotomy procedure, there were four cases with intussusception (Fig. 1), three cases with perforated tumours and one case with luminal occlusion caused by an exophytic tumour. The affected sites were the ileocaecum and colon, with four cases in each. All cases of intussusception were observed in the ileocaecum, and four cases in the colon, where three were perforated and one non-perforated (luminal occlusion). The size of the tumour ranged between 10 mm and 110 mm, with an average of 64 mm.

     

     

    Microscopy

    Kaposi sarcoma

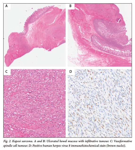
    All five cases showed vasoformative spindle cell proliferation within the lamina propria extending into the muscularis propria. The tumour cells were arranged in short interlacing fascicles with vascular dissection. Haemosiderin pigment and a lymphoplasmacytic infiltrate were noted. In all cases, the tumour cells showed diffuse and strong nuclear positivity for human herpes virus 8 (HHV8) (Fig. 2).

     

     

    High-grade B-cell lymphoma

    The histopathological appraisal of the cases was performed according to the 2022 updated 5th edition of the World Health Organization (WHO) classification of haematolymphoid tumours.[5] Microscopically, the small bowel and colonic tissue showed a lymphoid infiltrate composed of tumour cells ranging from intermediate to large, with eosinophilic and amphophilic cytoplasm and pleomorphic nuclei in one, and multiple nucleoli. The proliferative index ranged from 85 to 100%. In all the cases, the tumour cells were positive for CD20 and CD45, while CD3 was negative. Epstein-Barr virus (LMP1) was positive in 2/8 cases. Based on the Hans algorithm (BCL6, CD10 and MUM-1), there were four germinal centre (GC) and four non-germinal centre (NGC) phenotypes.[6] The final diagnosis was two Burkitt's lymphomas and six diffuse large B-cell lymphomas (DLBCL) (Fig. 3).

     

     

    Treatment and outcome

    Two patients diagnosed with DLBCL died immediately after laparotomy. However, due to the retrospective nature of this study, clinical data regarding treatment decisions, treatment response and treatment outcomes were not accessible for other cases.

     

    Discussion

    The GIT plays an important role in the pathogenesis of HIV and subsequent clinical manifestations. Prior to the advent of ART, gastrointestinal illnesses had a significant role in the morbidity and mortality rates linked with HIV/AIDS. The prospect of gastrointestinal pathology depends on the degree of immunosuppression, which is associated with a CD4+ count that is anticipated to be <350 cells/ μL. Moreover, the CD4+ count also affects the nature and severity of the disease.[7]

    Due to the diverse possible causes of abdominal pain in HIV/ AIDS, it is usually difficult to ascertain the cause, and this therefore constitutes a diagnostic challenge for the attending clinicians, with subsequent targeted treatment delays.[8] The range of gastrointestinal diseases in people living with HIV is extensive, encompassing both infectious and non-infectious conditions, including malignant tumours. In individuals with AIDS, common infections include cytomegalovirus and tuberculosis, while tumours that may occur include Kaposi sarcoma, non-Hodgkin lymphoma and squamous cell carcinoma of the anus. Among these patients, the gastrointestinal system may be the sole system impacted, leading to a presentation solely involving this system. However, it is also possible that it indicates an illness affecting many organs or the entire body.[8,9]

    Kaposi sarcoma

    Kaposi sarcoma is a multicentric and angioproliferative tumour caused by HHV8, and comprises ~60% of all malignancies and 40% of gastrointestinal cancers in individuals diagnosed with AIDS.[10,11]

    The gastrointestinal system is frequently observed as an extracutaneous location, but it often presents with minimal or absent symptomatology.[12]

    The GIT commonly exhibits involvement in the stomach and small bowel, while the oesophagus and colon are infrequently impacted.[11,13] While it is well observed that GIT lesions are typically linked to skin lesions, it is important to note that a lack of skin lesions does not always exclude the possibility of gastrointestinal Kaposi sarcoma.[11] The presence of cutaneous lesions in the patients in this study was uncertain, due to the limited clinical information provided for pathology assessment.

    Despite the existence of numerous studies examining Kaposi sarcoma in a broad context, there is a paucity of research specifically investigating it in the gastrointestinal domain. A literature search revealed few case reports and series that explicitly examine gastrointestinal Kaposi sarcoma within the southern African region.[12,14,15] Given the elevated incidence of HIV/AIDS in the sub-Saharan region, it would be reasonable to anticipate a substantial body of literature pertaining to this topic. However, the limited number of reported cases and publications on this topic may be attributed to the fact that GIT cases are often asymptomatic in the majority of instances, or it may be due to the widespread implementation of ART, which has led to a decrease in HIV/AIDS sequelae, such as Kaposi sarcoma, since ART potentially decreases the proportion of lesions. Furthermore, there have been suggestions that AIDS-related Kaposi sarcoma does not manifest in individuals who are on ART, and may even exhibit regression upon initiation of ART. This phenomenon is believed to be attributed to the influence of immunosuppression levels on the progression of AIDS-Kaposi sarcoma.[10,12,15] Currently, there is a lack of international guidelines pertaining to the proactive pursuit of systemic disease, an exercise that may be costly. In general, the identification of gastrointestinal compromise tends to occur fortuitously rather than as a result of a patient explicitly suspecting its existence.[10]

    Patients who have a significant amount of cutaneous AIDS-Kaposi sarcoma lesions should typically expect to experience gastro-intestinal involvement,[16] but they often do not exhibit any symptoms. Nevertheless, some individuals may exhibit symptoms such as stomach pain, diarrhoea, nausea or vomiting. In addition, a majority of patients seek medical attention at emergency departments as a result of complications, including gastrointestinal bleeding (specifically melaena, haematochezia and haematemesis), as well as acute abdomen caused by bowel obstruction, perforation, peritonitis and intussusception.[8,11,13]

    The majority of patients require surgical intervention as a result of complications such as intestinal haemorrhage, bowel perforation, or obstruction. Notably, bowel obstruction may arise due to luminal occlusion blockage induced by the presence of a tumour, strictures or intussusception.[10,12,14,15] According to Jiménez et al.[10] and Borowski et al.,[12] stricture caused by Kaposi sarcoma is rare as the cause of bowel obstruction.[10,12] However, stricture due to Kaposi sarcoma was found to be the most common cause in this study, followed by luminal occlusion and intussusception.

    A stricture is caused by repeated cycles of continued inflammation and healing in the lining of the intestine, where a scar tissue can replace the normal cells. Within the GIT, Kaposi sarcoma may present as an ulcer, which may heal by scarring, with subsequent narrowing of the GIT.

    Intussusception in adults is commonly caused by a malignant tumour, especially adenocarcinoma. However, in this study, intussusception was caused by Kaposi sarcoma, for which the clinician should maintain a high index of suspicion in HIV-infected individuals. Although other researchers have reported intussusception in adults caused by Kaposi sarcoma, Ramdial et al.[15] reported six cases in a paediatric population, which was the largest cohort to date. Apart from intussusception, the polypoid presentation of Kaposi sarcoma in the GIT may also cause luminal occlusion as they grow bigger.

    Microscopically, it is important to exclude other spindle cell lesions/tumours that may affect the GIT, whether in HIV-infected or non-infected individuals. Some of the differential diagnoses to consider include gastrointestinal stromal tumour, leiomyoma/leiomyosarcoma, Epstein-Barr virus-associated smooth muscle tumours, inflammatory fibroid polyp, and lastly, pseudotumour caused by tuberculosis. The detection of positive HHV8 stain is crucial to confirm the diagnosis and profiling of Kaposi sarcoma, and therefore excludes all the above pathologies.[16,17] However, it is important for the pathologist to engage with the attending clinician and discuss potential diagnoses based on the initial histopathological assessment. In HIV-positive patients, Kapo si sarcoma should be considered a top possibility, even without the presence of HHV8 stain. This would allow the clinician to anticipate and prepare for the potential care of these cases.

    Kaposi sarcoma in the context of HIV/ AIDS has a particularly unfavourable prognosis due to its rapid progression and typically deadly outcome.[10] While ART alone may be adequate for treating localised illness, cases involving several sites and internal organs may require a combination of ART, surgery and chemotherapy.[10,11] This may be dependent on the spread of the disease, as well as the symptoms observed in the patient. Initiating ART is crucial for all recently diagnosed HIV patients. However, people who are already receiving ART and/or individuals who have stopped treatment and have advanced Kaposi sarcoma may require systemic chemotherapy. It is important to note that surgery is not curative, though it plays a crucial role in alleviating problems such as bowel obstruction or gastrointestinal bleeding. Additionally, it is essential for obtaining a specimen for histological examination.[10,12]

    Lymphoma

    Primary gastrointestinal lymphomas account for ~1 - 8% of all gastrointestinal malignancies globally. They are the prevalent form of extranodal lymp o a, and comprise 30 - 40% of extranodal lymphomas and ~5 - 20% of non-Hodgkin lymphomas.[18,19] Most gastrointestinal lymphomas are derived from B-cells, while T-cell-derived lymphomas make up ~8 - 10% of cases. The predilection of extranodal lymphoma towards the GIT) may be attributed to the abundance of lymphoid tissue in the GIT, which is responsible for its immunological functions.[19]

    The mean age for development of gastrointestinal lymphoma is 50 years, with male predominance. Males are two to three times more likely to be affected.[20] However, a study conducted by Mwazha et al.[18] focused on gastrointestinal plasmablastic lymphoma and found that the average age of the participants was 41 years, with a higher number of males. The present study may be unique in its reporting of gastrointestinal lymphoma within our specific context, although with a specific focus on the plasmablastic subtype.

    Less than 5% of the paediatric population is impacted. The most extensive study conducted on the paediatric population in SA was carried out by Kriel et al.,[21] which included 68 cases over a span of 10 years. In comparison, Padayachee et al.[22] reported 59 paediatric cases over a period of 6 years. Both of these investigations focused on paediatric lymphoma in general, rather than specifically on gastrointestinal lymphoma. However, Vaubell et al.[23] conducted a study on paediatric gastrointestinal lymphoma, although their research was limited in scope as it only investigated plasmablastic lymphoma, rather than examining gastrointestinal lymphoma as a whole.

    Patients with gastrointestinal lymphomas tend to exhibit vague abdominal pain, vomiting, diarrhoea and loss of weight, as well as complications such as gastrointestinal haemorrhage, perforations and bowel obstruction.[24]

    Radiological imaging of the abdomen, such as ultrasound, computed tomography and magnetic resonance imaging usually show obstructive mass. However, the radiological features can resemble those of both benign and malignant disorders.[25,26]

    Gastrointestinal lymphomas present as superficial, mass-forming, diffuse infiltrating, fungating and ulcerative lesions on endoscopy and gross examination. Additionally, an increase in the thickness of the mucosa may be observed.[19]

    The stomach is the primary site of involvement within the GIT, followed by the small intestine. In contrast, the colorectal s ite is infrequently impacted.[24]

    Lymphoid neoplasms are categorised according to the 2022 updated 5th edition of the WHO classification of haematolymphoid tumours.[5] The diagnosis is based on microscopic and immunohistochemical assessment, including molecular tests using fluorescence in-situ hybridisation or polymerase chain reaction analysis. The majority of these tumours exhibit the expression of CD45 and B-cell markers, including CD20 and PAX-5. Nevertheless, plasmablastic lymphoma, despite being a kind of B-cell lymphoma, does not exhibit these characteristics. The markers CD10, bcl-2, bcl-6 and MUM-1 are utilised to categorise high-grade B-cell lymphoma into germinal centre post-germinal centre and activated subtypes, following the Hans criteria.[27] Similarly, in lymphoma, the initial histopathological examination can impact the prognosis of the patient's condition. High-grade B-cell lymphoma is a malignant tumour that can benefit from an initial dose of rituximab if the lymphoma is CD20 positive. After providing the initial diagnosis, the pathologist can promptly conduct additional immunohistochemistry tests and apply molecular techniques to confirm the ultimate diagnosis of the tumour.

    The Lugano staging system (LSS) is used to determine the clinical stage of the disease, and offers valuable information regarding the prognosis.[28] The LSS looks at the location of the tumour within the GIT, including lymph node involvement and location.

    The therapeutic approach for gastrointestinal lymphoma is influenced by various aspects, including the patient's age, clinical condition, histological subtype, disease severity and burden and any existing comorbidities. Treatment options for gastrointestinal lymphomas include radiation therapy, chemotherapy, immunotherapy and surgical excision.[20,25,26]

    Chemotherapy continues to be the principal treatment method for the majority of lymphoma cases. Tumours that grow quickly, such as diffuse large-cell lymphomas, exhibit a favourable response to chemotherapy.[20,26] Radiotherapy alone is inefficient for gastrointestinal lymphomas; therefore it is commonly used in combination with other therapeutic modalities. Radiation is employed as an adjuvant to enhance the probability of achieving local control. Non-invasive treatment is highly effective, making surgery unnecessary except for those experiencing consequences of lymphoma such as perforation and significant bleeding.[26]

    Limitations

    This study's retrospective nature prevented a comprehensive evaluation of all patient clinical files. Therefore, it was not feasible to fully evaluate the blood investigation, including the CD4 T-lymphocyte count, treatment options and outcomes of the remaining patients.

     

    Conclusion

    Gastrointestinal malignancies associated with HIV/AIDS are highly demanding and aggressive tumours, but they have a favourable prognosis if detected early. Early detection and accurate histopathology increase the chance of effective treatment.

    Timely communication with attending clinicians upon receiving the specimen from these patients is crucial to ensure optimal outcomes for these patients. Also, clinicians should exercise heightened vigilance when encountering HIV-positive patients who report with acute abdominal symptoms.

    Data availability. All relevant data are included in the article. The original data cannot be shared because of privacy concerns. Any additional information regarding data access can be discussed with the corresponding author.

    Declaration. None.

    Acknowledgements. The authors acknowledge the Department of Anatomical Pathology staff, Dr George Mukhari Academic Laboratory, and NHLS management.

    Author contributions. MCK conceptualised the study, collected data and wrote the first draft. MCK, NEM, MOK and TS reviewed the data and provided input to finalise the manuscript. All authors were involved in the literature review and writing. All authors have read and agreed to the published version of the manuscript.

    Funding. None.

    Conflicts of interest. None.

     

    References

    1. Tonolini M, Bianco R Acute HIV-related gastrointestinal disorders and complications in the antiretroviral era: Spectrum of cross-sectional imaging findings. Abdom Imaging 2013;38(5):994-1004. https://doi.org/10.1007/s00261-013-9982-y        [ Links ]

    2. Basso MP, Christiano AB, Guerrer LV, Gonçalves-Filho F de A, Netinho JG. Non-Hodgkin lymphoma as a cause of acute intestinal obstruction/perforation in patients with adenocarcinoma of the sigmoid colon: A case report. J Coloproctol 2011;31(4):378-381. https://doi.org/10.1590/s2237-93632011000400010        [ Links ]

    3. Adhikari S, Hossein M, Das A, Mitra N, Ray U. Etiology and outcome of acute intestinal obstruction: A review of 367 patients in Eastern India. Saudi J Gastroenterol 2010;16(4):285-287. https://doi.org/10.4103/1319-3767.70617        [ Links ]

    4. Kinkade Z, Esan OA, Rosado FG, Craig M, Vos JA. Ileal mucosa-associated lymphoid tissue lymphoma presenting with small bowel obstruction: A case report. Diagn Pathol 2015;10(1):1-7. https://doi.org/10.1186/s13000-015-0353-6        [ Links ]

    5. Li W. World Health Organization Classification of Hematolymphoid Tumors. Leukemia. 5th ed. WHO, 2022:1-21. https://doi.org/10.36255/exon-publications-leukemia-who-5th-edition-hematolymphoid-tumors        [ Links ]

    6. Irawan C, Iskandar M, Harahap AS, Rumende CM, Ham MF. MUM1 expression versus Hans algorithm to predict prognosis in Indonesian diffuse large B-cell lymphoma patients receiving R-CHOP. Cancer Manag Res 2022;14(March):925-935. https://doi.org/10.2147/CMAR.S345745        [ Links ]

    7. Knox TA, Wanke C. Gastrointestinal manifestations of HIV and AIDS. Goldman Cecil Med 2012;2:2196-2199. https://doi.org/10.1016/B978-1-4377-1604-7.00397-3        [ Links ]

    8. Sheikh RA, Yasmeen S, Prindiville TP, Ruebner BH. Intestinal perforation and peritonitis in AIDS: Case series and review of the literature. JK Pract 2004;11(4):248-256.         [ Links ]

    9. Renn A, Kazmi F, Khan N, Rawal B, O'Boyle E. The HIV manifestations within the gastrointestinal tract: A pictorial review. S Afr J Radiol 2017;21(2):1-5. https://doi.org/10.4102/sajr.v21i2.1233        [ Links ]

    10. Jiménez K, Martínez JD, Hernández G, et al. Three varieties of Kaposi's sarcoma with gastrointestinal involvement. Rev Colomb Gastroenterol 2015;30(3):342-346. https://doi.org/10.22516/25007440.59        [ Links ]

    11. Nidimusili AJ, Eisa N, Shaheen K. Gastrointestinal Kaposi's sarcoma presenting as ileocolic intussusception. N Am J Med Sci 2013;5(11):666-668. https://doi.org/10.4103/1947-2714.122313        [ Links ]

    12. Borowski DW, Lyeshchuk Y. Two sides of one coin: Pan-gastrointestinal Kaposi sarcoma presenting with small bowel intussusception and severe gastrointestinal haemorrhage. S Afr J Surg 2021;59(2):68A-68B. https://doi.org/10.17159/2078-5151/2021/v59n2a3215        [ Links ]

    13. Halankar J, Martinovic E, Hamilton P. Kaposi's sarcoma presenting as acute small bowel obstruction diagnosed on multidetector computed tomography with histopathological correlation. Case Rep Radiol 2015:581470. https://doi.org/10.1155/2015/581470        [ Links ]

    14. Patel N, Naidoo P, Mosiane P, Jann-Kruger C. HIV/AIDS-associated Kaposi's sarcoma of the gastrointestinal tract: A pictorial spectrum. S Afr Med J 2016;106(10):986-987. https://doi.org/10.7196/SAMJ.2016.v106i10.11277        [ Links ]

    15. Ramdial PK, Sing Y, Hadley GP, Chotey NA, Mahlakwane MS, Singh B. Paediatric intussusception caused by acquired immunodeficiency syndrome-associated Kaposi sarcoma. Pediatr Surg Int 2010;26(8):783-787. https://doi.org/10.1007/s00383-010-2625-2        [ Links ]

    16. Arora M, Goldberg EM. Kaposi sarcoma involving the gastrointestinal tract. Gastroenterol Hepatol 2010;6(7):459-462.         [ Links ]

    17. Olanipekun T, Kagbo-Kue S, Egwakhe A, Mayette M, Fransua M, Flood M. Lower gastrointestinal Kaposi sarcoma in HIV/AIDS: A diagnostic challenge. Gastrointest Tumors 2019;6(1-2):51-56. https://doi.org/10.1159/000500140        [ Links ]

    18. Mwazha A, Nhlonzi GB, Mazengenya P. Gastrointestinal tract plasmablastic lymphoma in HIV-infected adults: A histopathological review. Int J Surg Pathol 2020;28(7):735-748. https://doi.org/10.1177/1066896920932272        [ Links ]

    19. Nakamura S, Matsumoto T. Gastrointestinal lymphoma: Recent advances in diagnosis and treatment. Digestion 2013;87(3):182-188. https://doi.org/10.1159/000350051        [ Links ]

    20. Peng JC, Zhong L, Ran ZH. Primary lymphomas in the gastrointestinal tract. J Dig Dis 2015;16(4):169-176. https://doi.org/10.1111/1751-2980.12234        [ Links ]

    21. Kriel M, Davidson A, Pillay K, Hendricks M, Phillips LA. Clinicopathological characterization of children with B-cell non-Hodgkin lymphoma over 10 years at a tertiary center in Cape Town, South Africa. J Pediatr Hematol Oncol 2019;00(00):1-9. https://doi.org/10.1097/MPH.0000000000001709        [ Links ]

    22. Padayachee RS, Perner Y, MacKinnon D, et al. A retrospective analysis of paediatric lymphomas at Chris Hani Baragwanath Academic Hospital in Soweto, South Africa. J Acquir Immune Defic Syndr 2010;53(5):656-660. https://doi.org/10.1097/MPH.0000000000001709        [ Links ]

    23. Vaubell JI, Sing Y, Ramburan A, et al. Pediatric plasmablastic lymphoma: A clinicopathologic study. Int J Surg Pathol 2014;22(7):607-616. https://doi.org/10.1177/1066896914531815        [ Links ]

    24. Saad AAM, Kkalid T, Abbas M, Salih KMA. Rare presentation of chronic ileocecal intussusception secondary to Burkitt's lymphoma in three years Sudanese boy: A case report and literature review. Pan Afr Med J 2018;31:1-4. https://doi.org/10.11604/pamj.2018.31.57.14793        [ Links ]

    25. Pizzi M, Sabattini E, Parente P, Bellan A, Doglioni C, Lazzi S. Gastrointestinal lymphoproliferative lesions: A practical diagnostic approach. Pathologica 2020;112(3):227-247. https://doi.org/10.32074/1591-951X-161        [ Links ]

    26. Koniaris LG, Drugas G, Katzman PJ, Salloum R Management of gastrointestinal lymphoma. J Am Coll Surg 2003;197(1):127-141. https://doi.org/10.1016/S1072-7515(03)00002-4        [ Links ]

    27. Wahab WNNWA, Husin A, Hussain FA. Classifying DLBCL according cell of origin using Hans algorithm and its association with clinicopathological parameters: A single centre experience. Med J Malaysia 2020;75(2):98-102.         [ Links ]

    28. Boot H. Diagnosis and staging in gastrointestinal lymphoma. Best Pract Res Clin Gastroenterol 2010;24(1):3-12. https://doi.org/10.1016/j.bpg.2009.12.003        [ Links ]

     

     

    Correspondence:
    M C Khaba
    ckhaba@yahoo.co.uk

    Received 15 March 2024
    Accepted 30 July 2024