Services on Demand
Journal
Article
Indicators
Related links
-
Cited by Google -
Similars in Google
Share
Onderstepoort Journal of Veterinary Research
On-line version ISSN 2219-0635Print version ISSN 0030-2465
Onderstepoort j. vet. res. vol.83 n.1 Pretoria 2016
https://doi.org/10.4102/ojvr.v83i1.1136
RESEARCH NOTE
Enhanced expression of recombinant beta toxin of Clostridium perfringens type B using a commercially available Escherichia coli strain
Fatemeh BakhshiI; Reza Pilehchian LangroudiII; Bahram Golestani EimaniI
IDepartment of Biology, Islamic Azad University, Urmia branch, Urmia, Iran
IIRazi Vaccine and Serum Research Institute, Agricultural Research, Education and Extension Organization (AREEO), Alborz, Karaj, Iran
ABSTRACT
Clostridium perfringens beta toxin is only produced by types B and C and plays an important role in many human and animal diseases, causing fatal conditions that originate in the intestines. We compared the expression of C. perfringens type B vaccine strain recombinant beta toxin gene in theEscherichia coli strains RosettaTM(DE3) and BL21(DE3). The beta toxin gene was extracted from pJETβ and ligated with pET22b(+). pET22β was transformed into E. coli strains BL21(DE3) and RosettaTM(DE3). Recombinant protein was expressed as a soluble protein after isopropyl β-D-1-thiogalactopyranoside (IPTG) induction in strain RosettaTM(DE3) but not in BL21(DE3). Expression was optimised by growing recombinant cells at 37 °C and at an induction of 0.5 mM, 1 mM, 1.5 mM IPTG. Expression was evaluated using sodium dodecyl sulfate Polyacrylamide gel electrophoresis (SDS-PAGE). The recombinant protein was purified via Ni-NTA and was analysed using western blot. We concluded that E. coli strain RosettaTM(DE3) can enhance the expression of C. perfringens recombinant beta toxin.
Introduction
Clostridium perfringens, an anaerobic Gram-positive, rod-shaped bacterium, is able to form environmentally resistant spores. Clostridium perfringensproduces seventeen toxins. Four of them - iota, alpha, beta and epsilon - are major toxins and are used for classifying C. perfringens into five types - A, B, C, D and E (Nilo 1980). Beta toxin is only produced by types B and C and plays an important role in many human and animal diseases via pore formation in the endothelial cell membrane (Michlard et al. 2009; Nagahama et al. 2015). Clostridium perfringens beta toxin (CPB) forms a multimeric transmembrane pore in the endothelial cell membrane and is the cause of cell lysis (Steinthorsdottir et al. 2000). Clostridium perfringens has a circular chromosome of approximately 3.6 mega-base pairs with a low content of G+C (about 25%) (Canard et al. 1992; Casjens 1998). The genome C. perfringens includes extra chromosomal genetic elements in the form of plasmid and phage-encoded mobile genes that can vary in size and composition (Bruggemann 2005; Cavalcanti et al. 2004). Clostridium perfringens beta toxin gene (cpb), which encodes a protein made up of 309 amino acids, is located on the different large plasmids that are carried by types B and C (Rokos, Rood & Duncan 1978). Expression of CPB in Escherichia coli has been shown and a molecular analysis revealed that it has sequence homology with alpha-toxin, gamma-toxin and leukocidin of Staphylococcus aureus (Hunteret al. 1993).
In the present study, the beta toxin gene of the C. perfringens vaccine strain (CWB CN228) was expressed in E. coli and purified proteins were analysed. This vaccine strain was isolated in Iran (Brooks & Entessar 1957), and its beta toxin gene was sequenced, described and deposited in GenBank HQ179547.1.
Materials and methods
The expressions of C. perfringens type B vaccine strain recombinant beta toxin gene in the E. coli strains RosettaTM(DE3) and BL21(DE3) were compared. The methods used have been described elsewhere (Pilehchian Langroudi et al. 2011).
Plasmid pJET1.2/blunt, Pfu DNA polymerase, dNTPs, T4 DNA ligase, NdeI and XhoI REs and GeneRuler™, 100 bp Plus DNA size markers, PageRuler™, and extraction kit, SDS, Proteinase K, lysozyme and plasmid extraction kit were purchased from Fermentas (Thermo Scientific™ Germany). High Pure PCR Product Purification Kit for DNA fragments recovery was purchased from Vivantis Technologies Sdn Bhd (Selangor, Malaysia). Sheep primary antibody and conjugate anti-sheep Horseradish_peroxidase (HRP) were purchased from DAKO Company (Glostrup, Denmark). Clostridium perfringens type B vaccine strain (CWB CN228), E. coli strain TOP10, which was applied as a cloning host, and E. coli strains BL21(DE3) and Rosetta™(DE3) (Novagen, Merck Millipore, Germany) as expression hosts were prepared at the Razi Institute. Clostridium perfringens was cultured anaerobically in the liver extraction media at 37 °C for 5 h after the centrifugation supernatant was removed and discarded; the whole genomic DNA was extracted using the phenol-chloroform method. The gene cpb was amplified via PCR using one pair of specific primers consisting of NdeI at the 5, end of the forward and XhoI at the 3, end of the reverse primers. (Pilehchian Langroudi et al., 2011). Pfu DNA polymerase was used for amplification of the blunt-end PCR product. After ligation of the cpb gene into the pJET1.2/blunt and producing pJETβ (pJET1.2/blunt beta) recombinant vector, the E. coli strain Top10 competent cell was transformed using pJETβ, and the screening of recombinant clones was done via antibiotic resistance and colony PCR. Nucleotide sequencing was carried out via Source Bioscience Co. (Berlin, Germany). The pJETβ recombinant vector was purified from E. coli/TOP10/pJETβ cells and was digested using NdeI and XhoI. After digestion, the cpb gene was extracted from the gel and was purified. pET22b(+) was digested using the same enzymes, was purified from the electrophoresis gel and was ligated using cpb gene. The ligation product was applied on the 1% electrophoresis agarose gel to show the formation of recombinant plasmid. Escherichia coli strains BL21(DE3) and Rosetta™(DE3) were selected as expression hosts. After preparation of the competent cells, they were transformed using pET22β [pET22b(+) beta] expression vector so that E. coli/BL21/pET22β and E. coli/Rosetta™/pET22β were produced. To confirm the presence of the recombinant pET22β expression vector, recombinant cell screening was done, as previously described (Pilehchian Langroudiet al., 2011). Colony PCR was done using recombinant individual E. coli colonies. After purification, the recombinant pET22β expression vector was sequenced.
Expression of Clostridium perfringens beta toxin protein
Recombinant cells were cultured in LB/Amp media and were incubated at 37 °C to OD600 = 0.6-0.7. To induce protein expression, 0.5 mM Isopropyl β-D-1-thiogalactopyranoside (IPTG) was added and growth was continued for 18 h; in additional trials, different concentrations of IPTG (0.5 mM, 1 mM and 1.5 mM) were used. Effects of a temperature gradient (25 °C, 31 °C and 37 °C) and time variation (3, 6 and 18 h) were considered. The expressed protein analysis was performed using sodium dodecyl sulfate Polyacrylamide gel electrophoresis (SDS-PAGE). Negative controls including of the E. coli/BL21/pET22 and E. coli/RosettaTM/pET22 were used for each analysis. The recombinant beta protein, which contains a 6-His tag at the C-terminal, was purified with Ni-NTA resin. The bacterial pellet was suspended in the lysis buffer and the cells were lysed with sonication repeated six times on ice for a duration of 5 min. The cell lysate was centrifuged at 13 680 g, and the clarified supernatant was loaded on Ni-NTA resin at the flow rate of 1 mL/min. The column was washed with five volumes of wash buffer, and finally, the protein was eluted by adding elution buffer, as previously described (Pilehchian Langroudi et al. 2013). The purified protein was analysed using SDS-PAGE and western blot. The protein concentration was determined using a standard procedure, as previously described (Bradford 1976).
Results
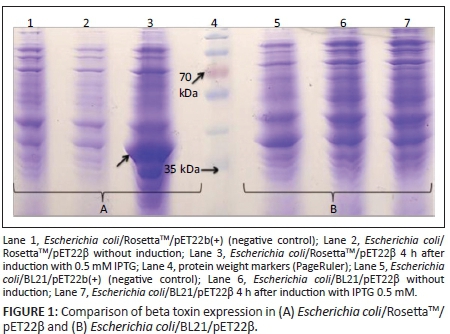
The electrophoresis result showed that genomic DNA was extracted and the PCR analysis revealed that the cpb gene was amplified. After successful production of the recombinant pJETβ cloning vector and the E. coli/TOP10/pJETβ cells and also successful subcloning of the pET22β, E. coli strains BL21(DE3) and RosettaTM(DE3) cells were transformed using this expression vector. The colony PCR result showed the presence of the recombinant pET22β plasmids in both recombinant E. coli colonies. Sequencing revealed that the inserted gene was consistent with the cbp gene in GenBank (HQ179547.1). After expression, the SDS-PAGE analysis showed that the recombinant protein was well expressed between 2 and 4 h after induction via 0.5 mM IPTG in recombinant E. coli/RosettaTM(DE3) but not in E. coli/BL21 (Figure 1). The use of different concentrations of IPTG had no significant effect on protein expression, but the effects of temperature and time on expression levels were significant, and in the case of time the effect continued up to 18 h (Figure 2). Recombinant protein was purified using Ni-NTA resin, and the result showed a very sharp band of the purified protein as an approximately 35-KDa using SDS-PAGE and western blot analysis (Figure 3).


Discussion
Iranian variant type B was isolated in 1954 from intestinal contents of sheep and goats. The three strains of Clostridium welchii type B isolated were different from the classical type B strains in their production of kappa and non-production of lambda and hyaluronidase toxins. Two of the strains were isolated from young goats and the other from an adult sheep (Brooks & Entessar 1957). By now, some vaccines have been manufactured using the secreted CPB protein of C. perfringens types B and C. It has been about five decades since the vaccine against C. perfringens types B and C, CPB protein was produced in Iran (Pilehchian langroudi 2015) Genetic engineering, helping to produce recombinant protein that as a good alternative to native toxins belonging to the C. perfringens species (Nijland et al. 2007). In 1998, CPB of C. perfringens was expressed and secreted in Bacillus subtilis in the form of mutant protein (beta toxoid). The mutation of two amino acids that were located in the membrane binding region affected the lethal dose in mice (Steinthorsdottir et al. 1998). Previously, a genetic construct containing C. perfringens epsilon toxin protein (ETX) and CPB genes was produced in Iran. The fusion gene was expressed as a soluble protein in the E. coli strain Rosetta™ and its immunogenicity was studied in mice. (Pilehchian Langroudi et al.2013).
In the present study, recombinant plasmid pET22bβ was transformed into E. coli strains BL21(DE3) and RosettaTM(DE3). The SDS-PSAGE analysis showed no CPB band from E. coli/BL21/ pET22β but showed a CPB band from E. coli/RosettaTM/pET22β. The sequencing analysis of purified pET22β revealed that the inserted gene had 987 bp, demonstrating a 99% - 100% identity with cpb genes that were previously deposited in GenBank. The recombinant toxin was expressed 30 min after induction with IPTG and continued for 18 h. It has been reported that the expression of recombinant beta toxin in E. colistarted 30 min after induction with 0.5 mM IPTG and continued up to 6 h (Steinthorsdottir et al. 1995). It was revealed that different concentrations of IPTG had no obvious effect on the protein expression level. A previous report showed that there was no more expression after induction beyond 1 mM IPTG (Goswami et al. 1996). The optimal thermal condition for protein expression is 37 °C. At present, accessing recombinant bacterium and manufacturing a recombinant vaccine is possible. (Michlard et al. 2009) The strain used in this work was C. perfringens type B vaccine strain, which is the Iran variant of this species (Brooks & Entessar 1957). Although the beta toxin gene is significantly similar to other genes, it is unique for Iran. This strain is one of the active ingredients in the tetravalent enterotoxaemia vaccine in Iran, so it is very important that we use its beta toxin protein in the future recombinant vaccine.
Conclusion
We concluded that pET22b(+) and E. coli strain RosettaTM(DE3) are suitable expression vectors and hosts that can enhance the expression and production of C. perfringens recombinant beta toxin. Therefore, the E. coli/RosettaTM/pET22β clone could be used for further research on recombinant vaccine production.
Acknowledgments
The present study was conducted by the research fund from Razi Vaccine and Serum Research Institute. The authors would like to thank Yalda Pilehchian (M.Sc.) for the assistance of final proof reading.
Competing interests
The authors declare that they have no financial or personal relationships which may have inappropriately influenced them in writing this article.
Authors' contributions
F.B., was the student, R.P.L. the supervisor, and B.G.I. the consultant supervisor.
References
Bradford, M., 1976, 'A rapid and sensitive for the quantitation of microgram quan-tities of protein utilizing the principle of protein-dye binding', Analytical Biochemistry 27(1-2), 248-254. http://dx.doi.org/10.1016/0003-2697(76)90527-3 [ Links ]
Brooks, M. & Entessar, F., 1957, 'Anomalous Clostridium welchii type B strains isolated in Iran', British Veterinary Journal 113, 506-509. [ Links ]
Bruggemann, H., 2005, 'Genomics of clostridia pathogens: Implication of extra chromosomal elements in pathogenicity', Current Opinions in Microbiology8(5), 601-605. http://dx.doi.org/10.1016/j.mib.2005.08.006 [ Links ]
Canard, B., Saint-joanis, B. & Cole, S., 1992, 'Genomic diversity and organization of virulence genes in the pathogenic anaerobe Clostridium perfringens',Molecular Microbiology 6(11), 1421-1429. http://dx.doi.org/10.1111/j.1365-2958.1992.tb00862.x [ Links ]
Casjens, S., 1998, 'The diverse and dynamic structure of bacterial genomes', Annual Review of Genetics 32, 339-377. http://dx.doi.org/10.1146/annurev.genet.32.1.339 [ Links ]
Cavalcanti, M.T.H., Porto, T., Porto, A.F.L., Brandi, I.V. & Filho, J.I., 2004, 'Large scale purification of Clostridium perfringens toxins: A review', RBCF Journal of Pharmaceutical Sciences 40(2), 151-164. [ Links ]
Goswami P.P., Rupa P., Prihar, N.S. & Garg, L.C., 1996, 'Molecular cloning of Clostridium perfringens epsilon-toxin gene and its high level expression in E. coli', Biochemical and Biophysical Research Communications 226(3), 735-740. [ Links ]
Hunter, S.E., Brown, J.E., Oyston, P.C., Sakurai, J. & Titbal, R.W., 1993, 'Molecular genetic analysis of beta-toxin of Clostridium perfringens reveals sequence homology with alpha-toxin, gamma-toxin, and leukocidin of Staphylococcus aureus', Infectand Immunity 61(9), 3958. [ Links ]
Michlard, J., Jaggi, M., Sutter, E., Wyder, M., Grabscheid, B. & Posthaus, H., 2009, 'Clostridium perfringens beta-toxin targets endothelial cells in necrotizing enteritis in piglets', Veterinary Microbiology 137, 320-325. http://dx.doi.org/10.1016/j.vetmic.2009.01.025 [ Links ]
Nagahama, M., Hayashi, S., Morimitusu, S. & Sakurai, J., 2003, 'Biological activities and pore formation of Clostridium perfringens beta toxin in HL 60 cells', The Journal of Biological Chemistry 278, 36934-36941. http://dx.doi.org/10.1074/jbc.M306562200 [ Links ]
Nijland, R., Lindner, C., Van Hartskamp, M., Hamoen, L.W. & Kuipers, O.P., 2007, 'Heterologous production and secretion of Clostridium perfringens beta-toxoid in closely related Gram-positive hosts', Journal of Biotechnology 10(127), 361-372. http://dx.doi.org/10.1016/j.jbiotec.2006.07.014 [ Links ]
Nilo, L., 1980, 'Clostridium perfringens in animal disease: A review of current knowledge', The Canadian Veterinary Journal 21(5), 141-148. [ Links ]
Pilehchian langroudi, R., 2015, 'Isolation, specification, molecular biology assessment and vaccine development of Clostridium in Iran: A review',International Journal of Enteric Pathogens 3(4), 1-10. [ Links ]
Pilehchian Langroudi, R., Aghaiypour, K., Shamsara, M., Jabbari, A., Habibi, G.R. & Goudarzi, H., 2011, 'Fusion of Clostridium perfringens type D and B epsilon and beta toxin genes and its cloning in E. coli', Archives of Razi Institute 66(1), 1-10. [ Links ]
Pilehchian Langroudi, R., Shamsara, M. & Aghaiypourk, 2013, 'Expression of Clostridium perfringens epsilon-beta fusion toxin gene in E. coli and its immunologic studies in mouse', Vaccine 31, 3295-3299. http://dx.doi.org/10.1016/j.vaccine.2013.04.061 [ Links ]
Rokos, E.A., Rood, J.I. & Duncan, C.L., 1978, 'Multiple plasmids in different toxigenic types of Clostridium perfringens', FEMS Microbiology Letters 4(6), 323-326. http://dx.doi.org/10.1111/j.1574-6968.1978.tb02890.x [ Links ]
Steinthorsdottir, V., Fridriksdottir, V., Eggert, G. & Andresson, O., 1998, 'Site-directed mutagenesis of Clostridium perfringens beta-toxin: Expression of wild type and mutant toxins in Bacillus subtilis', FEMS Microbialogy Letters 158(1), 17-23. http://dx.doi.org/10.1111/j.1574-6968.1998.tb12794.x [ Links ]
Steinthorsdottir, V., Fridriksdottir, V., Gunnarsson, E. & Andresson, O., 1995, 'Expression and purification of Clostridium perfringens beta toxin glutathione S-transferase fusion protein', FEMS Microbialogy Letters 1309(2-3), 273. http://dx.doi.org/10.1016/0378-1097(95)00218-T [ Links ]
Steinthorsdottir, V., Halldorsson, H. & Andresson, O., 2000, 'Clostridium perfringens beta toxin forms multimeric transmembrane pores in human endothelial cells', Microbial Pathogenesis 28, 45-50. http://dx.doi.org/10.1006/mpat.1999.0323 [ Links ]
Correspondence:
Reza Pilehchian Langroudi
r.pilehchian@rvsri.ac.ir
Received: 18 Dec. 2015
Accepted: 31 Mar. 2016
Published: 30 June 2016











