Services on Demand
Journal
Article
Indicators
Related links
-
Cited by Google -
Similars in Google
Share
South African Dental Journal
On-line version ISSN 0375-1562Print version ISSN 0011-8516
S. Afr. dent. j. vol.79 n.5 Johannesburg Jun. 2024
https://doi.org/10.17159/sadj.v79i05.18080
REVIEW
Oral Presentation of Haematological Disease: Part I - Diseases of Bone Marrow Failure
J FourieI; JG NelII
IDepartment of Periodontics and Oral Medicine, School of Dentistry, Faculty of Health Sciences, University of Pretoria Tel: 012 319 2312. Email: jeanine.fourie@up.ac.za ORCID: 0000-0002-8674-81452
IIDepartment of Haematology, Faculty of Health Sciences, University of Pretoria. Tel: 012 319 2641. Email: jan.nel@up.ac.za ORCID: 0000-0002-4693-1092
ABSTRACT
INTRODUCTION: The bone marrow is responsible for haemopoiesis, but when it fails, oral mucosal lesions may be seen due to reduced platelets, white blood cells, or red blood cells.
AIMS AND OBJECTIVES: This study aims to report on three patients who presented with leukaemia, aplastic anaemia and neutropenia, respectively, with spontaneous bleeding, ulceration and mucosal pallor.
DESIGN/METHODS: The oral mucosal features of three patients who presented at the University of Pretoria Oral Health Centre, with varying degrees of bone marrow failure, were recorded. Special investigations were performed to check their bone marrow function. The patients were managed collaboratively with their respective physicians.
RESULTS: These cases demonstrate that dentists should be cognisant of disorders of bone marrow failure so that patients are a) diagnosed timely and appropriately, b) referred back to their treating clinician due to relapse of a known disease, or c) managed in collaboration with their treating clinician to confirm a suspected diagnosis.
CONCLUSIONS: Dentists play a pivotal role in diagnosing haematological disease that results from bone marrow failure. Bleeding, ulceration and mucosal pallor are important diagnostic indicators of reduced platelet, neutrophil and red blood cell counts.
Key words: leukaemia, neutropenia, thrombocytopenia, aplastic anaemia, erythropoiesis
INTRODUCTION
Oral mucosal changes may be the initial sign of systemic disease1 or the progression of an already known systemic disease process, particularly diseases of haematopoiesis.2,3 Dentists can play a vital part in detecting and monitoring haematological diseases affecting the oral mucosa.4 Failure to do so may have disastrous consequences and may even result in the death of a patient.5
Diseases impacting the haematopoietic system, with possible effects on platelets, red blood cells, and white blood cells, manifest in the oral cavity through bleeding tendencies, lowered haemoglobin concentration, and susceptibility to opportunistic infections, such as Candida and herpes simplex virus infection.1,,6,7 Neoplastic white blood cells may also amass within the gingiva and oral mucosa.8
This two-part case series will illustrate the impact of haematological disease on oral mucosal health using clinical examples. It will showcase bone marrow malfunction and anaemia. The purpose of this case series is not to provide an all-encompassing overview of the oral presentation of haematological diseases (for a more comprehensive review, please refer to Schlosser 2011, McCord 2017 and Elad 2019).9-11 Instead, this case series aims to provide useful, practical, examples of clinical scenarios that dentists may encounter. Nonetheless, a fundamental grasp of bone marrow's functioning is vital in understanding the implications of its inadequacy.
The bone marrow is the principal organ for haematopoiesis in adults and children.12 Haematopoiesis is the process whereby lymphocytes, red blood cells, and platelets are produced.12 In the bone marrow, multipotent haemopoietic stem cells (HSC) proliferate and differentiate into lymphoid and myeloid precursors, which ultimately give rise to lymphocytes (responsible for adaptive immunity), and granulocytes (responsible for innate immunity), thrombocytes and erythrocytes, respectively.12-14 Humans are estimated to produce more than 100 billion new hematopoietic cells on any given day.15
Suboptimal function of the bone marrow will therefore impact immune defences, the ability to form a blood clot when needed, and oxygen transport. The bone marrow may either be destroyed by the malignant proliferation of immature leukocytes in leukaemia,16 or due to an autoimmune attack by lymphocytes in aplastic anaemia.17,18 Other times, only the production of a single white blood cell is impaired, resulting in neutropenia.19
Timely intervention by a dentist may save a patient's life or support the ongoing medical management of a patient with a known haematological disease.
Permission was obtained from the University of Pretoria, Faculty of Health Sciences, Research Ethics Committee clearance number 485/2023, following informed consent from the participants.
CASE 1 - LEUKAEMIA
The following clinical case demonstrates how timely intervention by a dentist saved a patient's life after earlier opportunities had been missed.
Clinical case presentation
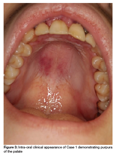
A 22-year-old male patient presented to the University of Pretoria Oral Health Centre (UPOHC), complaining of a painful lower left wisdom tooth (tooth 38), partly impacted and covered by an enlarged operculum. A private dentist had given the patient an appointment to remove the tooth under conscious sedation, but the costs were prohibitive. The attending dentist at the UPOHC noticed anterior marginal gingival bleeding of the maxilla and mandible, and wrongly diagnosed the patient with necrotising gingivitis (Figure 1 and Figure 2). Additional signs, such as purpura of the hard palate (Figure 3), mucosal pallor, skin bruising, and bilateral submandibular lymphadenopathy were noticed, which prompted a consultation by an oral medicine specialist. Further enquiry revealed that the patient recently noticed that his gums bleed easily and his skin bruises easily; he felt tired and was out of breath after walking up the stairs. He presented 2 months earlier to the emergency department of a local hospital with upper respiratory tract infection symptoms. Retrieval of the patient's blood results demonstrates that he already had a reduced red cell count, white cell count, and platelets (See Table I). The patient reported right ear deafness but was otherwise healthy, not using any chronic medication, and had no allergies.




Special investigations
Considering the oral and systemic signs, which indicated both the presence of anaemia, thrombocytopenia, and possible lymphocytopenia, a full-blood count (FBC), and a peripheral blood smear were ordered. The results revealed pancytopenia, as can be seen in the FBC in Table I, with a corrected white blood cell count (WCC) of 3.07 X 109/L, red cell count (RCC) of 2.03 X 1012/L, and platelet count of6 X 109/L. The differential WCC demonstrated significant neutropenia, as seen in Table II. An increased number of large blast cells (45%), with a high nuclear-to-cytoplasmic ratio, folded nuclei with irregular contours, dispersed chromatin and conspicuous nucleoli were seen on the peripheral blood smear. The cytoplasm of the blasts contained fine azurophilic granules and Auer rods. These findings were suggestive of acute promyelocytic leukaemia (APL).

Management
Within 24 hours of presentation, the patient was admitted to the hospital under the care of a medical oncologist who immediately administered packed red blood cells and platelets and started induction intravenous chemotherapy with Idarubicin, as well as all-trans-retinoic acid (ATRA). Consolidation therapy included intravenous Mitoxantrone, Idarubicin and ATRA.
The diagnosis of APL was confirmed through a bone marrow biopsy which demonstrated hypoplastic granulopoiesis (70% of cells comprised of abnormal promyelocytes). Cytogenetic testing confirmed the balanced translocation between chromosomes 15 and 17, and both FISH and PCR positively identified the PLM/RARA gene. A CT scan of the chest, abdomen and pelvis showed an enlarged spleen, bilateral pleural effusions, diffuse bone marrow infiltration, pericardial effusion and ascites.
Outcome
The patient achieved complete remission after induction chemotherapy, as confirmed by negative PML/RAR quantitative result on peripheral blood. The patient completed maintenance chemotherapy with Mercaptopurine, Methotrexate and ATRA for another 24 months, and is currently in remission.
DISCUSSION
As in this case, there have been many other patients diagnosed with leukaemia due to oral mucosal features 1,4, 20-27 yet, in other instances, the signs were originally missed 4,5 or also misdiagnosed as necrotising gingivitis.7
Characteristics of Acute Promyelocytic Leukaemia
Acute leukaemias are generally grouped according to whether they derive from lymphoid or myeloid stem cells. The myeloid leukaemias are further subdivided by whether there is evidence of recurrent genetic abnormalities, as our case demonstrates, a history of therapy for malignancies or a prior history of haematological malignancy.16
The confirmation of a diagnosis that was "suspected" on the basis of morphology is by molecular or genetic testing techniques such as FISH or PCR for the PML/RARA gene product. The presence of this genetic aberration is significant as it (apart from making the diagnosis) infers sensitivity to al-trans retinoic acid for therapy. This medication induces maturation of the blast cells into mature neutrophils.30 APL is cytogenetically characterised by a balanced reciprocal translocation between chromosomes 15 and 17, which results in the fusion between the promyelocytic leukaemia (PML) gene and the retinoic acid receptor (RAR) gene.16, 31 Acute promyelocytic leukaemia (APL) accounts for 10%-15% of adult acute myeloid leukaemias32 and is considered the deadliest form of acute leukaemia, due to a coagulopathy associated with the disease, causing a bleeding tendency that can potentially result in death in a matter of hours.31 Yet, the introduction of all-trans retinoic acid (ATRA) in the treatment of APL, and the further addition of arsenic trioxide (ATO), raised the complete remission rate to 95%, making APL also the most curable type of AML in adults. 31,33
Therefore, a small but significant window of opportunity exists for dentists to recognise the oral features of APL, particularly spontaneous bleeding, as the first manifestation of the disease5 and refer the patient as a haematological emergency for appropriate treatment.4
Systemic features of leukaemia
The general features of leukaemia can be explained by the malignant immature white blood cells that increase at the expense of normal bone marrow cells, resulting in pancytopenia. A reduced number of red blood cells result in anaemia accompanied by weakness, fatigue, and pallor, while a bleeding tendency develops due to reduced numbers of platelets. Despite the proliferation of white blood cells, there are insufficient mature granulocytes to protect against infection7, 9, 11 therefore, opportunistic infections and fever may be seen.6 Additional systemic features include lymphadenopathy, bone and abdominal pain.9, 29 Bone marrow failure ultimately results in death due to bleeding or infection7, 29 and may occur within 6 months or less if left untreated.29 Therefore, any referral delay may be fatal.5
Oral features of leukaemia
The oral features give dentists a unique opportunity and responsibility to diagnose leukaemia, as up to 65% of patients with leukaemia may present with oral manifestations, especially spontaneous gingival bleeding, and submandibular lymphadenopathy, prompting them to visit a dental health care professional.20, 21
The oral signs mirror these haematological deficiencies and are characterised by mucosal pallor,7 gingival bleeding and mucosal bruising,1, 22 opportunistic infections, and non-specific ulcers due to neutropenia.7,27 In addition, direct infiltration of leukemic cells into tissues appears as generalised gingival enlargement, solitary masses, or indurated ulcers.7, 8 22, 25, 26, 34
Extramedullary infiltration ability is a peculiar feature of leukemic cells and is most commonly seen in acute myeloid leukaemia (AML),27, 35 but has also been reported in chronic myeloid leukaemia (CML).34 The accumulation of leukemic cells (immature myeloid cells) is called a 'myeloid sarcoma' (MS), but is also known as chloroma, myeloblastoma, or granulocytic sarcoma, and is a rare tumour. 8, 16
Malignant sarcoma may occur as an isolated (primary) extramedullary tumour (without bone marrow involvement),2 36 concurrent with a haematological malignancy, or as the initial manifestation of relapse.2, 8 16, 34 Malignant sarcoma most often presents as generalised gingival enlargement in AML,8,11, 35 or a non-specific gingival mass,2, 34 and most infrequent as an indurated ulcer (4%).8 When intra-oral MS is diagnosed before bone-marrow involvement, it allows prompt treatment to prevent disease progression.36 Myeloid sarcoma heralds a particularly poor prognosis, with only 13.2% of patients surviving overall, and most succumb to the disease within the first year.2, 34 Leukemic infiltrates may also compress sensory nerves, resulting in pain, paraesthesia or anaesthesia.11 Chemotherapy and/ or radiotherapy, and not local surgery, is indicated for the management of intra-oral MS.2
Malignant sarcoma presenting as gingival enlargement typically has a rapid onset, may cover the tooth to the occlusal surface, is often diffuse and extends to affect the entire width of the gingiva,22-26, 37 may even occur at edentulous sites,35 or mimic operculitis.4 The colour may vary from pale pink, to red and purple,7, 23, 25, 26 and may be accompanied by discomfort, especially when eating.25 Gingival enlargement hampers proper plaque control, further contributing to bleeding tendencies, and makes the patient again more vulnerable to plaque-induced infection23 and destructive periodontal disease, which is accelerated by neutropenia.11 However, gingival enlargement may also be inflammatory reactive only.35 Given the great likelihood of thrombocytopenia and neutropenia among leukaemia patients, invasive biopsy procedures should24, 34 be exchanged for fine needle aspiration cytology.35 Effective chemotherapy successfully resolves gingival enlargement, even in the absence of further periodontal therapy.23, 24, 26, 37
In addition, non-specific, aphthous-like ulcerations have also been reported, where the erythematous border has been replaced by a haemorrhagic one.7 These ulcers can be attributed to lymphopenia particularly neutropenia. Alternatively, neutropenia may also result in opportunistic infections and gingival ulcers due to infection by normal oral flora.29 Lastly, bilateral submandibular, non-tender, lymphadenopathy and fever may be seen.7
Similar to this case, there are multiple case reports of leukaemia diagnoses reached by dentists due to the oral presentation of the disease.1, 4, 22-26 There are, however, also instances in which the initial signs were missed, resulting in uncontrolled bleeding,4 and even death.5 Had this patient's dentist continued with the extraction of tooth 38, or had a scaling and polishing been done to manage the 'necrotising gingivitis', it is very likely that the patient would have experienced significant bleeding.
Management
If the suspicion is raised for leukaemia, the first line of investigation is an FBC with peripheral blood smear,26 which will demonstrate both the degree of bone marrow failure and abnormal hematopoietic precursor cells circulating in the peripheral blood. These changes will subsequently be confirmed by bone marrow biopsy, and further characterisation can be done with cytochemical staining, immunophenotyping, and cytogenetic analysis of chromosomal abnormalities.16, 29
APL is treated as a haematological emergency with immediate ATRA administration and followed only by confirmatory molecular and cytogenetic testing.30 ATRA induce functional and morphological maturation in APL cells, which causes the treated APL cells to undergo terminal myeloid differentiation and finally apoptosis.30 The addition of ATO, which has dose-dependent dual effects on APL cells by inducing apoptosis and differentiation at high and low concentrations, has minimised the relapse rate of APL, making it a highly curable disease.30 The administration of platelets, fresh frozen plasma, and red blood cells corrects the effects of pancytopenia.4
CASE 2 - APLASTIC ANAEMIA (AA)
This clinical case emphasises the importance of recognising the role of a known systemic disease, namely aplastic anaemia, and its effect on the oral mucosa, so that the patient's physician can be alerted to the deterioration of the patient's condition.
Clinical case presentation
A 59-year-old male patient presented to the UPOHC complaining of dysphagia, dysphonia, and spontaneous bleeding from his throat, which would wax and wane. The patient reported suffering from aplastic anaemia (AA) and hypertension, for which he uses cyclosporine, folic acid and hydrochlorothiazide, respectively. He has self-administered analgesics (paracetamol, ibuprofen and tramadol) to relieve his discomfort on swallowing. He is a traditional healer, does not smoke and consumes alcohol twice weekly.
Upon clinical examination, a large dark red/brown mass was found on the soft palate, extending to the oropharynx and onto the left buccal mucosa (see Figure 4 and Figure 5). Gingival bleeding was also noted.


Special investigations
The dentist recognised that AA will be associated with a reduced platelet count and resulting bleeding tendencies. However, due to a greater suspicion of Kaposi sarcoma, an incisional biopsy of the left buccal mucosa was performed. The histological report described a fragment of mucosa that consists predominantly of ulceration and thrombi, in keeping with a diagnosis of angina bullosa haemorrhagica (blood filled bullae).
Subsequent retrieval of the patient's earlier blood work revealed a reduced white cell and red cell count, and a platelet count of 22 x 109/L (see Table III). An earlier bone marrow biopsy showed a hypocellular specimen, with most of the bone marrow replaced by adipose tissue, interspersed with scattered lymphocytes, mast cells, plasma cells and hemosiderin-laden macrophages. There was no obvious population of blast cells, which was in keeping with a diagnosis of AA.

Management
The patient's FBC seen in Table III reflects his blood values while being treated with cyclosporine. His clinical symptoms of thrombocytopenia necessitated additional supportive care with a platelet transfusion.17, 38
Outcome
The patient was referred back to his treating physician and continued treatment with cyclosporine, and supportive treatment when necessary.
DISCUSSION
Given the known condition of AA, which may be associated with spontaneous bleeding, a dentist would be wise to report the patient's symptoms to his physician, before attempting an invasive special investigation.
Pathogenesis of aplastic anaemia
In AA, there is a failure of haemopoiesis which is characterised by pancytopenia and bone-marrow aplasia, with the marrow devoid of morphologic precursors to erythrocytes, granulocytes, and platelets.17, 18 This deficiency may have life-threatening consequences, due to bleeding and infection17, 18 The disease is normally due to an autoimmune attack by cytotoxic T lymphocytes against haematopoietic stem cells17, 18 and should be distinguished from inherited bone marrow failure syndromes such as Fanconi's anaemia.17, 18 Aplastic anaemia is most commonly present between the ages of 15 and 25 years, in individuals with a genetic predisposition, and possible environmental exposures.17 Yet, the aetiology is seldom established17, 39 and is only very infrequently attributed to direct damage to the haematopoietic stem or progenitor cells.40 Our patient was only diagnosed 2 years prior, and, to our knowledge, no eliciting factor was ever identified. Yet, it is unknown if our patient was exposed to any toxins in line with his work as a traditional healer.
Clinical features and diagnosis of aplastic anaemia
Similar to the earlier clinical presentation of leukaemia (case 1), oral and systemic symptoms reflect the peripheral blood values, including the symptoms and signs associated with anaemia, lymphopenia and thrombocytopenia, such as fatigue, opportunistic infections and spontaneous bleeding.17 These signs are verified by a FBC and bone marrow aspirate and biopsy in which a hypocellular, fatty bone marrow should be found.17, 18 The bone marrow biopsy was necessary to rule out myelodysplastic syndrome, acute leukaemia or bone marrow metastasis.41
Oral features of aplastic anaemia
The oral presentation of aplastic anaemia correlates with the degree of pancytopenia.42 Similar to this case, spontaneous oral bleeding is the most common and problematic feature of AA.42-44 This event prompts patients to seek dental care and ultimately enable a diagnosis to be reached.42 Bleeding becomes especially evident once the platelet count drops below 25 x 109 cells/L,44 as it did in our case (see Table 3). Yet, bleeding events do not directly correspond to the platelet count and are attributed to minor oral trauma, such as coughing and plaque accumulation.43 Thrombocytopenia may manifest as petechiae, purpura and ecchymoses, or blood-filled bullae.11
Contrary to this case, other oral features include opportunistic infections with Candida and herpes simplex virus,43, 44 nonspecific oral ulceration (neutropenic ulcer), and oral mucosal pallor11, 42, 45 while destructive periodontal disease is only seen after prolonged exposure to neutropenia.43 The initiation of immunosuppressive therapy, especially with cyclosporine, which this patient was taking, frequently results in gingival enlargement and may further contribute to the risk of fungal infections.43 Yet, these features were not encountered in this patient.
Management
Dental extractions may be complicated by prolonged bleeding and fever in patients with a platelet count of less than 50 x 109/L, and an absolute neutrophil count of less than 0,5 x 109/L, despite receiving platelet transfusions and prophylactic antibiotics.43 Invasive procedures would therefore have been risky in this patient.
Treatment of AA is based on the degree of pancytopenia and not marrow cellularity. Accordingly; asymptomatic cytopenias may not require therapy.17 But when symptoms such as bleeding, fatigue and infections appear, supportive therapy is provided with platelet and red blood cell transfusions and anti-infective agents. In severe AA, treatment is directed at either replacing the bone marrow through allogeneic bone marrow transplantation or preventing the autoimmune attack by immunosuppressive therapy with cyclosporine, anti-thymocyte globulin or high-dose cyclophosphamide.17, 18
CASE 3 - NEUTROPENIA
This clinical case demonstrates the value of eliminating infective aetiologies of a persistent oral ulcer in a patient with suspected neutropenia.
Clinical case presentation
A 57-year-old woman was referred to the UPOHC by her physician to manage a persistent, painful ulcer of her left soft palate. The patient has experienced intermittent episodes of neutropenia, accompanied by oral ulcers, over the past 30 years. These are normally successfully managed with systemic and topical corticosteroids, but the current ulcer had been unresponsive and persisted for four weeks. The ulcer was surrounded by a wide bed of erythema, irregular borders and a granulating base (see Figure 6).

Special investigations
An incisional biopsy was performed to exclude a deep fungal infection, tuberculous ulcer or oral squamous cell carcinoma. However, no infective organism or neoplastic disease process could be identified, and the diagnosis of a 'non-specific ulcer' was made. At the same time, her physician had ordered a blood panel which revealed anaemia and neutropenia of 0.45 x 109/L (see Table IV). Therefore, the ulcer could be diagnosed as a neutropenic ulcer.

Management and outcome
The patient was treated with granulocyte colony-stimulating factors (G-CSG), called filgrastim (Neupogen), which quickly restored the neutrophil count to 13.88 x 109/L, and led to the complete resolution of the ulcer. A topical corticosteroid was administered as a steroid inhaler (Beclomethasone dipropionate 100μg/actuate, applied 4 times daily) for symptomatic relief.
DISCUSSION
In this case, the history of neutropenia, and accompanying oral ulcers, could have been sufficient to reach a diagnosis. Because the ulcer was chronic, infection or malignancy had to be ruled out first.
Pathogenesis of neutropenia
Neutrophils are part of the innate immune response; they are our first defence against bacteria, fungi and protozoa and are among the primary responders in acute inflammation. The neutrophil is so essential to maintaining health that more than 50% of the bone marrow is dedicated to neutrophil production so that, at times of infection, production can increase 10-fold.14,46 Neutropenia is defined as an absolute circulating neutrophil count (ANC) of less than 1.5 X 109/l,19 and our patient's was only 0,45 X 109/L.
The aetiopathogenesis of neutropenia can be classified according to why and when it developed. Congenital causes of neutropenia are normally associated with a decreased production or maturation of neutrophils in the bone marrow.47 These diseases are inherited in an autosomal dominant or recessive manner and include severe congenital neutropenia (Kostmann's syndrome); benign congenital neutropenia; reticular dysgenesis; cyclic neutropenia and Schwachman-Diamond syndrome.47 Cyclic neutropenia is an autosomal dominant disease, in which neutrophil elastase gene (ELA2) mutation results in intramedullary apoptosis of neutrophils.48 Our patient was never conclusively diagnosed with these conditions.
Acquired causes of neutropenia are due to increased destruction or reduced production of neutrophils. These deficits may be due to infections, radiation, nutritional deficiencies (vitamin B12 and folate) and drugs that cause myelosuppression. However, non-steroidal anti-inflammatory drugs (NSAIDs) characteristically reduce neutrophil counts.47
In HIV infection, neutropenia occurs because of reduced production, increased peripheral elimination of neutrophils, and the myelosuppressive effect of antiretroviral therapy. In this context, neutropenic ulcers should be distinguished from other non-specific ulcers.49
Oral features of cyclic neutropenia
Neutrophil dysfunction results in an increased infection rate, commonly presenting intra-orally as destructive periodontal disease and oral ulcers, and may require prophylactic antibiotics to mitigate the risk of infection during dental treatment.47
Neutropenic ulcers are similar to major recurrent aphthous stomatitis (RAS) because they are very painful, have regular margins, are covered by a yellow-to-white membrane, and do not have any specific histology, or microbial aetiology.11, 49-51
Nonetheless, contrary to major RAS, neutropenic ulcers do not appear exclusively on non-keratinised mucosa,49, 50 lack the characteristic erythematous halo due to the absence of the neutrophil inflammatory response,51 do not scar, heal quicker, and are often multiple.50 Even though these ulcers recur similarly to RAS, they appear more regularly, at an earlier age, and are associated with fever and periodontal destruction.11, 49, 50
Furthermore, the characteristics of the underlying neutropenia will determine the ulcer's behaviour and associated clinical features. In cyclic neutropenia, which becomes evident during infancy or childhood, ulcers are accompanied by fever. Their appearance mirrors the decrease in neutrophils, which occurs every 21 days and lasts 3 to 6 days,50, 52 but will persist as long as the neutropenia continues.11, 49 Therefore, our patient likely experienced brief episodes of neutropenia in the past, but persistent neutropenia was responsible for her non-healing ulcer.
The destructive periodontal disease seen in congenital neutropenia occurs early to involve the primary dentition, often resulting in premature exfoliation of teeth.50 It may be distinguished from aggressive periodontitis by its earlier onset, greater visible signs of gingival inflammation presenting with redness and swelling, and more dental plaque.50 Oral ulcers may further limit effective plaque control,48 emphasising the need to resolve the ulcers.
Dental treatment in neutropenia
Persistent oral ulcers require surgical biopsy and histopathological evaluation to rule out oral squamous cell carcinoma, tuberculosis and deep fungal infections. The combined absence of microbial pathogens11 and demonstration of neutropenia will finally distinguish between a non-specific ulcer (RAS) and a neutropenic ulcer.49
If you have a patient with neutropenia, you may rely on chlorhexidine mouth rinses to assist with chemical plaque control48 and you may continue with non-surgical periodontal treatment once the ANC is restored to > 1,5 x 109/L, obviating the need for prophylactic antibiotics.48
Depending on the patient's ANC, G-CSF may also be required before other dental treatments to reduce the risk of infectious complications.47 The greatest risk of infection is with an ANC of less than 0,5 x 109/L.48
Treatment of neutropenia and neutropenic ulcers
Neutropenic ulcers will only resolve if the neutrophil count is restored.48-50 Neutrophil recovery is achieved through the administration of G-CSF, which stimulates the proliferation and differentiation of granulocytes.48 Topical corticosteroids are successfully used in managing RAS and can similarly be employed in the symptomatic management of neutropenic ulcers53 as in this case. Alternatively, photobiomodulation may be used to provide symptomatic relief and may be combined with antimicrobial agents.51
CONCLUSION
These three clinical cases demonstrate how critical it is for dentists to recognise the features of bone marrow failure in the diagnosis and treatment of haematological disease. Bone marrow failure presented here with spontaneous bleeding, mucosal pallor, and ulceration, reflecting the malignant or immune-mediated destruction of the bone marrow, which puts the patient's life at risk if not properly diagnosed. Even though such cases are not commonly encountered in general practice, the significance of spontaneous bleeding or persistent oral ulceration should warn the dentist of the possibility of a serious underlying disease.
REFERENCES
1. Guan G, Firth N. Oral manifestations as an early clinical sign of acute myeloid leukaemia: a case report. Aust Dent J. 2015;60(1):123-7. [ Links ]
2. I shikawa S, Kato Y, Kabasawa T, Yoshioka C, Kitabatake K, Yamakawa M, et al. A case of myeloid sarcoma of the mandibular gingiva as extramedullary relapse of acute myeloid leukemia. Oral Maxillofac Surg. 2020;24(1):121-6. [ Links ]
3. Doddamani LG, Khan M, B S. Acute myelomonocytic leukemia with gingival enlargement: a case report. International Journal of Oral & Maxillofacial Pathology 2014;5:31+. [ Links ]
4. Aurora F, Arasaretnam A, Hobkirk A. The recognition of oral manifestations of haematological disease saves lives: a case report. Bull Natl Res Cent. 2022;46(1):239. [ Links ]
5. Rosa BPP, Ito FA, Trigo FC, Mizuno LT, Junior AT. Oral Manifestation as the Main Sign of an Advanced Stage Acute Promyelocytic Leukemia. Acta Stomatol Croat. 2018;52(4):358-62. [ Links ]
6. Komeno Y, Uryu H, Iwata Y, Hatada Y, Sakamoto J, lihara K, et al. Esophageal Candidiasis as the Initial Manifestation of Acute Myeloid Leukemia. Intern Med. 2015;54(23):3087-92. [ Links ]
7. Arora PC, Arora A, Arora S. Oral Manifestations as an Early Clinical Sign of Acute Myeloid Leukemia: A Report of Two Cases. Indian J Dermatol. 2020;65(3):241-3. [ Links ]
8. Wang D, He K, Sroussi H, Treister N, Luskin M, Villa A, et al. Oral myeloid sarcoma as an uncommon manifestation of acute myeloid leukemia: A case series and review of the literature. J Am Dent Assoc. 2021;152(5):393-400.e8. [ Links ]
9. Schlosser BJ, Pirigyi M, Mirowski GW. Oral manifestations of hematologic and nutritional diseases. Otolaryngol Clin North Am. 2011;44(1):183-203, vii. [ Links ]
10. McCord C, Johnson L. Oral Manifestations of Hematologic Disease. Atlas Oral Maxillofac Surg Clin North Am. 2017;25(2):149-62. [ Links ]
11. Elad S, Zadik Y Caton JG, Epstein JB. Oral mucosal changes associated with primary diseases in other body systems. Periodontol 2000. 2019;80(1):28-48. [ Links ]
12. Liggett LA, Sankaran VG. Unraveling Hematopoiesis through the Lens of Genomics. Cell. 2020;182(6):1384-400. [ Links ]
13. Das-Gupta EP, Russell NH. Haemopoiesis. Medicine. 2004;32(5):8-10. [ Links ]
14. Patel A, Radia D. Haemopoiesis - the formation of blood cells. Medicine. 2017;45(4):194-7. [ Links ]
15. Comazzetto S, Shen B, Morrison SJ. Niches that regulate stem cells and hematopoiesis in adult bone marrow. Dev Cell. 2021;56(13):1848-60. [ Links ]
16. Arber DA, Orazi A, Hasserjian R, Thiele J, Borowitz MJ, Le Beau MM, et al. The 2016 revision to the World Health Organization classification of myeloid neoplasms and acute leukemia. Blood. 2016;127(20):2391-405. [ Links ]
17. Brodsky RA, Jones RJ. Aplastic anaemia. Lancet. 2005;365(9471):1647-56. [ Links ]
18. Young NS. Aplastic Anemia. N Engl J Med. 2018;379(17):1643-56. [ Links ]
19. Dale DC. How I diagnose and treat neutropenia. Curr Opin Hematol. 2016;23(1):1-4. [ Links ]
20. Hou GL, Huang JS, Tsai CC. Analysis of oral manifestations of leukemia: a retrospective study. Oral Dis. 1997;3(1):31-8. [ Links ]
21. Stafford R, Sonis S, Lockhart P, Sonis A. Oral pathoses as diagnostic indicators in leukemia. Oral Surg Oral Med Oral Pathol. 1980;50(2):134-9. [ Links ]
22. da Silva Santos PS, Fontes A, de Andrade F, de Sousa SC. Gingival leukemic infiltration as the first manifestation of acute myeloid leukemia. Otolaryngol Head Neck Surg. 2010;143(3):465-6. [ Links ]
23. Lim H-C, Kim C-S. Oral signs of acute leukemia for early detection. J Periodontal Implant Sci. 2014;44(6):293-9. [ Links ]
24. Fernandes KS, Gallottini M, Castro T, Amato MF, Lago JS, Braz-Silva PH. Gingival leukemic infiltration as the first manifestation of acute myeloid leukemia. Spec Care Dentist. 2018;38(3):160-2. [ Links ]
25. Bhambal AM, Shrivastava H, Naik SP, Nair P, Saawarn N. Oral manifestations of systemic leukemia-first sign of presentation. J Indian Soc Periodontol. 2021;25(4):347-9. [ Links ]
26. Sharan J, Mohapatra S, Chhabra G, Padhi S, Biswal S, Barhate UH, et al. Gingival hyperplasia: An initial oral manifestation of acute myeloid leukemia. J Indian Soc Periodontol. 2023;27(2):201-6. [ Links ]
27. Quispe RA, Aguiar EM, de Oliveira CT, Neves ACX, Santos P. Oral manifestations of leukemia as part of early diagnosis. Hematol Transfus Cell Ther. 2022;44(3):392-401. [ Links ]
28. Available from: https://www.worldlifeexpectancy.com/south-africa-leukemia. [ Links ]
29. McKenna SJ. Leukemia. Oral Surg Oral Med Oral Pathol Oral Radiol Endod. 2000;89(2):137-9. [ Links ]
30. Yilmaz M, Kantarjian H, Ravandi F. Acute promyelocytic leukemia current treatment algorithms. Blood Cancer J. 2021;11(6):123. [ Links ]
31. Wang Z-Y, Chen Z. Acute promyelocytic leukemia: from highly fatal to highly curable. Blood. 2008;111(5):2505-15. [ Links ]
32. Chen Y, Kantarjian H, Wang H, Cortes J, Ravandi F. Acute promyelocytic leukemia: a population-based study on incidence and survival in the United States, 1975-2008. Cancer. 2012;118(23):5811-8. [ Links ]
33. Coombs CC, Tavakkoli M, Tallman MS. Acute promyelocytic leukemia: where did we start, where are we now, and the future. Blood Cancer J. 2015;5(4):e304. [ Links ]
34. da Silva-Santos PS, Silva BS, Coracin FL, Yamamoto FP, Pinto-Junior DD, Magalhães MG. Granulocytic sarcoma of the oral cavity in a chronic myeloid leukemia patient: an unusual presentation. Med Oral Patol Oral Cir Bucal. 2010;15(2):e350-2. [ Links ]
35. Abdullah BH, Yahya HI, Kummoona RK, Hilmi FA, Mirza KB. Gingival fine needle aspiration cytology in acute leukemia. J Oral Pathol Med. 2002;31(1):55-8. [ Links ]
36. Hu YG, Deng XH, Lei W, Li XL. Clinical characteristics and management of primary granulocytic sarcoma of the oral cavity: A case report and literature review. Medicine (Baltimore). 2020;99(43):e22820. [ Links ]
37. Demirer S, Ozdemir H, Sencan M, Marakoglu I. Gingival hyperplasia as an early diagnostic oral manifestation in acute monocytic leukemia: a case report. Eur J Dent. 2007;1(2):111-4. [ Links ]
38. Young NS. Acquired aplastic anemia. Ann Intern Med. 2002;136(7):534-46. [ Links ]
39. Killick SB, Bown N, Cavenagh J, Dokal I, Foukaneli T, Hill A, et al. Guidelines for the diagnosis and management of adult aplastic anaemia. British Journal of Haematology. 2016;172(2):187-207. [ Links ]
40. Gale RP, Hinterberger W, Young NS, Gennery AR, Dvorak CC, Hebert KM, et al. What causes aplastic anaemia? Leukemia. 2023;37(6):1191-3. [ Links ]
41. Bacigalupo A. How I treat acquired aplastic anemia. Blood. 2017;129(11):1428-36. [ Links ]
42. Rai A, Vaishali V, Naikmasur VG, Kumar A, Sattur A. Aplastic anemia presenting as bleeding of gingiva: Case report and dental considerations. The Saudi Journal for Dental Research. 2016;7(1):69-72. [ Links ]
43. Brennan MT, Sankar V, Baccaglini L, Pillemer SR, Kingman A, Nunez O, et al. Oral manifestations in patients with aplastic anemia. Oral Surg Oral Med Oral Pathol Oral Radiol Endod. 2001;92(5):503-8. [ Links ]
44. Sepúlveda E, Brethauer U, Rojas J, Le Fort P. Oral manifestations of aplastic anemia in children. J Am Dent Assoc. 2006;137(4):474-8. [ Links ]
45. Padayachee S, Holmes H, Dreyer WP. Oral medicine case book 56: Oral manifestations of aplastic anaemia. Sadj. 2014;69(1):26-7. [ Links ]
46. Liew PX, Kubes P. The Neutrophil's Role During Health and Disease. Physiological Reviews. 2019;99(2):1223-48. [ Links ]
47. Diz-Dios P, Ocampo-Hermida A, Fernandez-Feijoo J. Quantitative and functional neutrophil deficiencies. Med Oral. 2002;7(3):206-21. [ Links ]
48. Matarasso S, Daniele V, Iorio Siciliano V, Mignogna MD, Andreuccetti G, Cafiero C. The effect of recombinant granulocyte colony-stimulating factor on oral and periodontal manifestations in a patient with cyclic neutropenia: a case report. Int J Dent. 2009;2009:654239. [ Links ]
49. Feller L, Khammissa RA, Wood NH, Meyerov R, Pantanowitz L, Lemmer J. Oral ulcers and necrotizing gingivitis in relation to HIV-associated neutropenia: a review and an illustrative case. AIDS Res Hum Retroviruses. 2012;28(4):346-51. [ Links ]
50. Chen Y, Fang L, Yang X. Cyclic neutropenia presenting as recurrent oral ulcers and periodontitis. J Clin Pediatr Dent. 2013;37(3):307-8. [ Links ]
51. Cotomacio CC, Magliano GC, Alves FA, Simões A. Local management of neutropenic ulcer in a patient under breast cancer treatment. Photodiagnosis Photodyn Ther. 2020;32:101997. [ Links ]
52. Boxer L, Dale DC. Neutropenia: causes and consequences. Semin Hematol. 2002;39(2):75-81. [ Links ]
53. Patil VH, Hugar SM, Balikai G, Patil S. Severe congenital cyclic neutropenia: A case report. Int J Appl Basic Med Res. 2016;6(4):293-6. [ Links ]
Correspondence:
Dr. Jeanine Fourie
Tel: 012 319 2312
Email: jeanine.fourie@up.ac.za
Contribution:
Dr Jeanine Fourie: manuscript preparation (90%)
Prof Jan Gert Nel: manuscript review (10%)
Acknowledgement:
My sincere appreciation to my colleagues, Dr Inus Snyman and Dr Yasin Gamieldien, for the clinical management of these cases.












