Serviços Personalizados
Journal
Artigo
Indicadores
Links relacionados
-
Citado por Google -
Similares em Google
Compartilhar
SA Journal of Radiology
versão On-line ISSN 2078-6778versão impressa ISSN 1027-202X
S. Afr. J. radiol. (Online) vol.21 no.2 Johannesburg 2017
https://doi.org/10.4102/sajr.v21i2.1262
CASE SERIES
Isolated posterior fossa involvement of progressive multifocal leucoencephalopathy in HIV: A case series with review of the literature
Adziambei MudauI; Farhana E. SulemanI; Clara M. SchutteII; Zarina I. LockhatI
IDepartment of Radiology, University of Pretoria, South Africa
IIDepartment of Neurology, University of Pretoria, South Africa
ABSTRACT
Progressive multifocal leucoencephalopathy (PML) is a progressive demyelinating condition resulting from infection with the John Cunningham virus and precipitated by immunocompromised states. The HIV pandemic, especially in sub-Saharan Africa, has resulted in an increase in the number of patients presenting with PML. Imaging plays an important role in diagnosis and the distribution of the disease is predominantly supratentorial. Isolated posterior fossa involvement is a rare finding with very few cases described in the literature. We present the largest case series of patients described in the literature, with isolated posterior fossa involvement of PML, in HIV-positive patients.
Introduction
Progressive multifocal leucoencephalopathy (PML) is a demyelinating disorder, which results from opportunistic infection of the central nervous system (CNS) with the John Cunningham (JC) virus. This virus is believed to infect up to 80% of the human population prior to adulthood without producing obvious illness, and it remains latent until reactivation by an immunodeficient state.1 HIV infection is the most common predisposing factor for symptomatic JC virus disease, and the HIV pandemic has resulted in an increased prevalence of PML, affecting 3% - 7% of HIV-infected individuals before the highly active antiretroviral therapy (HAART) era.2 Although the frequency of PML has decreased with HAART, a more significant decrease has been noted with other CNS opportunistic infections.3 PML is recognised as an AIDS-defining illness, and the vast majority of HIV-infected patients with PML have CD4 lymphocyte counts < 200 cells/mm3. JC virus reactivation can, however, also occur in other patients with compromised immunity as well as in patients on chronic immunosuppressive therapy.
There are several studies that have demonstrated a high sensitivity and specificity of cerebrospinal fluid (CSF) polymerase chain reaction (PCR) for JC virus in PML.3 Many authorities regard the demonstration of JC viral DNA coupled with the appropriate clinical and radiologic features sufficient to be diagnostic of PML.4Table 1 summarises the diagnostic criteria for PML.4 The diagnosis can also be confirmed with tissue histopathology after brain biopsy.

Imaging features
Typically PML is a confluent, bilateral but asymmetric, supratentorial white matter disease.
Although lesions may develop in any area of the brain, they are most common in the subcortical white matter and U-fibres, favouring the frontal and parietooccipital regions. PML can be unilateral or rarely there may be only a single lesion.2 The lesions exhibit no mass effect and infrequent contrast enhancement.3 There is no involvement of the optic nerves or spinal cord. Isolated posterior fossa involvement is rare, but has been described.5,6
Clinical presentation is non-specific with focal neurologic deficits dependant on the lesion location. Symptoms worsen over time as the lesions progress. Most often, PML presents with motor deficits, visual disturbances and cognitive impairment, in a subacute evolution.7
With regard to imaging, computed tomography (CT) scan of the brain in patients with PML may show hypodense lesions. These lesions exhibit no mass effect and infrequently enhance post contrast.1,3 Magnetic resonance imaging (MRI) is, however, more sensitive to the white matter lesions of PML. On MRI, PML demonstrates hyperintense lesions on T2-weighted and Fluid attenuation inversion recovery (FLAIR) sequences; hypointense signal on T1-weighted sequences and no mass effect, despite their size.1,3
Enhancement can be seen with PML associated with immune reconstitution inflammatory syndrome (PML-IRIS), which occurs as the immune system recovers in patients commenced on HAART. It is reported to account for up to 18% of PML in HIV-infected patients.8 Tan et al. noted contrast enhancement in 56.7% of PML-IRIS cases.9 Enhancement suggests an inflammatory component, but absence of enhancement does not exclude the diagnosis.
Diffusion-weighted imaging (DWI) has been related with the stage of the disease. Active lesions demonstrate an incomplete rim of restricted diffusion, with high apparent diffusion co-efficient (ADC) values in the centre of the lesion. No restricted diffusion is appreciated with older lesions. A larger central core is associated with a worse prognosis.10
Case series
Case 1
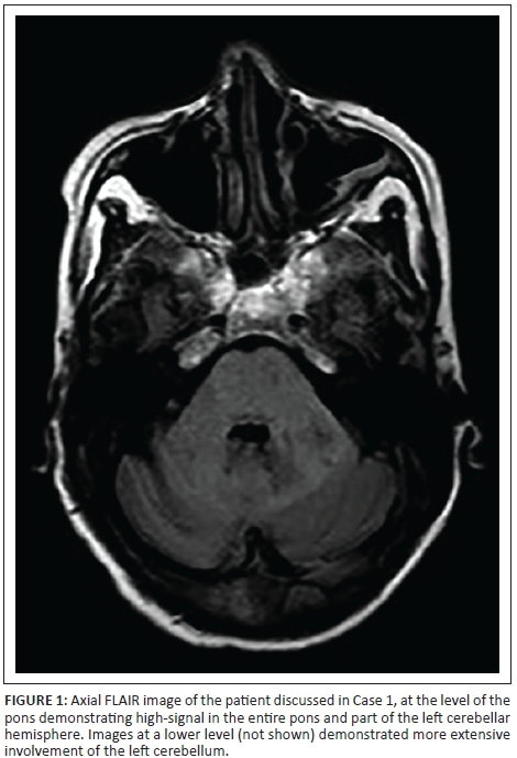
A 34-year-old HIV-positive woman with a CD4 cell count of 24 cells/µL and not on HAART, presented with confusion and ataxia. On examination, she had nystagmus, severe dysarthria and a broad-based gait. She had a history of alcohol abuse, and the possibility of Wernicke encephalopathy was considered, which was treated with thiamine. MRI was requested, which showed high-signal on T2-weighted and FLAIR sequences in the left cerebellar hemisphere, pons and midbrain (Figure 1). There was no restricted diffusion, no associated mass effect nor enhancement on post contrast imaging. The CSF yielded no growth, and the JC virus PCR was positive. The patient deteriorated in the ward and subsequently demised.

Case 2
A 34-year-old HIV-positive man on HAART presented with 1-month history of cerebellar ataxia. His CD4 count was 30 cells/µL. A CT scan of the brain showed hypodensity in the left cerebellar hemisphere and generalised cerebral atrophy. MRI was requested, which showed multiple high-signal changes on T2-weighted imaging involving the pons and right cerebellar hemisphere with some enhancement post contrast (Figure 2). No restriction was noted on DWI. Tests for toxoplasmosis were negative, and CSF yielded no growth. The JC virus was positive in the CSF. The patient was treated with triple antibiotic therapy, as well as anti-tuberculosis medication. The possibility of a CNS IRIS was considered, and a course of steroids was added. The HAART was optimised and the patient was discharged to a rehabilitation unit.
Case 3
A 40-year-old HIV-positive male patient on HAART and anti-tuberculosis medication presented with 3-week history of loss of balance, dizziness and difficulty in speaking. On examination, he had ataxia, nystagmus, dysmetria and dysdiadocokinesis. His CD4 count was 167 cells/µL. MRI showed high-signal on T2-weighted and FLAIR images bilaterally in the cerebellar hemispheres with the right more involved compared with the left (Figure 3). The lesions did not demonstrate any restricted diffusion or enhancement post contrast. The CSF was not active and demonstrated no growth. The patient's anti-tuberculosis medication was continued, and the HAART was optimised. He was discharged to the rehabilitation unit.

Case 4
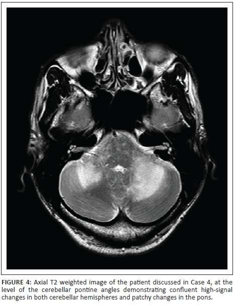
A 38-year-old male patient, HIV-positive with a CD4 count of 143 cells/µL, presented with left hemiparesis, diplopia and ataxia. He was not on HAART. A CT scan of the brain showed asymmetric hypodensities in the cerebellum with no enhancement post contrast. MRI showed bilateral confluent non-enhancing, cerebellar high-signal changes on T2-weighted and FLAIR sequences with patchy changes in the brainstem (Figure 4). The patient was advised regarding antiretroviral therapy (ART) and was discharged.

Case 5
A 35-year-old male patient presented with dizziness, speech problems and cerebellar ataxia. He was HIV-positive with a CD4 count of 90 cells/µL. He was not on HAART and anti-tuberculosis treatment for pulmonary tuberculosis. On examination, he was chronically ill with nystagmus, dysarthria, dysmetria, ataxia and left-sided hemisensory loss. JC virus was found on examination of the CSF. CT scan demonstrated low density in the left cerebellar hemisphere, which did not enhance on the post contrast imaging (Figure 5). T2-weighted and FLAIR sequences on MRI demonstrated high-signal changes in the left cerebellar hemisphere, left superior cerebellar peduncle and diffusely in the pons. No enhancement or restricted diffusion was noted. The patient was discharged to the rehabilitation unit.
Case 6
A 38-year-old HIV-positive woman, with a CD4 count of 28 cells/µL, on HAART, presented with progressive right-sided dysmetria and ataxia. The patient was pregnant at 30 weeks gestation. CT showed low density area in the right cerebellar hemisphere, which was shown on MRI to extend into the right cerebellar peduncle, pons and medulla (Figure 6). No contrast was administered because of the pregnancy. No restricted diffusion was noted. CSF studies revealed no abnormalities except positivity of JC virus. The patient underwent an emergency caesarean section for foetal distress and was discharged back to the referral hospital.

Table 2 summarises the clinical and MRI findings of the patients presented in the case series.
Discussion
In 2015, the World Health Organization (WHO) reported that 36.7 million people were living with HIV.11 Sub-Saharan Africa remains the most severely affected, with nearly 1 in every 25 adults (4.4%) infected and accounting for nearly 70% of the people living with HIV worldwide.11 The estimated overall HIV prevalence rate is approximately 12.7% of the total South African population. The total number of people living with HIV in South Africa is estimated at approximately 7.03 million in 2016.12
The HIV pandemic led to a new population of immunocompromised patients. Studies suggest that HIV accounts for approximately 80% of the PML cases.2 The parietal lobe is the most commonly involved, followed by the frontal lobe. Supratentorial lesions typically involve the subcortical white matter with a scalloping appearance.2 White matter of the posterior fossa is the next common area of involvement; however, isolated cerebellar white matter or isolated medullary involvement is less common.2
One study of 47 HIV-positive patients with PML reported only two patients with isolated posterior fossa involvement.1 In this article, we describe a case series of six patients, from a South African tertiary hospital, with isolated posterior fossa involvement of PML in HIV-positive patients. All patients tested positive for JC PCR in the CSF.
Imaging plays a pivotal role in the diagnosis and follow-up of patients with PML.2 MRI is the technique of choice for evaluation of this condition. All our patients had cerebellar involvement and no supratentorial involvement. Post contrast enhancement was demonstrated in only one of the patients.
Progressive multifocal leucoencephalopathy can be differentiated from HIV encephalopathy, which shows a combination of atrophy and symmetric periventricular or diffuse white matter disease on imaging.13,14 PML usually spares the periventricular and deep white matter and causes no atrophy in the active phase of the disease.2 In cytomegalovirus encephalitis, the distribution of white matter lesions is periventricular, and subependymal enhancement is seen.13,14
More recently, PML has been associated with the administration of natalizumab, an immunomodulating monoclonal antibody, for the treatment of multiple sclerosis. Given the presence of two demyelinating disorders, the diagnosis of new lesions and PML are challenging. Similar to PML-IRIS with HAART, IRIS can also develop in multiple sclerosis, once natalizumab is discontinued.15
The vast majority of HIV-infected patients with PML have a CD4 lymphocyte count of < 200 cell/mm3.4 CSF examination is very useful in excluding other diagnosis, however, the greatest value of CSF analysis is demonstrating the presence of JC virus by PCR.4 JC virus assay is positive in approximately 70% - 90% of patients not taking ART but only as few as 60% of patients on ART.13 All our patients had a positive JC virus PCR.
The main treatment approach in HIV-related PML involves combination ART. The introduction of more potent antiretroviral regimens has led to a considerable decrease in incidence and mortality of PML.13
Progressive multifocal leucoencephalopathy in HIV-infected patients is associated with a poor prognosis, with approximately 50% mortality within 2 years from disease onset.16 This factor is totally dependent on co-morbid diseases in HIV-infected patients.
Conclusion
We describe a series of six patients with PML with isolated posterior fossa involvement. In our literature search, there were only seven reported cases of PML isolated to the posterior fossa in HIV-positive patients.4,10 In one review of 47 patients with proven PML, only two had isolated posterior fossa involvement.1 The high number in our series is probably because of the high incidence of HIV infection in our region as well as the difficulties experienced by large numbers of patients in accessing adequate treatment.
Acknowledgements
Competing interests
The authors declare they have no personal or financial relationship which may have influenced them in writing this article.
Authors' contributions
A.M. did the literature review and wrote the article. F.E.S. assisted in the writing of the article, edited the article and wrote the legends. C.-M.S. provided the clinical cases and assisted in the writing of the article. Z.I.L. conceived the idea and provided the cases and did the final editing.
References
1. Whiteman M, Post M, Berger J, Tate L, Bell M, Limonte L. Progressive multifocal leukoencephalopathy in 47 HIV-seropositive patients: Neuroimaging with clinical and pathologic correlation. Radiology. 1993;187(1):233-240. https://doi.org/10.1148/radiology.187.1.8451420 [ Links ]
2 . Bag A, Cure J, Chapman P, Roberson G, Shah R. JC Virus Infection of the Brain. AJNR. 2010;31(9):1564-1576. https://doi.org/10.3174/ajnr.A2035 [ Links ]
3 . Cinque P, Koralnik IJ, Gerevini S, Miro JM, Price RW. Progressive multifocal leukoencephalopathy complicating HIV-1 infection. Lancet Infect Dis 2009;9(10):625-636. https://doi.org/10.1016/S1473-3099(09)70226-9 [ Links ]
4 . Berger J, Aksamit A, Clifford D, et al. PML diagnostic criteria: Consensus statement from the AAN Neuroinfectious Disease Section. Neurology. 2013;80(15):1430- 1438. https://doi.org/10.1212/WNL.0b013e31828c2fa1 [ Links ]
5 . Sousa A, Santos P, Fernandes C, Pedrosa R. Progressive multifocal leucoencephalopathy limited to the posterior fossa as first manifestation of HIV infection. Arquivos de Neuro-Psiquiatria. 2015;73(6):547. https://doi.org/10.1590/0004-282X20150038 [ Links ]
6. Rahmat K, Kau S, Ramli N, et al. Progressive multifocal leukoencephalopathy limited to the posterior fossa. Neurol Asia. 2010;15(3):283-286. [ Links ]
7 . Lima M. Progressive multifocal leukoencephalopathy: New concepts. Arquivos de Neuro-Psiquiatria. 2013;71(9B):699-702. https://doi.org/10.1590/0004-282X20130154 [ Links ]
8 . Cinque P, Pierotti C, Vigano MG, et al. The good and evil of HAART in HIV-related progressive multifocal leukoencephalopathy. J Neurovirol. 2001;7:358-363. https://doi.org/10.1080/13550280152537247 [ Links ]
9 . Tan K, Roda R, Ostrow L, McArthur J, Nath A. PML-IRIS in patients with HIV infection - Clinical manifestations and treatment with steroids. Neurology. 2009;72(17):1458-1464. https://doi.org/10.1212/01.wnl.0000343510.08643.74 [ Links ]
10 . Cosottini M, Tavarelli C, Del Bono L, et al. Diffusion-weighted imaging in patients with progressive multifocal leukoencephalopathy. Eur Radiol. 2008;18(5):1024- 1030. https://doi.org/10.1007/s00330-007-0845-1 [ Links ]
11 . Global health observatory. HIV/AIDS. 2015 [cited 2017 July 18]. Available from: http://www.who.int/gho/hiv/en [ Links ]
12. Statistics South Africa. Mid year population estimates 2016. 2016 [cited 2017 July 18]. Available from: http://www.statssa.gov.za/Publications/P0302/P03022016.pdf [ Links ]
13 . AIDSinfo. Guidelines for prevention and treatment of opportunistic infection in HIV-infected adults and adolescents. 2013 [cited 2017 Feb 15]. Available from: http://www.aidsinfo.nih.gov/guidelines [ Links ]
14 . Osborn A, Blaser S, Salzman K, et al. Diagnostic imaging brain. Salt Lake City, UT: Amirsys Inc.; 2004. [ Links ]
15 . Dahraian MA, Radue EW, Eshaghi A, Besliu S, Minagar A. Progressive multifocal leukoencephalopathy: A review of the neuroimaging features and differential diagnosis. Eur J Neurol. 2012;19(8):1060-1069. https://doi.org/10.1111/j.1468-1331.2011.03597 [ Links ]
16 . Pavlovic D, Patera AC, Nyberg F, Gerber M, Liu M. Progressive multifocal leukoencephalopathy: Current treatment options and future perspectives. Ther Adv Neurol Disord. 2015;8(6):255-273. https://doi.org/10.1177/1756285615602832 [ Links ]
Correspondence:
Adziambei Mudau
mudau.a@gmail.com
Received: 02 Aug. 2017
Accepted: 29 Aug. 2017
Published: 14 Nov. 2017











