Serviços Personalizados
Journal
Artigo
Indicadores
Links relacionados
-
Citado por Google -
Similares em Google
Compartilhar
South African Dental Journal
versão On-line ISSN 0375-1562versão impressa ISSN 0011-8516
S. Afr. dent. j. vol.73 no.4 Johannesburg Mai. 2018
CASE REPORT
Hypohidrotic Ectodermal Dysplasia: Genetic aspects and clinical implications of hypodontia
Roberts TSI; Chetty M.II
ITina S Roberts, BChD, MChD. Faculty of Dentistry, University of the Western Cape, Bellville, Cape Town, South Africa
IIManogary Chetty, BSc, BChD, MChD, PhD. University of the Western Cape/University of Cape Town Dental Genetics Clinic, Red Cross War Memorial Children's Hospital, Cape Town, South Africa
ABSTRACT
Hypohidrotic Ectodermal Dysplasia (HED) is a rare genetic disorder, characterised by a distinctive facies, hypotrichosis and hypohidrosis. Hypodonita/ogligodontia is a significant component of the condition, contributes to aesethic and functional problems and may require special dental management. Furthermore, specific dental changes may alert the practitioner to the possible diagnosis of HED. Contemporary investigations to elucidate the molecular pathogenesis of HEDS have drawn attention to the disorder. For this reason, we have reviewed the genetic basis of HED and in particular hypodontia/oligodontia in the light of our own experiences and provided a literature search. Different approaches to the dental management and treatment options in hypodontia/oligodontia in HED are also included.
The Ectodermal dysplasias (OMIM 305100) are a group of more than 150 hereditary disorders that affect tissues and organs derived from the ectodermal germ layer. The most common variants of ED are the hidrotic and hypohidrotic (anhidrotic) forms. The distinguishing feature between the two types is the presence or absence of sweat glands. Persons affected by Hypohidrotic Ectodermal Dysplasia (Christ-Siemens-Touraine syndrome) have characteristic facies, including frontal bossing, a depressed nasal bridge I saddle-shaped nose and hyperkeratosis.1 The congenital absence of teeth results in excessive resorption of the alveolar bone, a reduction in the height of the face and full lips. Fine, pigmented, linear wrinkles around the eyes are frequently seen. Symptoms arising from impaired mucous production are common, including upper respiratory infections, otitis, dysphagia and bronchitis.2 Specialised radiographic techniques can be used to detect the reduced sizes of all craniofacial bones. Apart from the otolaryngeal changes, general health is usually good, and the intellect is unimpaired.
The inheritance of HED is by either an autosomal, dominant, autosomal recessive or X-linked patterns. Four gene mutations are linked to the pathogenesis of HED. The EDA1 gene mutation is associated with the X-linked variant and EDAR, and EDARADD mutations are associated with the autosomal dominant and autosomal recessive forms.3 WNT10A mutations have been linked to HED patients who have distinct phenotypic expressions Including striking dental changes without facial changes.
HED is uncommon. Nguyen-Nielsen et al. reported the frequency of HED in the Danish population to be 1.6 per 100,000 in molecularly confirmed affected persons.4
The primary dental feature, hypodontia/oligodontia, occurs in both dentitions and may lead to mastication problems, impaired speech and poor aesthetics. Xerostomia as a result of hypoplastic salivary glands may predispose the existing teeth to dental caries. For these reasons, dental management is an essential aspect of the well-being of affected persons.
Keywords: Dental, Genetic, Hypodontia
CASE REPORT
A South African male of mixed ancestry was referred to the Faculty of Dentistry, University of the Western Cape, Cape Town in 2017. At the time of his assessment, he was 20 years old. A diagnosis of HED was based on his phenotypic manifestations. He had two affected siblings with similar abnormalities.
Extraoral examination
The affected individual had sparse silky hair, scant eyebrows, the tip of his nose was narrow, and the nasal bridge was flattened. The skin covering his forehead, cheeks and chin was dry. He had prominent, pigmented wrinkles under the eyes. Thick lips were evident and the helices of his ears were flattened [Figure 1]. His facial profile was straight [Figure 2].


Intraoral examination
The size of his oral cavity was normal relative to the size of the face. His palate was within normal limits, but several teeth were missing in both the maxillary and mandibular dental arches [Figure 3].
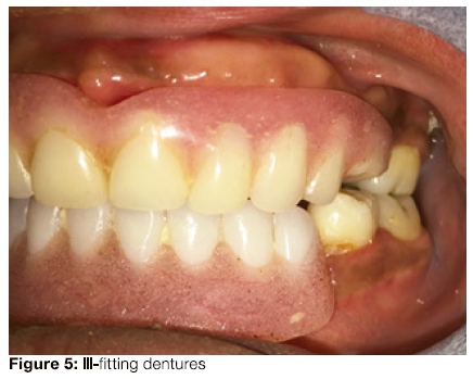
Caries and gingival recession were present in both the maxillary and mandibular first molars and second premolar teeth. Both the sizes and shapes of teeth were normal. The remaining atrophic alveolar ridges were edentulous. The mucous membranes lining the soft tissues were dry. No history of previous extractions was elucidated and the patient wore maxillary and mandibular partial dentures which had been made by an unqualified technician [Figure 4]. Both partial dentures lacked clasps and had under-extended flanges which contributed to poor retention and instability. There was generalized wear of the prosthetic teeth and the denture had stains and calculus. Radiographic imaging was non-contributory.


Management options
The treatment objectives were to improve and maintain the oral health, restore carious teeth, replace missing teeth and to restore function and aesthetic profile
The following management options were considered:
Option 1
-
A root canal treatment on the right maxillary second premolar and submerge the root to preserve the bone for a dental implant in the future
-
Restoration of the remaining teeth apart from the left maxillary second premolar, which would be extracted.
-
Restoration of function and aesthetics with a removable partial denture
Option 2
Similar to treatment option one except that the function and aesthetics would be restored by the placement of dental implants and fixed dental prostheses.
Option 3
Similar to option one apart from function and aesthetics would be restored by an overdenture supported by implants.
Option 4
Extraction of all remaining teeth which would be replaced by complete upper and lower dentures.
Based on financial constraints, the first management option was chosen.
DISCUSSION
The most common form of HED is inherited as an X-linked trait, with a spectrum of phenotypic expression. The disorder is associated with a mutation in the EDA1 gene which is coded for ectodysplastin A, a transmembrane protein belonging to the tumour necrosis group responsible for the development of ectodermal tissues.5 The EDA1 gene is located on Xq12-q131.1 chromosomes and deletions in these loci are responsible for HED. The full spectrum of the disorder is usually expressed in males. Phenotypic expression is variable and less severe in females.
Hypodontia, the most significant dental feature, refers to a hereditary disorder where one or more teeth fail to develop. When six or more teeth are developmental^ absent, the condition is referred to as oligodontia. In HED, tooth agenesis affects both the primary and secondary dentition. Hypodontia/oligodontia results in poor articulation, compromised aesthetics and inefficient mastication. Xerostomia may exacerbate the problem and increase the risk of dental caries. A lack of dentition results in atrophy of alveolar bone and a resultant decrease in the height of the face. When present, the erupted teeth are misshaped, and the incisors and canines often appear conical. The cosmetic appearance of the dentition is unsightly and may affect the psychological well-being of the affected person.
Hypodontia/oligodontia may occur as part of a genetic syndrome or as a non-syndromic isolated trait. Several theories have been proposed to explain tooth agenesis. Whilst early investigators viewed the environmental and genetic aspects of hypodontia/ oligodontia in isolation, the process is in fact multifaceted, as with so many disorders6 Environmental influences play a minor role during the initial stages of tooth formation,7'8 but may be important if they are persistent. Local factors including dental caries may affect the chronological sequence of tooth maturation. During the transition from the primary to the permanent dentition, which usually occurs during puberty, epigenetic influences such as hormonal changes may suppress tooth development
Hypodontia/oligodontia can occur as a consequence of aberrations during any stage of tooth morphogenesis. Mutations in genes responsible for either tooth formation or maturation can result in changes in the number, shape or structure of one or more teeth in either the primary or secondary dentition or both.8
Genetics of hypodontia\oligodontia
There are more than 300 genes responsible for tooth formation and maturation. Several researchers have associated mutations in MSX1, PAX9, AXIN2, EDA, EDAR, EDARADD and WNT10A with hypodontia and oligodontia in mice. Moreover, these authors suggested that the regular expression of these genes may be imperative for the formation and development of the normal tooth germ.3,10-13 Mutations in similar genes expressed during the various stages of odontogenesis have been associated with the agenesis of specific teeth and with patterns of inheritance in humans. Apart from their role in initiating the development and positioning of teeth, these genes belong to signalling pathways that regulate the morphogenesis of other organs. Their mutations therefore affect the development of structures beyond dental morphogenesis resulting in syndromic developmental disorders. Aberrations in the MSX1 and AXIN2 genes are associated with tooth agenesis and with systemic features including cleft palate and colorectal cancer.14
MSX1 gene provides the instructions for proteins that regulate the activity of other genes. The gene belongs to a group of homeobox genes responsible for cell division and differentiation during embryogenesis. The MSX1 gene is found at 4p16.3-p16.115 and is expressed in regions of condensing ectomesenchyme in the tooth germ.16 The gene is responsible for regulating the Bmp2, Bmp4, and Lef1 via the Wnt/H-catenin signalling pathway. Underexpression of MSX1 results in accelerated odontoblastic differentiation, early cessation of tooth development and impaired cell division in mice. Mutations are also responsible for severe forms of hypodontia in humans.17 MSX1 mutations have been linked to oligodontia,18 and autosomal dominant10,19 and autosomal recessive variants of hypodontia.20
PAX9 is a member of the paired box (PAX) family of transcription factors and is found on the long arm of chromosome 14 locus 14q12-q13.21 The gene is expressed in the mesenchyme of the developing tooth.22 Although PAX9 is essential for the formation of the mesenchyme throughout odontogenesis,23 its levels are highest during the early stages of tooth development.24 The gene regulates the expression of MSX1 via BMP4 and also plays a critical part in fetal development and in the progression of malignancies.25 Mutations in both coding and non-coding regions of the gene have been reported involving exons 1, 2, 3 and 4. These have been associated with the termination of tooth development at the bud stage.26
Heterozygous mutations in PAX9, have been associated with non-syndromic tooth agenesis in humans,22 mainly autosomal dominant and recessive, non-syndromic, familial oligodontia forms.27 Aberrations in PAX9 gene are also associated with peg-shaped laterals28 and microdontia incisors.29
AXIN2 or axis inhibitor protein 2 is a gene located on the long arm of chromosome 17 (17q23-q24).30 The gene plays a role in cell growth, proliferation, and differentiation. Axis inhibition protein regulates the Wnt signalling pathway and controls cell-to-cell communications during embryogenesis. Gene mutations have been associated with several forms of hypodontia25,31,32 discovered an association between mutations in the Wnt, signalling regulator AXIN2, oligodontia and increased susceptibility to colorectal cancer in a large Finnish family. The authors proposed that tooth agenesis, and in particular, severe oligodontia could be an indicator of predisposition to cancer. Mostowska et al. demonstrated mutations in AXIN2 in hypodontia and oligodontia.11
EDA (ectodysplasin 1) is a gene is situated on Xq12-q13.1 and mutations are involved in isolated, non-syndromic X-linked and sporadic hypodontia.33 Mutations in this gene also cause X-linked HED, the features which have been extensively described in this manuscript.
The tooth is a complex organ derived from both ectodermal and mesenchymal germ layers. The same genes responsible for tooth development are involved in the growth and development of the other tissues derived from the ectoderm. Hence, factors that disrupt the expression of these genes not only interfere with dental development but may also influence the development of the other ectodermal organs including the hair, nails, skin and glands.
Clinical implications of genetic aberrations in hypodontia\oligodontia The study of the genetic basis of tooth agenesis gave rise to the development of experimental tooth restoration techniques including tissue scaffolding34 and tooth engineering.35 Furthermore, the association of genes such as AXIN2 and PAX9 with both tooth agenesis and certain types of malignancy indicate that tooth agenesis could serve as a potential genetic marker for the early diagnosis of cancer.14,36,37
CONCLUSION
The dental manifestations of HED may cause functional, aesthetic and psychological problems. Oral rehabilitation is costly and protracted and may influence dental management. Salivary gland aplasia or agenesis may complicate dental changes and precipitate or aggravate caries in the remaining dentition. Hyperthermia, a concomitant finding in HED and AED may compound dental management. Mutations in genes responsible for HED are implicated in tooth agenesis and certain types of malignancy. Oral health professionals may be the first to encounter individuals with HED and therefore require a sound knowledge of the clinical features and genetic basis of the condition.
Permission to reproduce the photographs was granted.
ACRONYMS
Hypohidrotic Ectodermal Dysplasia (HED)
References
1. Yoon, R., Cyrkin, E., Zemnick, C, 2016. Dental Findings and Functional Prosthesis use in Child with Hypohidrotic Ectodermal Dysplasia: a Case Report. [ Links ]
2. Siegel, M. B. , Potsic, W.P., 1990. Ectodermal dysplasia: the otolaryngologic manifestations and management. Int. J. Pediatr. Otorhinolaryngol. 19, 265-271. [ Links ]
3. Cluzeau, C, Hadj-Rabia, S., Jambou, M., Mansour, S., Guigue, P., Masmoudi, S., Bal, Ε., Chassaing, Ν., Vincent, M.-C, Viot, G., Clauss, F., Maniere, M.-C, Toupenay, S., Le Merrer, M., Lyonnet, S., Cormier-Daire, V., Amiel, J., Faivre, L, de Prost, Y, Munnich, Α., Bonnefont, J.-R, Bodemer, C, Smahi, Α., 2011a. Only four genes (EDA1, EDAR, EDARADD, and WNT10A) account for 90% of hypohidrotic/anhidrotic ectodermal dysplasia cases. Hum. Mutat. 32, 70-72. https://doi.org/10.1002/humu.21384 [ Links ]
4. Nguyen-Nielsen, M., Svensson, E., Vogel, I., Ehrenstein, V., & Sunde, L.,2013. Existing data sources for clinical epidemiology: Danish registries for studies of medical genetic diseases. Clinical Epidemiology, 5, 249-262. http://doi.org/10.2147/CLEP.S45228 [ Links ]
5. Lexner, M.O., Bardow, A., Hertz, J.M., Nielsen, L.A., Krelborg, S., 2007. Anomalies of tooth formation in hypohldrotic ectodermal dysplasia. Int. J. Paediatr. Dent. 17, 10-18. https://doi.org/10.1111/j.1365-263X.2006.00801.X [ Links ]
6. Al-Ani, A.H., Antoun, J.S., Thomson, W.M., Merriman, T.R., Farella, M., 2017. Hypodontia: An Update on Its Etiology, Classification, and Clinical Management. BloMed Res. Int. 2017. https://doi.org/10.1155/2017/9378325 [ Links ]
7. Garn, S.M., Lewis, A.B., Kerewsky, R.S., 1965. Genetic, nutritional, and maturational correlates of dental development. J. Dent. Res. 44, SUPPL:228-242. [ Links ]
8. Arte, S., Parmänen, S., Plrinen, S., Alaluusua, S., Nleminen, P., 2013. Candidate Gene Analysis of Tooth Agenesis Identifies Novel Mutations in Six Genes and Suggests Significant Role for WNT and EDA Signaling and Allele Combinations. PLOS ONE 8, Θ73705. https://doi.org/10.1371/journal.pone.0073705 [ Links ]
9. Zhang, X., Ho, S.-M., 2011. Eplgenetics meets endocrinology. J. Mol. Endocrinol. 46, R11-32. [ Links ]
10. Mostowska, A, Kobielak, B., Trzeciak, W.H., 2003. Molecular basis of non-syndromic tooth agenesis: mutations of MSX1 and PAX9 reflect their role in patterning human dentition. Eur. J. Oral Sei. 111, 365-370. [ Links ]
11. Mostowska, A., Biedzlak, B., Jagodzinski, P.P., 2006. Axis Inhibition protein 2 (AXIN2) polymorphisms may be a risk factor for selective tooth agenesis. J. Hum. Genet. 51, 262-266. https://dol.org/10.1007/s10038-005-0353-6 [ Links ]
12. Kantaputra, P., Srlpathomsawat, W., 2011. WNT10A and Isolated hypodontia. Am. J. Med. Genet. Α. 155A, 1119-1122. https://doi.org/10.1002/ajmg.a.33840 [ Links ]
13. Arzoo, P.S., Klar, J., Bergendal, B., Norderyd, J., Dahl, Ν., 2014. WNT10A mutations account for Va of population-based isolated oligodontia and show phenotypic correlations. Am. J. Med. Genet. A. 164A, 353-359. https://doi.Org/10.1002/ajmg.a.36243 [ Links ]
14. Schwartz, D.R., Wu, R., Kardia, S.L.R., Levin, A.M., Huang, C.-C, Shedden, K.A., Kuick, R., Misek, D.E., Hanash, S.M., Taylor, J.M.G., Reed, H., Hendrix, N., Zhal, Y, Fearon, E.R., Cho, K.R., 2003. Novel candidate targets of beta-catenin/T-cell factor signaling identified by gene expression profiling of ovarian endometrioid adenocarcinomas. Cancer Res. 63, 2913-2922. [ Links ]
15. Chhabra, N., Goswami, M., Chhabra, A., 2014. Genetic basis of dental agenesis - molecular genetics patterning clinical dentistry. Med. Oral [ Links ]
16. MacKenzie, Α., Ferguson, M.W., Sharpe, P.T., 1992. Expression patterns of the homeobox gene, Hox-8, in the mouse embryo suggest a role in specifying tooth Initiation and shape. Dev. Camb. Engl. 115, 403-420. [ Links ]
17. Feng, X.-Y, Wu, X.-S., Wang, J.-S., Zhang, C.-M., Wang, S.-L, 2018. Homeobox protein MSX-1 inhibits expression of bone morphogenetic protein 2, bone morphogenetic protein 4, and lymphoid enhancer-binding factor 1 via Wnt/E-catenln signaling to prevent differentiation of dental mesenchymal cells during the late bell stage. Eur. J. Oral Sei. 126, 1-12. https://dol.org/10.1111/eos.12390 [ Links ]
18. Xuan, K., Jin, F., Liu, Y.-L, Yuan, L.-T, Wen, L.-Y, Yang, F.-S., Wang, X.-J., Wang, G.-H., Jin, Y, 2008. Identification of a novel mlssense mutation of MSX1 gene in Chinese family with autosomal-dominant oligodontia. Arch. Oral Biol. 53, 773-779. https://doi.org/10.1016/.archoralbio.2008.02.012 [ Links ]
19. Xue, J., Gao, Q., Huang, Y, Zhang, X., Yang, P., Cram, D.S., Liang, D., Wu, L., 2016. A novel MSX1 Intronic mutation associated with autosomal dominant non-syndromic oligodontia in a large Chinese family pedigree. Clin. Chlm. Acta Int. J. Clin. Chem. 461, 135-140. https://doi.Org/10.1016/j.cca.2016.07.025 [ Links ]
20. Chishtl, M.S., Muhammad, D., Halder, M., Ahmad, W., 2006. A novel missense mutation in MSX1 underlies autosomal recessive oligodontia with associated dental anomalies in Pakistani families. J. Hum. Genet. 51, 872-878. https://doi.org/10.1007/s10038-006-0037-x [ Links ]
21. Stapleton, P., Welth, A., Urbánek, P., Kozmik, Z., Busslinger, M., 1993. Chromosomal localization of seven PAX genes and cloning of a novel family member, PAX-9. Nat. Genet. 3, 292-298. https://doi.org/10.1038/ng0493-292 [ Links ]
22. Mitsui, S.N., Yasue, Α., Masuda, K., Watanabe, K., Horluchi, S., Imoto, I., Tanaka, E., 2014. Novel PAX9 mutations cause non-syndromic tooth agenesis. J. Dent. Res. 93, 245-249. https://doi.org/10.1177/0022034513519801 [ Links ]
23. Fauzi, N.H., Ardini, YD., Zainuddin, Z., Lestari, W., 2018. A review on non-syndromic tooth agenesis associated with PAX9 mutations. Jpn. Dent. Sei. Rev. 54, 30-36. https://dol.org/10.1016/jjdsr.2017.08.001 [ Links ]
24. Scarel-Caminaga, R., Pasetto, S., Rlbeiro Da Silva, E., Peres, R.C.R., 2003. Genes and tooth development: Reviewing the structure and function of some key players. Braz J Oral Sei 2, 339-347. [ Links ]
25. Peters, H, Neubüser, A, Kratochwil, K., Balling, R., 1998. Pax9-deficient mice lack pharyngeal pouch derivatives and teeth and exhibit craniofacial and limb abnormalities. Genes Dev. 12, 2735-2747 [ Links ]
26. Niemlnen Pekka, 2009. Genetic basis of tooth agenesis. J. Exp. Zoolog. Β Mol. Dev. Evol. 312B, 320-342. https://doi.org/10.1002/jez.b.21277 [ Links ]
27. Parkin, Ν., Elcock, C, Smith, R.N., Griffin, R.C., Brook, A.H., 2009. The aetiology of hypodontia: the prevalence, severity and location of hypodontia within families. Arch. Oral Biol. 54 Suppl 1, S52-56. https://doi.org/10.1016/j.archoralbio.2008.11.002 [ Links ]
28. Meskin, L.H., Gorlin, R.J., 1963. J. Dent. Res. 42, 1476-1479. https://doi.org/10.1177/00220345630420062501 [ Links ]
29. Brook, A.H., Elcock, C, Aggarwal, M., Lath, D.L., Russell, J.M., Patel, P.I., Smith, R.N., 2009. Tooth dimensions in hypodontia with a known PAX9 mutation. Arch. Oral Biol. 54 Suppl 1, S57-62. https://doi.org/10.1016/j.archoralblo.2008.05.017 [ Links ]
30. Dong, X., Seelan, R.S., Qian, C, Mal, M., Liu, W., 2001. Genomic structure, chromosome mapping and expression analysis of the human AXIN2 gene. Cytogenet. Cell Genet. 93, 26-28. https://doi.org/10.1159/000056942 [ Links ]
31. Callahan, N., Modesto, Α., Meira, R., Seymen, F., Patir, A., Vieira, A.R., 2009. Axis Inhibition protein 2 (AXIN2) polymorphisms and tooth agenesis. Arch. Oral Biol. 54, 45-49. https://doi.org/10.1016/j.archoralbio.2008.08.002 [ Links ]
32. Lammi, L, Arte, S., Somer, M., Jarvlnen, H., Lahermo, P., Thesleff, I., Pirlnen, S., Nleminen, P., 2004. Mutations in AXIN2 cause familial tooth agenesis and predispose to colorectal cancer. Am. J. Hum. Genet. 74, 1043-1050. https://doi.org/10.1086/386293 [ Links ]
33. Bergendal, B., Klar, J., Stecksén-Blicks, C, Norderyd, J., Dahl, Ν., 2011. Isolated oligodontia associated with mutations in EDARADD, AXIN2, MSX1, and PAX9 genes. Am. J. Med. Genet. Α. 155A, 16161622. https://doi.org/10.1002/ajmg.a.34045 [ Links ]
34. Nakahara, T, Ide, Y, 2007. Tooth regeneration: implications for the use of bioenglneered organs in first-wave organ replacement. Hum. Cell 20, 63-70. https://doi.org/10.1111/j.1749-0774.2007.00031.x [ Links ]
35. Nait Lechguer, Α., Kuchler-Bopp, S., Lesot, H., 2009. Crown formation during tooth development and tissue engineering. J. Exp. Zoolog. Β Mol. Dev. Evol. 312B, 399-407. https://doi.org/10.1002/jez.b.21256 [ Links ]
36. Chamorro, M.N., Schwartz, D.R., Vonica, A., Brivanlou, A.H., Cho, K.R., Varmus, H.E,, 2005. FGF-20 and DKK1 are transcriptional targets of beta-catenin and FGF-20 is implicated in cancer and development. EMBO J. 24, 73-84. https://dol.org/10.1038/sj.emboj.7600460 [ Links ]
37. Chalothorn, L.A., Beeman, CS., Ebersole, J.L., Kluemper, G.T., Hicks, E.P., Kryscio, R.J., DeSimone, CR, Modesitt, S.C., 2008. Hypodontia as a risk marker for epithelial ovarian cancer: a case-controlled study. J. Am. Dent. Assoc. 1939 139,163-169. [ Links ]
Correspondence:
TS Roberts
troberts@uwc.ac.za











