Serviços Personalizados
Journal
Artigo
Indicadores
Links relacionados
-
Citado por Google -
Similares em Google
Compartilhar
South African Dental Journal
versão On-line ISSN 0375-1562versão impressa ISSN 0011-8516
S. Afr. dent. j. vol.71 no.9 Johannesburg Out. 2016
CLINICAL COMMENT
What is the aim of conservative dentistry: A clinical dilemma
GB Kaplan
BDS (Rand) MSD( Boston). Fax: +27 11 728 2695
What is the aim of conservative dentistry? Is it not to provide long-term dental health?
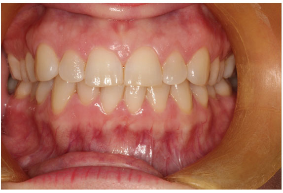
At first glance this mouth presents with a perfectly healthy set of teeth. The aesthetics are good. The soft tissue looks healthy and sound. It would appear to be a picture of health. It is probable that to the patient his mouth teeth feel fine. He probably has no awareness of any restorative problems.
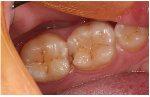
But lift the veil of the anterior teeth and gain access to the posterior teeth. Surprisingly there is a breakdown on the distal aspect of the lower left first molar!.
Let's presume that the bitewing radiograph show no caries on the mesial aspect of the second molar tooth nor on the mesial aspect of the first molar tooth itself. The only breakdown is the lingual aspect of the distal marginal ridge and a small buccal pit.
This tooth needs restoring. What is the restorative material of choice to provide the patient with a long-lasting definitive restoration? Should it be an amalgam, a composite, a ceramic inlay or a cast gold inlay. Does the tooth need a crown? And what about the buccal caries?
In a discussion in a recent study club meeting many in the group expressed the opinion that the tooth be best restored with a composite restoration. Is that what you would have in your mouth?


Would the composite restoration restore the tooth to its original anatomy providing a good contact and marginal ridge?
Although the extent of the caries appears to be limited, the chances are that the tooth destruction is extensive.
Would you not consider a cast gold inlay or ceramic inlay to provide the clinical excellence needed to restore this tooth for long-term health?
Editor's Comment:
What is your opinion? Let us have a response.











