Services on Demand
Journal
Article
Indicators
Related links
-
Cited by Google -
Similars in Google
Share
SA Journal of Radiology
On-line version ISSN 2078-6778Print version ISSN 1027-202X
S. Afr. J. radiol. (Online) vol.18 n.2 Johannesburg 2014
https://doi.org/10.4102/sajr.v18i2.630
PICTORIAL ESSAY
Thoracic cage injury imaging in rugby players
Richard de Villiers
Drs Van Wageningen and Partners, Somerset West, South Africa
ABSTRACT
Rugby players often sustain high-impact collisions and are therefore at risk of significant traumatic thoracic injuries. Injury to the thoracic cage may be associated with potentially life-threatening sequelae. Player management is often based on the accuracy of the imaging report. The author suggests a combination of computed tomography and magnetic resonance imaging to optimally evaluate the full spectrum of these potentially serious injuries.
Introduction
Rugby players often sustain high-impact collisions and are therefore at risk of significant traumatic thoracic injuries. Furthermore, minimal gear is worn to protect the thoracic cage. In my experience, there have been significant changes in the physique of the modern-day rugby union player who, as a consequence of advanced fitness and nutritional programmes, is of superior strength, size and agility. This physique has resulted in an increase in the frequency of injuries as well as changes in the types of injury that we (Drs Van Wageningen and Partners) often encounter in our practice.
The thoracic cage protects the heart, lungs, trachea and large mediastinal vessels from injury. Injury to the thoracic cage may be associated with potentially life-threatening sequelae. Computed tomography (CT) and magnetic resonance imaging (MRI) are vital in the imaging of these potential injuries, especially as conventional radiography can often be falsely negative. Since the advent of professional sport, the roles of CT and MRI have been particularly relevant because decisions regarding player management are often based on the accuracy of the imaging report. This pictorial essay highlights (1) an imaging approach and (2) the relevant anatomy of the thoracic cage.
Imaging approach
Plain radiography is often not sufficient for the diagnostic assessment of thoracic cage injuries. High-resolution ultrasound (US) can assist in the diagnosis, but is limited by operator dependence and is also restricted to the visualisation of superficial structures.1 A combined CT/MRI protocol was developed at the author's institution - a private practice with a large sports injury referral base - in response to the low accuracy of conventional radiography and US in detecting thoracic cage injuries. The author's experience of thoracic cage injuries is in excess of 50 patients.
The patient is scanned in the prone position to decrease respiratory motion artifact. A single breath-hold acquisition or respiratory-gated acquisition is utilised for CT, where possible, to minimise motion artifact arising from the patient's respiration.2 Patients should otherwise be advised to breathe gently following diaphragmatic excursions.3 For MRI, the patient is asked to breathe gently.
A standard large flex surface coil is used for MRI. An MRI-visible marker (Vitamin E capsule) is placed at the position of maximal tenderness. Axial T1 and short tau inversion recovery (STIR) sequences as well as coronal oblique T1 and STIR images (Figure 1) are obtained.

A non-contrast CT scan is performed and multiplanar reconstructions (MPR) and volume rendering technique (VRT) lead to optimal demonstration of the relevant pathology in most cases (Figure 2). Adjustment of CT window settings may be necessary (Figure 3).


Anatomy
Sternum, manubriosternal joint and xiphisternal joint
The sternum comprises the body, manubrium and xiphoid process. It articulates with the clavicles and the cartilaginous portion of the first to seventh ribs, providing attachment sites for the sternocleidomastoid and pectoralis major muscles.
Sternal fractures are rare owing to the elastic recoil of the ribs, which suspend the sternum.4 A frontal impact may lead to sternal contusion, fracture and manubriosternal joint subluxation or dislocation (Figure 4). There may be an associated retrosternal haematoma (Figure 5). Associated cardiac injury is rare.5


Sternoclavicular joint
The sternoclavicular joint (SCJ) is a synovial joint that represents the only skeletal articulation between the axial skeleton and the upper limbs (Figure 6).6

Trauma to the sternoclavicular joint may cause a subluxation, dislocation and/or fracture of the medial clavicle or a fracture of the first costochondral cartilage (Figure 7).7 Posterior dislocations of the sternoclavicular joint are less common than anterior dislocations, with a reported incidence ranging between 5% and 27% of all SCJ dislocations.8 Posterior dislocation of the clavicle can cause potentially highly hazardous injuries owing to proximity to mediastinal vascular structures, the trachea and oesophagus (Figure 8).9


Ribs and associated joints
The first to seventh ribs articulate with the sternum via the costal cartilages. The cartilages of the first to tenth ribs join the superjacent costal cartilage, whereas the eleventh and twelfth ribs have a free anterior end. The sixth to ninth costal cartilages articulate via a synovial joint with a fibrous capsule. These interchondral joints are strengthened by interchondral ligaments. Costal cartilages are connected to the ribs via the costochondral joints. Posteriorly, the head of the ribs articulate with the corresponding vertebral body to form the costovertebral joints.10
Rib fractures are often identified following a compressive force to the thorax. The typical site of fracture is at the weakest point, namely the angle of the rib. Costochondral injuries are often the result of direct trauma and usually involve the middle and lower ribs.11 These injuries may be missed or misdiagnosed and therefore US, CT and MRI play an important role in their diagnosis (Figure 9a, Figure 9b and Figure 10).12

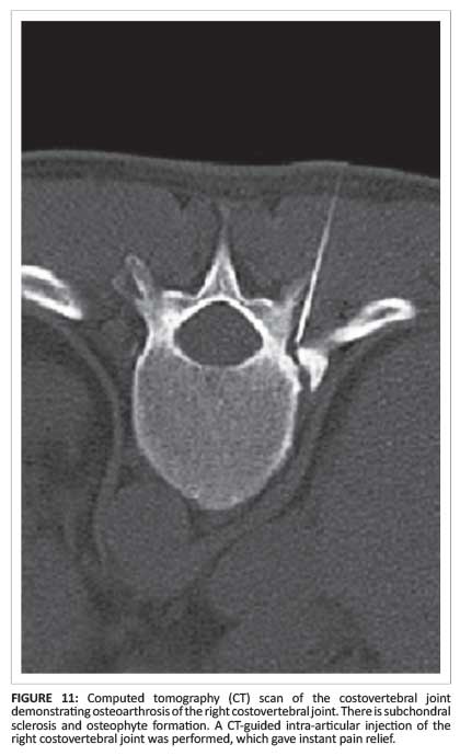
CT-guided injections to the costovertebral and thoracic facet joints are administered to expedite return to activity (Figure 11).

Muscle Injury
The most common muscle injuries encountered at our institution involve the pectoralis major, rectus abdominus, transversus abdominus and oblique muscle groups. Pectoralis major muscle tears are observed at the sternal and/or clavicular heads, intramuscularly (Figure 12) at the musculotendinous junction (Figure 13), or may be at or near the humeral insertion.13


Conclusion
Imaging plays a vital role in the prompt and accurate diagnosis of thoracic cage injuries. The author suggests a combination of CT and MRI to optimally evaluate the full spectrum of various injuries. A thorough knowledge of the relevant anatomy and pathology is essential in developing an approach to the imaging of potential thoracic cage injuries in the professional athlete.
Acknowledgements
Drs Daichi Hayashi and Frank Roemer are thanked for their contributions towards this article.
Competing interests
The author declares that he has no financial or personal relationships that might have inappropriately influenced him in writing this article.
References
1. Westcott J, Davis S, Fleishon H, et al. Rib fractures. Radiology. 2000;215:Suppl.637-639. [ Links ]
2. Aslam M, Rajesh A, Entwisle J, et al. Pictorial review: MRI of the sternum and sternoclavicular joints. Br J Radiol. 2002;75(895):627-634. http://dx.doi.org/10.1259/bjr.75.895.750627 [ Links ]
3. Hopper MA, Tirman P, Robinson P. Muscle injury of the chest wall and upper extremity. Semin Musculoskelet Radiol. 2010;14(2):122-130. http://dx.doi.org/10.1055/s-0030-1253156 [ Links ]
4. Fowler AW. Flexion-compression injury of the sternum. J Bone Joint Surg Br. 1957;39B:487-497. [ Links ]
5. Crestanello JA, Samuels LE. Sternal fracture with mediastinal haematoma: Delayed cardiopulmonary sequelae. J Trauma. 1999;47(1):161-164. http://dx.doi.org/10.1097/00005373-199907000-00034 [ Links ]
6. Johnson D. Section 6, pectoral girdle and upper limb. In: Standring S, editor. Gray's anatomy: The anatomical basis of clinical practice. 40th edn. London: Elsevier; 2008:800-801. [ Links ]
7. Hayashi D, Roemer FW, Kohler R, Guermazi A, Gebers C, De Villiers R. Thoracic injuries in professional rugby players: Mechanisms of injury and imaging characteristics. Br J Sports Med. 2013. http://dx.doi.org/10.1136/bjsports-2013-092681 [ Links ]
8. Gilot GJ, Wirth MA, Rockwood CA Jr. Injuries to the sternoclavicular joint. In: Bucholz RW, Heckman JD, Court-Brown C, editors. Rockwood and Green's fractures in adults. 6th edn. Lippincott Williams & Wilkins, 2006; p. 1365-1397. [ Links ]
9. Thomas DP, Davies A, Hoddinott HC. Posterior sternoclavicular dislocations-a diagnosis easily missed. Ann R Coll Surg Engl. 1999;81(3):201-204. [ Links ]
10. Gatzoulis MA. Section 7, thorax. In: Standring S, editor Gray's anatomy: The anatomical basis of clinical practice. 40th edn. London: Elsevier, 2008; p. 917-926. [ Links ]
11. Lopez V Jr, Ma R, Li X, Steele J, Allen AA. Costal cartilage fractures and disruptions in a rugby football player. Clin J Sport Med. 2013;23(3):232-234. http://dx.doi.org/10.1097/JSM.0b013e31825b55ed [ Links ]
12. Kemp SP, Targett SG. Injury to the first rib synchondrosis in a rugby footballer. Br J Sports Med. 1999;33(2):131-132. http://dx.doi.org/10.1136/bjsm.33.2.131 [ Links ]
13. Connell DA, Potter HG, Sherman MF, Wickiewicz TL. Injuries of the pectoralis major muscle: Evaluation with MR imaging. Radiology. 1999;210(3):785-791. http://dx.doi.org/10.1148/radiology.210.3.r99fe43785 [ Links ]
Correspondence:
Richard de Villiers
PO Box 317
Somerset West 7129
South Africa
Email:rmldev@mweb.co.za
Received: 05 May 2014
Accepted: 04 Nov. 2014
Published: 12 Dec. 2014












